万千商家帮你免费找货
0 人在求购买到急需产品
- 详细信息
- 技术资料
- 形态:
液体
- 保存条件:
冷冻(-20℃)
- 克隆性:
多克隆
- 适应物种:
兔
- 保质期:
一年
- 抗原来源:
MAPKAPK2(Ab-272)
- 库存:
200
- 供应商:
上海酶联生物科技有限公司
- 宿主:
Rabbit
- 应用范围:
仅供科研使用
- 抗体英文名:
Anti-MAPKAPK2(Ab-272)rabbitpolyclonalantibody
- 抗体名:
兔抗MAPKAPK2(Ab-272) 多克隆抗体
- 规格:
100ul/200ul/25ul
| 规格: | 100ul | 产品价格: | ¥1560.0 |
|---|---|---|---|
| 规格: | 200ul | 产品价格: | ¥2500.0 |
| 规格: | 25ul | 产品价格: | ¥680.0 |
中文名称: 兔抗MAPKAPK2(Ab-272)多克隆抗体
英文名称:Anti-MAPKAPK2(Ab-272)rabbitpolyclonalantibody
别名:MK2;MK-2;MAPKAP-K2
相关类别:一抗
储存:冷冻(-20℃)避光
抗原:MAPKAPK2(Ab-272)
宿主:Rabbit
反应种属:Human
标记物:Unconjugate
克隆类型:rabbitpolyclonal
技术规格
英文名称:Anti-MAPKAPK2(Ab-272)rabbitpolyclonalantibody
别名:MK2;MK-2;MAPKAP-K2
相关类别:一抗
储存:冷冻(-20℃)避光
抗原:MAPKAPK2(Ab-272)
宿主:Rabbit
反应种属:Human
标记物:Unconjugate
克隆类型:rabbitpolyclonal
技术规格
| Background: | Stress-activatedserine/threonine-proteinkinaseinvolvedincytok inesproduction,endocytosis,reorganizationofthecytoskeleton, cellmigration,cellcyclecontrol,chromatinremodeling,DNAdamage responseandtranscriptionalregulation.Followingstress,itisphosph orylatedandactivatedbyMAPkinasep38-alpha/MAPK14,leadingtop hosphorylationofsubstrates.Phosphorylatesserineinthepeptidesequ ence,Hyd-X-R-X(2)-S,whereHydisalargehydrophobicresidue.Phosph orylatesALOX5,CDC25B,CDC25C,ELAVL1,HNRNPA0,HSF1,HSP27/HSPB1, KRT18,KRT20,LIMK1,LSP1,PABPC1,PARN,PDE4A,RCSD1,RPS6KA3,TAB3 andTTP/ZFP36.MediatesphosphorylationofHSP27/HSPB1inresponsetos tress,leadingtodissociateHSP27/HSPB1fromlargesmallheat-shockpro tein(sHsps)oligomersandimpairtheirchaperoneactivitiesanda bilitytoprotectagainstoxidativestresseffectively.Involvedininflamma toryresponsebyregulatingtumornecrosisfactor(TNF)andIL6productio npost-transcriptionally:actsbyphosphorylatingAU-richelements(AREs) -bindingproteinsELAVL1,HNRNPA0,PABPC1andTTP/ZFP36,leadingtore gulatethestabilityandtranslationofTNFandIL6mRNAs.Phosphorylationof TTP/ZFP36,amajorpost-transcriptionalregulatorofTNF,promotesitsbindi ngto14-3-3proteinsandreducesitsAREmRNAaffinityleadingtoinhibitiono fdependentdegradationofARE-containingtranscript.AlsoinvolvedinlateG2 /McheckpointfollowingDNAdamagethroughaprocessofpost-transcriptionalmRNAstabilization:followingDNAdamage,relocalizesfro mnucleustocytoplasmandphosphorylatesHNRNPA0andPARN,leadingto stabilizeGADD45AmRNA.Involvedintolllikereceptorsignalingpathway (TLR)indendriticcells:requiredforacuteTLRinducedmacropinocytosisbyp hosphorylatingandactivatingRPS6KA3. |
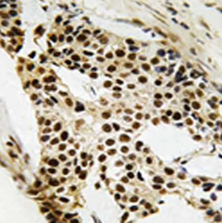
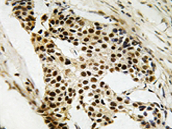
| Applications: | WB,IHC |
| Nameofantibody: | MAPKAPK2(Ab-272) |
| Immunogen: | Synthesizednon-phosphopeptidederivedfromhumanMAPKAPK2aroundthephosphorylationsiteofserine272(A-I-S(p)-P-G). |
| Fullname: | mitogen-activatedproteinkinase-activatedproteinkinase2 |
| Synonyms: | MK2;MK-2;MAPKAP-K2 |
| SwissProt: | P49137 |
| IHCpositivecontrol: | Humanbreastcarcinomatissue |
| IHCRecommenddilution: | 50-100 |
| WBPredictedbandsize: | 46kDa |
| WBPositivecontrol: | COScellslysate |
| WBRecommendeddilution: | 500-3000 |
风险提示:丁香通仅作为第三方平台,为商家信息发布提供平台空间。用户咨询产品时请注意保护个人信息及财产安全,合理判断,谨慎选购商品,商家和用户对交易行为负责。对于医疗器械类产品,请先查证核实企业经营资质和医疗器械产品注册证情况。
技术资料兔抗MAPKAPK2(Ab-272) 多克隆抗体
¥680 - 2500









