相关产品推荐更多 >
万千商家帮你免费找货
0 人在求购买到急需产品
- 详细信息
- 文献和实验
- 技术资料
- 供应商:
上海博尔森生物科技有限公司
- 库存:
999
- 英文名:
Acid Alcohol Superfast Differentiation Solution
- 规格:
100ml/500ml
| 规格: | 100ml | 产品价格: | ¥33.0 |
|---|---|---|---|
| 规格: | 500ml | 产品价格: | ¥60.0 |
盐酸乙醇超快速分化液(Acid Alcohol Superfast Differentiation Solution)是一种用于苏木素染色、苏木素伊红染色(HE染色)或Masson染色等涉及苏木素染色时,非常快速地降低细胞浆等背景性的苏木素染色并使细胞核苏木素染色更清晰的溶液。
盐酸乙醇超快速分化液,分化时间非常快,仅需2-5秒。如果希望可以精细地控制分化时间,可以考虑选购盐酸乙醇慢速分化液(C0161)或盐酸乙醇快速分化液(C0163)。
使用本产品可获得更好的苏木素染色效果。本产品的基本原理是在酸性条件下,可以有效洗去细胞核以外的苏木素染色,从而降低背景;同时,也可以使细胞核着色过深的区域染色适当减弱,使染色更清晰。
苏木素染色(hematoxylin staining or haematoxylin staining),也被称作苏染色,是最常用的组织和细胞的染色方法之一。无色的苏木素(hematoxylin)氧化后形成有醌环结构(quinoid ring)的氧化苏木素(hematein or haematein),从而可以和三价的铝离子、铁离子等形成有颜色的带正电荷的复合物(如hematein-Al3+ complexes)。氧化苏木素(也称氧化苏和铝离子等形成有色的复合物的过程也被称为Dye Lake Formation。细胞核内基因组DNA的双螺旋结构中,双链上的磷酸基团向外,带负电荷,呈酸性,很容易与带正电荷的氧化苏木素复合物结合,从而形成细胞核染色。苏木素染色液有多种不同的配制方法,不同的方法可以把细胞核染色成不同深浅的蓝色或蓝紫色。
苏木素是优良的细胞核染色剂,但由于细胞质中RNA和线粒体DNA的存在,也会导致细胞质中出现非预期的染色。因此苏木素染色后经常会出现细胞质有较高背景或细胞核染色过深的情况。盐酸乙醇分化液的作用主要通过溶液中的pH值等以弱化氧化苏木素和RNA或DNA形成有色的复合物从而使细胞质中几乎没有苏木素染色,而细胞核的苏木素染色比较适中。分化过程中,细胞核中的苏木素染色在酸性条件下呈现红色,当细胞核的颜色达到适宜程度时,立刻用自来水洗涤以终止分化,此时细胞核中苏木素染色在近中性的条件下而转变为蓝色,称为返蓝或发生蓝化作用。分化的适宜程度是指经水洗返蓝后用显微镜观察,细胞核膜特别是细胞核染色质的形态结构清晰,而细胞浆及其它部分基本没有背景染色,后续再用伊红染色,就能获得细胞核与细胞浆蓝红相映、鲜艳漂亮的染色结果。如果分化不充分,细胞核为深蓝色,不能辩认出核膜及染色质的形态结构,且细胞浆等仍有浅蓝色背景,经伊红染色后即成红紫色,会影响观察效果。如果分化过度,细胞核染色会呈现浅蓝色,导致仅能看出轮廓甚至模糊不清。
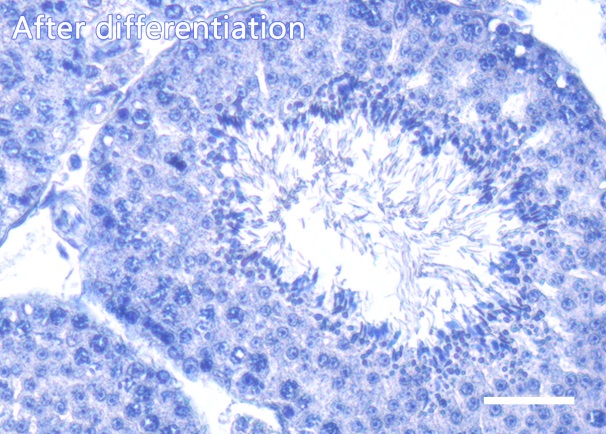
本盐酸乙醇分化液的组分经过反复优化,分化速度非常快,通常仅需分化2-5秒左右,可以非常快速地完成分化,特别适合对于苏木素染色分化操作非常熟练的实验人员。苏木素染色后的组织切片经本分化液分化处理后,核质着色更加清晰分明。本产品用于石蜡切片苏木素染色后的分化前后同一视野效果图参考图1。

图1. 本产品用于小鼠睾丸石蜡切片苏木素染色后同一视野分化前后的实拍效果图。左图为未经分化处理的效果图,右图为经本产品分化处理后的效果图。从图中可见,经本产品分化处理后,苏木素染色的细胞核呈现蓝色,核质清晰分明,背景呈现纯净的白色。本图仅作参考,不同的样品不同的检测条件,实际获得的结果可能有所差别。Scale bar, 100μm。
按照每个样品使用0.2ml盐酸乙醇分化液计算,一个包装的C0165S、C0165M和C0165L分别可以分化500个、2500个和10000个样品。如果用于浸泡式的分化操作,建议在使用约10-20次并且分化效果明显减弱后更换分化液。
保存条件:
室温保存,至少一年有效。
注意事项:
本产品易挥发,请注意密闭保存。为避免挥发导致的使用效果下降,开启后宜尽快用完。
染色后的分化为选做步骤,但分化后核质染色更清晰,核膜及染色质的形态结构更清楚。
样品数量很多时,可以使用生产的染色架(FJ024、FJ026、FJ030、FJ060)和染色缸(FG005、FG010、FG030、
FG060),便于操作。
如果订购的是C0165L盐酸乙醇超快速分化液(20X),需要自备75%乙醇,以用于把盐酸乙醇超快速分化液(20X)稀释20倍配制成盐酸乙醇超快速分化液。
不同样品和不同染色要求,所需要的分化时间会有所不同。初次使用本产品建议先摸索不同分化时间,根据镜下观察结果,确定的分化时间。也可以根据需求选择盐酸乙醇慢速分化液(C0161)或盐酸乙醇快速分化液(C0163)。
本产品为易燃液体,须密闭储存于阴凉、干燥、通风良好的地方,建议存放在易燃液体的专用安全柜中,并远离明火、火花、热源、热表面,禁止吸烟。
本产品有腐蚀性,操作时请小心,并注意有效防护以避免直接接触人体或腐蚀其他物品。
本产品仅限于专业人员的科学研究用,不得用于临床诊断或治疗,不得用于食品或药品,不得存放于普通住宅内。
为了您的安全和健康,请穿实验服并戴一次性手套操作。
风险提示:丁香通仅作为第三方平台,为商家信息发布提供平台空间。用户咨询产品时请注意保护个人信息及财产安全,合理判断,谨慎选购商品,商家和用户对交易行为负责。对于医疗器械类产品,请先查证核实企业经营资质和医疗器械产品注册证情况。
文献和实验摘要: 美国佛罗里达大学科学家使用纳米粒子技术,开发出一种新的大肠杆菌检测法,即使样本里只有一个大肠杆菌也能检测出来,整个过程只需要20分钟. 摘要: 美国佛罗里达大学科学家使用 纳米粒子 技术,开发出一种新的 大肠杆菌 检测法,即使样本里只有一个大肠杆菌也能检测出来,整个过程只需要20分钟.
微量元素的合规性的法律正在拟定或制定中,因此,市场上必然对能够快速、准确地分析 不同产品中的脂溶性维生素含量的分析方法有更高的需求。 目前,在进行FSV分离时,最常使用的是液相色谱(LC)方法,反向(RP)与正向(NP)方法均有。1,3-5虽然有AOAC法可用于对食品及营养补充剂当中的各种脂溶性维生素分别进行定性与定量 分析,但却缺少一种可对维生素预混物中的脂溶性维生素以及类胡萝卜素同时进行分析的方法。3 由于超高效合相色谱(UPC2™)分离速度快、经济耐用,因此可考
超高效液相色谱―质谱法快速分析番茄及其制品中矮壮素和缩节胺残留量
.0%~104.0%;相对标准偏差在9.5%~11.3%和 10.5%~13.2%之间;方法检出限均为0. 8 μg/kg。本方法仅需约2 min的检测时间,且灵敏、准确,完全满足番茄及其制品中矮壮素和缩节胺残留量的快速、高灵敏度的分析要求。 【关键词】 矮壮素和缩节胺残留 番茄及其制品 超高效液相色谱/串联质谱 1 引言 矮壮素(chlormequat) 是2�氯乙基三甲铵氯化物的商品名称,缩节胺(mepiquat)也叫助壮素,是1,1�二甲基哌啶氯
技术资料暂无技术资料 索取技术资料









