万千商家帮你免费找货
0 人在求购买到急需产品
- 详细信息
- 文献和实验
- 技术资料
- 库存:
100
- 英文名:
Listeria monocytogenes
- 保质期:
6年
- 供应商:
优利科(上海)生命科学有限公司
- 保存条件:
2-8℃
- 规格:
冻干粉
单核增生李斯特菌菌种简介:
| 菌种名称 |
单核增生李斯特菌 |
| 规格 |
冻干粉 |
| 生长条件 |
37℃;18-24h;好氧 |
| 菌种主要应用 |
分类学研究。 |
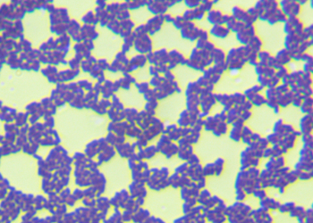
单核增生李斯特菌大小:0.5-1mm 形状:圆形 边缘:整齐 透明度:不透明 颜色:淡黄色 隆起度:中间凸起 表面:明亮光滑 质地:湿润易挑起,边缘整齐,颜色较浅,浅色,表面光滑,表面明亮,质地湿润,不产色素,G+(蓝紫色),杆菌,纯度:纯
保存条件:2-8℃
安瓿管开封步骤:


单核增生李斯特菌传代方法:①准备1支含有5~10mL液体培养基的试管和2个平板;②安全柜中打开,用酒精灯灼烧顶部,后迅速滴上无菌水使之破裂,随后用镊子将其敲碎;③吸取0.5mL液体培养基打入冻干管,充分溶解后重新打回液体试管中,混匀;④吸取0.2mL菌悬液打入平板中,涂布均匀,重复两次获得两个平板;⑤将液体试管和平板全部置于上述培养条件下培养,菌种长出即可使用。
培养基:基础培养基(LB):酵母膏 5.0g,蛋白胨 10.0g,NaCl 10.0g,蒸馏水 1.0L,pH 7.0。121℃,15min灭菌。
注意事项
1 微生物菌种应保存于低温、清洁和干燥的地方,室温放置时间过长会导致菌种衰退;
2 菌种操作在无菌条件下进行,接种完毕应该灭菌再做丢弃处理;
3 斜面菌种和穿刺菌种保存时间通常为3-6个月,应根据菌种状况及时结转;冻干粉保存时间通常是2-25年;甘油菌保存时间为2-5年。

活化步骤图:

单核增生李斯特菌相关产品:
| Bacillus sp. | |
| 大肠埃希氏菌 | 噬菌体载体(单链DNA噬菌体M13 mp2)的寄主 |
| Pseudoalteromonas rubra | 教学和科研 |
| Patulibacter ginsengiterrae | |
| Corynebacterium trachiae | |
| Zygosaccharomyces parabailii | 质量控制菌株 |
| 酿酒酵母 | 模式菌株。 |
| 海洋嗜杀酵母 | |
| 光伏希瓦氏菌 | |
| Paecilomyces formosus | 真菌检测用菌 |
| 灰葡萄孢 | 用于生产脱落酸。 |
| 嗜松青霉 | |
| 宛氏拟青霉 | 防霉试验菌种 |
| 木霉 | 防霉试验菌种。 |
| 绳状青霉 | 用于生产葡聚糖。 |
| 长柄木霉 | 真菌测试 |
| 出芽短梗霉 | 真菌测试 |
| 绿色木霉菌 | 降解氯化酚。 |
| 巴西曲霉 | |
| 红色毛癣菌 |
风险提示:丁香通仅作为第三方平台,为商家信息发布提供平台空间。用户咨询产品时请注意保护个人信息及财产安全,合理判断,谨慎选购商品,商家和用户对交易行为负责。对于医疗器械类产品,请先查证核实企业经营资质和医疗器械产品注册证情况。
文献和实验作者:张淑红,吴清平,张菊梅 作者单位:广东环凯微生物科技有限公司,广州510070;2.广东省微生物研究所广东省菌种保藏与应用重点实验室,广州510070 [摘要] 目的:研究显色培养基对单核细胞增生李斯特菌的检测效果,探讨建立新型快速检测方法。方法:检测按国标GB4789—33程序进行。结果:人工污染样品和实际样品检测中,显色培养基CHROMagar Listeria和HKListeria与传统平板OXA和MMA可以达到相同的检测限和灵敏度,且具有更高
在感染过程中,食源性病原体“单核细胞增生李斯特菌”能利用宿主细胞的大量功能,包括涉及泛素化和磷酸化的、专门修饰关键蛋白活性的转录后修饰。致病细菌对被称为“SUMOylation”的泛素样修饰(真核细胞中一个重要过程)()的效应在很大程度上仍不清楚。 现在,对被“单核细胞增生李斯特菌”感染的人类细胞和对一个小鼠模型所做的一项研究表明,其毒性因子listeriolysin O (LLO)通过触发Ubc9(“SUMOylation”机制中一种必要的酶)的降解诱导
病原学检测对于感染性疾病的诊断和治疗非常重要,因此,临床微生物实验室在医院感染治疗和控制中起到关键作用。目前,大部分临床微生物实验室采用商品化的鉴定系统鉴定临床分离的细菌,但是对于一些临床不常见的细菌,传统的鉴定方法(如革兰染色、生化反应等)更加实用有效。因此,本文参照CLSI M32-A2文件列举了一些临床不常见细菌的特征和鉴定方法,希望对临床微生物实验室的常规工作有所帮助。 一. 不常见革兰阳性菌 1.产单核李斯特菌 李斯特菌是一种典型











