相关产品推荐更多 >
万千商家帮你免费找货
0 人在求购买到急需产品
- 详细信息
- 技术资料
- 供应商:
北京索莱宝科技有限公司
- 规格:
100ul/50
| 规格: | 100ul | 产品价格: | ¥1600.0 |
|---|---|---|---|
| 规格: | 50 | 产品价格: | ¥960.0 |
Anti-MLKL Monoclonal Antibody
产品简介
备注:
以上数据均来自公开文献, Solarbio暂未进行独立验证, 仅供参考。
These protocols are for reference only. Solarbio does not independently validate these methods.
实验图
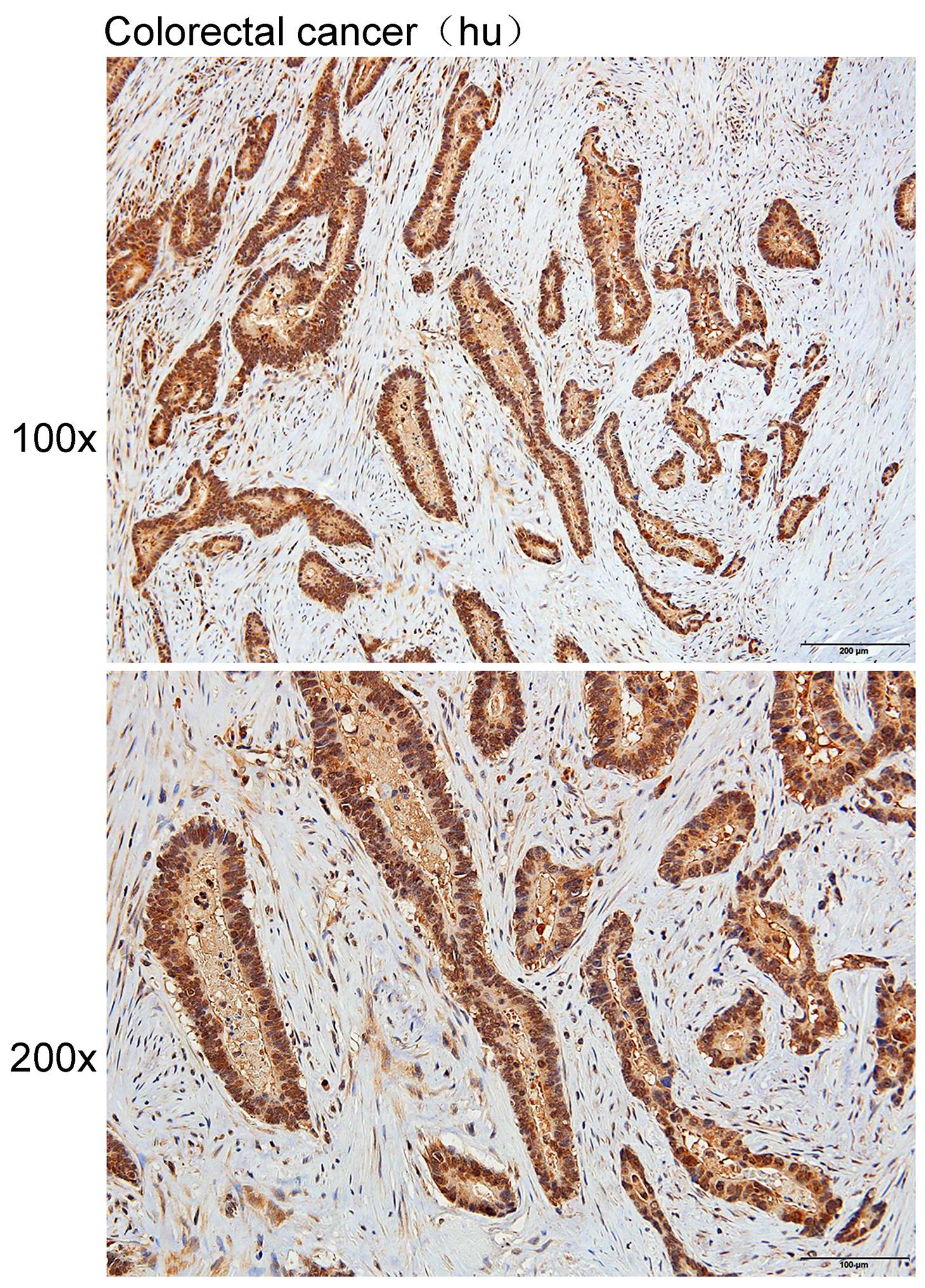
Immunohistochemistry of paraffin-embedded Human colorectal cancer with MLKL antibody diluted at 1:80
产品简介
| 英文名称 | Anti-MLKL Monoclonal Antibody |
| 别名 | hMLKL;MLKL |
| 宿主 | Mouse |
| 稀释比例 | IHC 1:50-200. |
| Gene ID | 197259 |
| 保存 | Store at -20°C. Avoid freeze / thaw cycles. |
| Swiss Prot | Q8NB16 |
| 蛋白分子量 | 30/54kDa |
| 储存液 | Buffer: PBS with 0.03% Proclin300, 50% glycerol, pH7.3. |
| 亚细胞定位 | Cell membrane Cytoplasm |
| 免疫原 | Synthetic Peptide |
| 亚型 | IgG1 |
| 纯化方法 | Affinity purification |
| 克隆号 | 8H7 |
| 背景资料 | This gene belongs to the protein kinase superfamily. The encoded protein contains a protein kinase-like domain; however, is thought to be inactive because it lacks several residues required for activity. This protein plays a critical role in tumor necrosis factor (TNF)-induced necroptosis, a programmed cell death process, via interaction with receptor-interacting protein 3 (RIP3), which is a key signaling molecule in necroptosis pathway. Inhibitor studies and knockdown of this gene inhibited TNF-induced necrosis. High levels of this protein and RIP3 are associated with inflammatory bowel disease in children. Alternatively spliced transcript variants have been described for this gene. [provided by RefSeq, Sep 2015] |
| 克隆类型 | Monoclonal Antibody |
| 交叉反应 | Human |
| 应用 | IHC |
| 规格 | 50ul 100ul |
备注:
以上数据均来自公开文献, Solarbio暂未进行独立验证, 仅供参考。
These protocols are for reference only. Solarbio does not independently validate these methods.
实验图
Immunohistochemistry of paraffin-embedded Human colorectal cancer with MLKL antibody diluted at 1:80
风险提示:丁香通仅作为第三方平台,为商家信息发布提供平台空间。用户咨询产品时请注意保护个人信息及财产安全,合理判断,谨慎选购商品,商家和用户对交易行为负责。对于医疗器械类产品,请先查证核实企业经营资质和医疗器械产品注册证情况。
技术资料暂无技术资料 索取技术资料
Anti-MLKL Monoclonal Antibody
¥960 - 1600






