相关产品推荐更多 >
万千商家帮你免费找货
0 人在求购买到急需产品
- 详细信息
- 技术资料
- 供应商:
北京索莱宝科技有限公司
- 规格:
100ul/50ul
| 规格: | 100ul | 产品价格: | ¥1600.0 |
|---|---|---|---|
| 规格: | 50ul | 产品价格: | ¥960.0 |
产品简介
备注:
以上数据均来自公开文献, Solarbio暂未进行独立验证, 仅供参考。
These protocols are for reference only. Solarbio does not independently validate these methods.
温馨提示:
使用前请离心。如有问题请及时联系我们。
Quick spin before use. If you have any questions, please contact us.
实验图
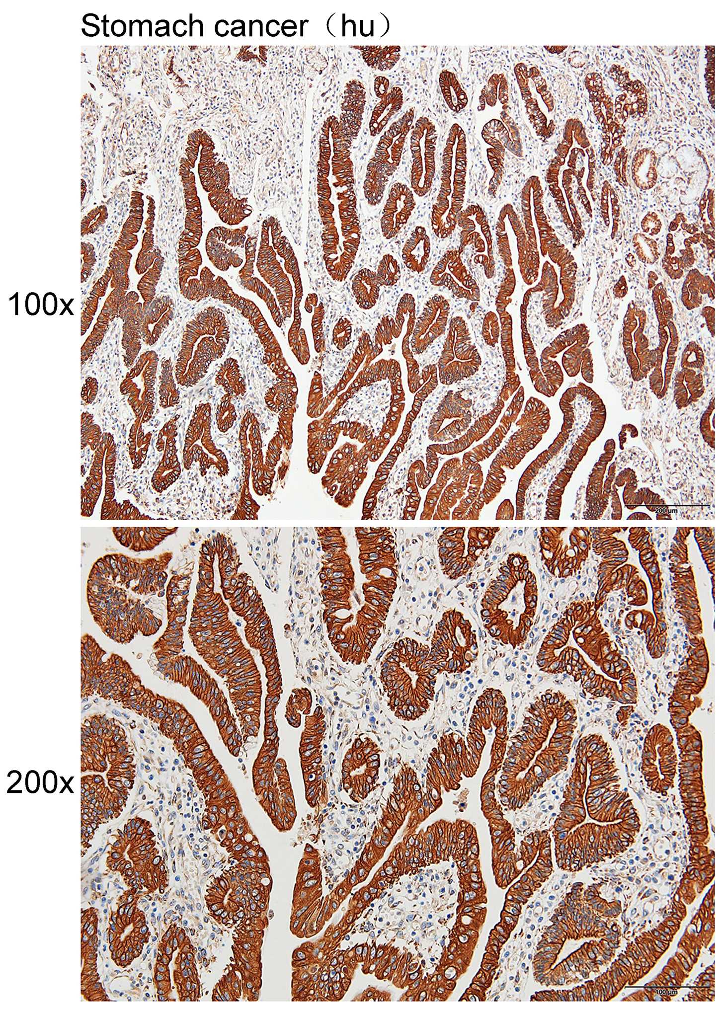
Immunohistochemistry of paraffin-embedded Human stomach cancer with KRT19 antibody diluted at 1:200
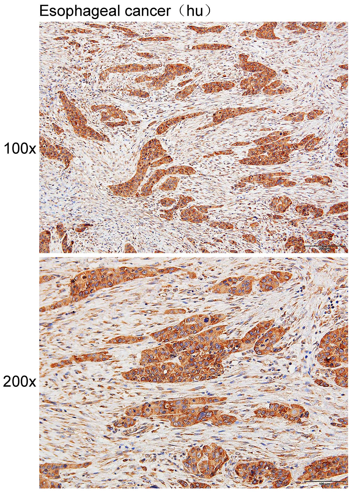
Immunohistochemistry of paraffin-embedded Human esophageal cancer with KRT19 antibody diluted at 1:200
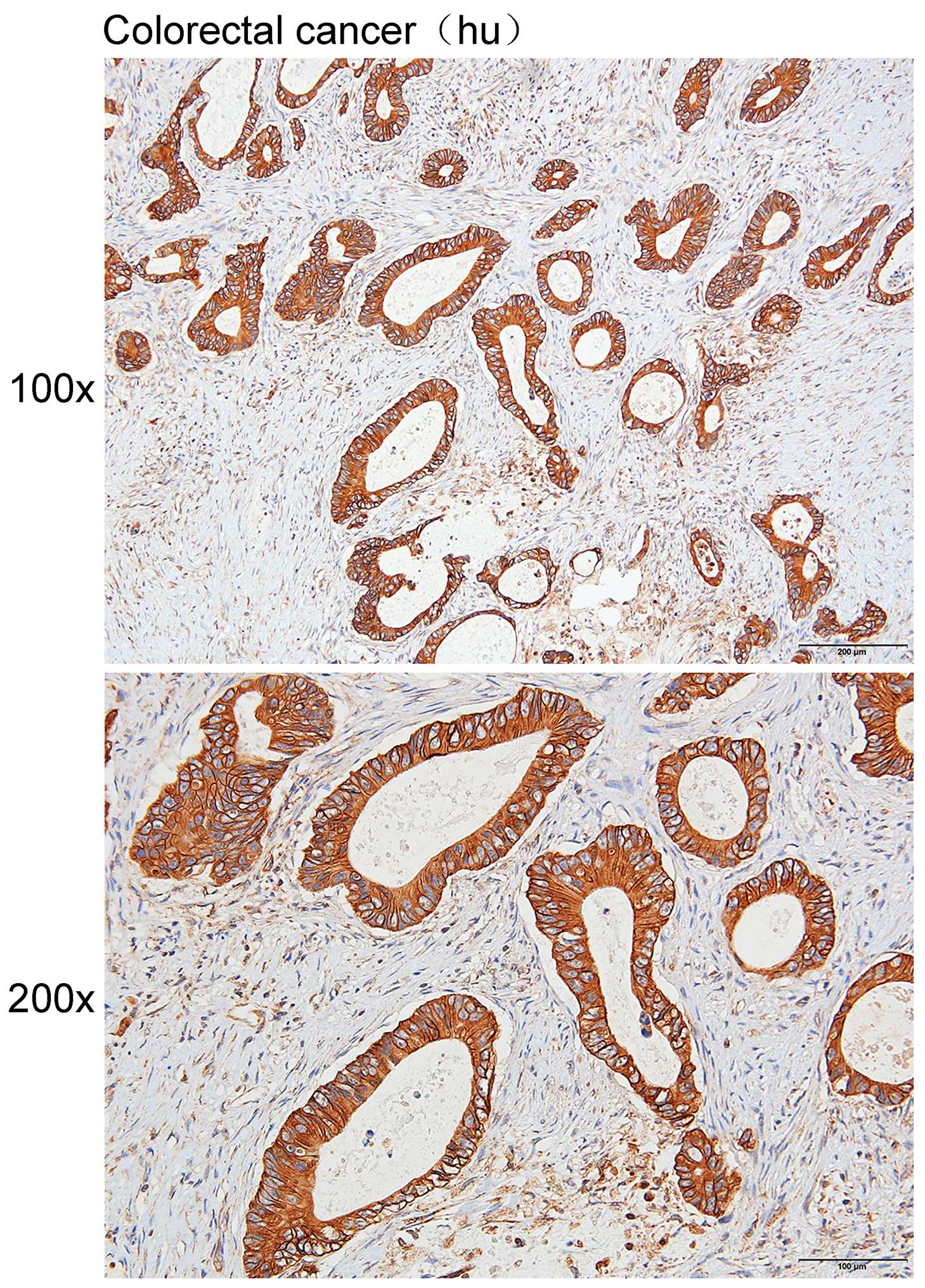
Immunohistochemistry of paraffin-embedded Human colorectal cancer with KRT19 antibody diluted at 1:200
These protocols are for reference only. Solarbio does not independently validate these methods.
实验图
Immunohistochemistry of paraffin-embedded Human stomach cancer with KRT19 antibody diluted at 1:200
Immunohistochemistry of paraffin-embedded Human esophageal cancer with KRT19 antibody diluted at 1:200
Immunohistochemistry of paraffin-embedded Human colorectal cancer with KRT19 antibody diluted at 1:200
| 单位 | 支 |
| 英文名称 | Anti-KRT19 Monoclonal Antibody |
| 别名 | CK19;K19;K1CS;KRT19 |
| 宿主 | Mouse |
| 稀释比例 | IHC 1:100-300. |
| Gene ID | 3880 |
| 保存 | Store at -20°C. Avoid freeze / thaw cycles. |
| Swiss Prot | P08727 |
| 蛋白分子量 | 44kDa |
| 储存液 | Buffer: PBS with 0.03% Proclin300, 50% glycerol, pH7.3. |
| 亚细胞定位 | Cytoplasm |
| 免疫原 | Synthetic Peptide |
| 亚型 | IgG1 |
| 纯化方法 | Affinity purification |
| 克隆号 | 11F5 |
| 背景资料 | The protein encoded by this gene is a member of the keratin family. The keratins are intermediate filament proteins responsible for the structural integrity of epithelial cells and are subdivided into cytokeratins and hair keratins. The type I cytokeratins consist of acidic proteins which are arranged in pairs of heterotypic keratin chains. Unlike its related family members, this smallest known acidic cytokeratin is not paired with a basic cytokeratin in epithelial cells. It is specifically expressed in the periderm, the transiently superficial layer that envelopes the developing epidermis. The type I cytokeratins are clustered in a region of chromosome 17q12-q21. |
| 克隆类型 | Monoclonal Antibody |
| 交叉反应 | Human Rat Mouse |
| 应用 | IHC |
| 规格 | 50ul 100ul |
备注:
以上数据均来自公开文献, Solarbio暂未进行独立验证, 仅供参考。
These protocols are for reference only. Solarbio does not independently validate these methods.
温馨提示:
使用前请离心。如有问题请及时联系我们。
Quick spin before use. If you have any questions, please contact us.
实验图
Immunohistochemistry of paraffin-embedded Human stomach cancer with KRT19 antibody diluted at 1:200
Immunohistochemistry of paraffin-embedded Human esophageal cancer with KRT19 antibody diluted at 1:200
Immunohistochemistry of paraffin-embedded Human colorectal cancer with KRT19 antibody diluted at 1:200
These protocols are for reference only. Solarbio does not independently validate these methods.
实验图
Immunohistochemistry of paraffin-embedded Human stomach cancer with KRT19 antibody diluted at 1:200
Immunohistochemistry of paraffin-embedded Human esophageal cancer with KRT19 antibody diluted at 1:200
Immunohistochemistry of paraffin-embedded Human colorectal cancer with KRT19 antibody diluted at 1:200
风险提示:丁香通仅作为第三方平台,为商家信息发布提供平台空间。用户咨询产品时请注意保护个人信息及财产安全,合理判断,谨慎选购商品,商家和用户对交易行为负责。对于医疗器械类产品,请先查证核实企业经营资质和医疗器械产品注册证情况。
技术资料暂无技术资料 索取技术资料
Anti-KRT19 Monoclonal Antibody
¥960 - 1600








