相关产品推荐更多 >
万千商家帮你免费找货
0 人在求购买到急需产品
- 详细信息
- 技术资料
- 免疫原:
Recombinant protein of human DHX15
- 亚型:
IgG
- 保存条件:
Store at -20°C. Avoid freeze / thaw cycles.
- 供应商:
北京索莱宝科技有限公司
- 宿主:
Rabbit
- 应用范围:
WB;IHC
- 靶点:
DHX15
- 规格:
50ul
Anti-DHX15 Polyclonal Antibody
产品简介
备注:
以上数据均来自公开文献, Solarbio暂未进行独立验证, 仅供参考。
These protocols are for reference only. Solarbio does not independently validate these methods.
实验图
Western blot analysis with DHX15 antibody diluted at 1:3000;Lane: HEK-293,K562,SHSY5Y
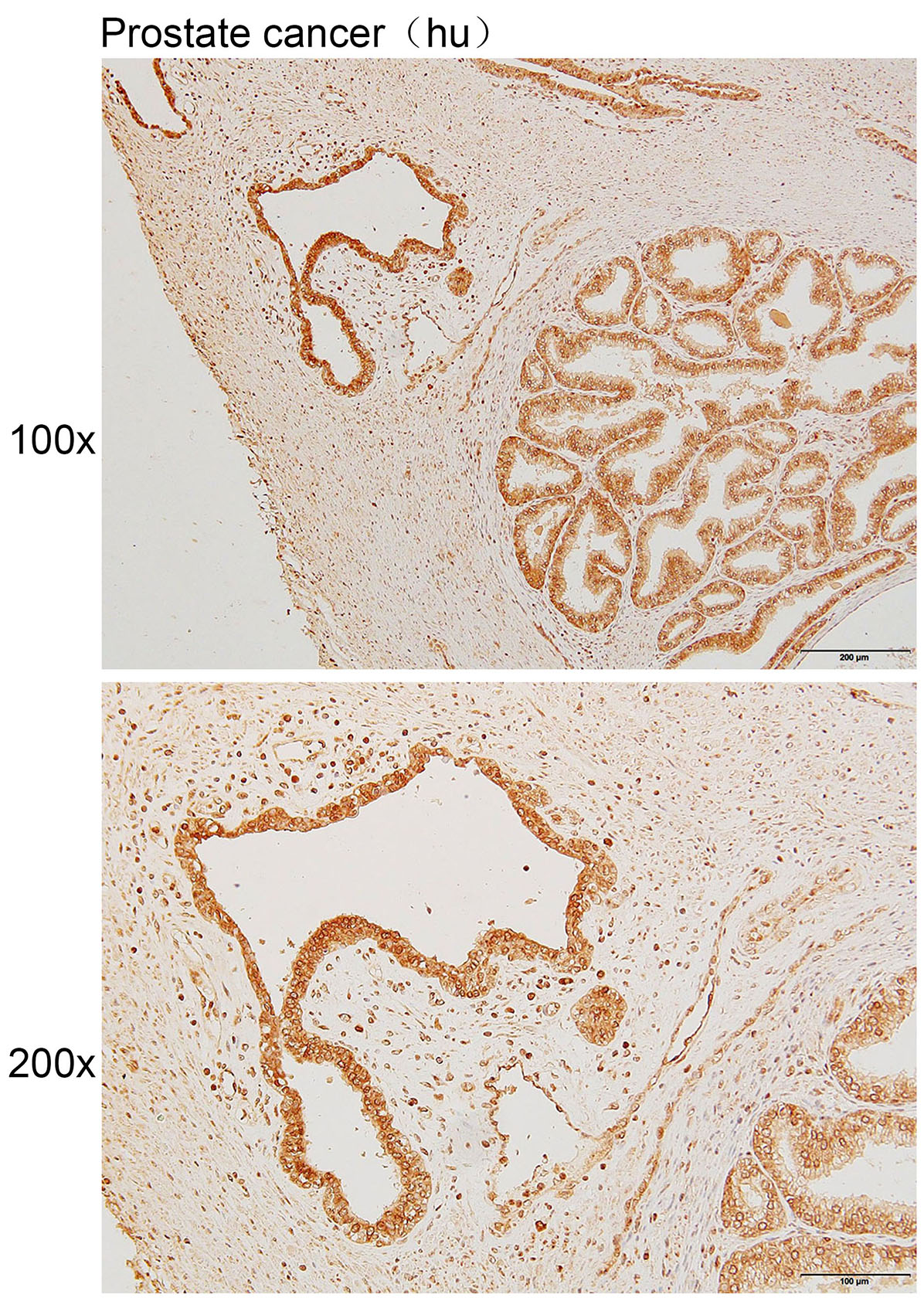
Immunohistochemistry of paraffin-embedded Human prostate cancer with DHX15 antibody diluted at 1:100
产品简介
| 靶标 | DHX15 |
| 别名 | DBP1;DDX15 |
| 宿主 | Rabbit |
| 预测交叉反应 | Orangutan |
| 稀释比例 | WB 1:2000-5000.;IHC 1:50-200. |
| Gene ID | 1665 |
| 保存 | Store at -20°C. Avoid freeze / thaw cycles. |
| Swiss Prot | O43143 |
| 蛋白分子量 | 91kDa |
| 储存液 | Buffer: PBS with 0.03% Proclin300, 50% glycerol, pH7.3. |
| 亚细胞定位 | Nucleus |
| 免疫原 | Recombinant protein of human DHX15 |
| 亚型 | IgG |
| 纯化方法 | Affinity purification |
| 背景资料 | Pre-mRNA processing factor involved in disassembly of spliceosomes after the release of mature mRNA. In cooperation with TFIP11 seem to be involved in the transition of the U2, U5 and U6 snRNP-containing IL complex to the snRNP-free IS complex leading to efficient debranching and turnover of excised introns. |
| Public Immunogen Range | 1-350aa |
| 克隆类型 | Polyclonal Antibody |
| 交叉反应 | Human;Mouse |
| 应用 | WB;IHC |
| 规格 | 50ul 100ul |
备注:
以上数据均来自公开文献, Solarbio暂未进行独立验证, 仅供参考。
These protocols are for reference only. Solarbio does not independently validate these methods.
实验图
Western blot analysis with DHX15 antibody diluted at 1:3000;Lane: HEK-293,K562,SHSY5Y
Immunohistochemistry of paraffin-embedded Human prostate cancer with DHX15 antibody diluted at 1:100
风险提示:丁香通仅作为第三方平台,为商家信息发布提供平台空间。用户咨询产品时请注意保护个人信息及财产安全,合理判断,谨慎选购商品,商家和用户对交易行为负责。对于医疗器械类产品,请先查证核实企业经营资质和医疗器械产品注册证情况。
技术资料暂无技术资料 索取技术资料
Anti-DHX15 Polyclonal Antibody
¥960







