相关产品推荐更多 >
万千商家帮你免费找货
0 人在求购买到急需产品
- 详细信息
- 技术资料
- 免疫原:
Recombinant protein of human IGHG2
- 亚型:
IgG
- 保存条件:
Store at -20°C. Avoid freeze / thaw cycles.
- 供应商:
北京索莱宝科技有限公司
- 宿主:
Rabbit
- 应用范围:
WB;IHC
- 靶点:
IGHG2
- 规格:
50ul
Anti-IGHG2 Polyclonal Antibody
产品简介
备注:
以上数据均来自公开文献, Solarbio暂未进行独立验证, 仅供参考。
These protocols are for reference only. Solarbio does not independently validate these methods.
实验图
Western blot analysis with IGHG2 antibody diluted at 1:2000;Lane:Human IgG
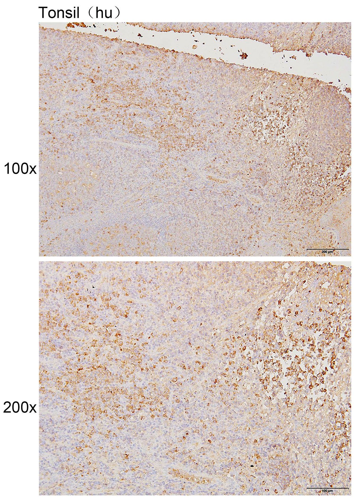
Immunohistochemistry of paraffin-embedded Human tonsil with IGHG2 antibody diluted at 1:80.
产品简介
| 靶标 | IGHG2 |
| 别名 | Immunoglobulin heavy constant gamma 2;Ig gamma-2 chain C region;Ig gamma-2 chain C region DOT;Ig gamma-2 chain C region TIL;Ig gamma-2 chain C region ZIE |
| 宿主 | Rabbit |
| 稀释比例 | WB 1:1000-3000.;IHC 1:50-200. |
| Gene ID | 3501 |
| 保存 | Store at -20°C. Avoid freeze / thaw cycles. |
| Swiss Prot | P01859 |
| 蛋白分子量 | 40kDa |
| 储存液 | Buffer: PBS with 0.03% Proclin300, 50% glycerol, pH7.3. |
| 亚细胞定位 | Cell membrane Secreted |
| 免疫原 | Recombinant protein of human IGHG2 |
| 亚型 | IgG |
| 纯化方法 | Affinity purification |
| 背景资料 | Constant region of immunoglobulin heavy chains. Immunoglobulins, also known as antibodies, are membrane-bound or secreted glycoproteins produced by B lymphocytes. In the recognition phase of humoral immunity, the membrane-bound immunoglobulins serve as receptors which, upon binding of a specific antigen, trigger the clonal expansion and differentiation of B lymphocytes into immunoglobulins-secreting plasma cells. Secreted immunoglobulins mediate the effector phase of humoral immunity, which results in the elimination of bound antigens (PubMed:22158414, PubMed:20176268). The antigen binding site is formed by the variable domain of one heavy chain, together with that of its associated light chain. Thus, each immunoglobulin has two antigen binding sites with remarkable affinity for a particular antigen. The variable domains are assembled by a process called V-(D)-J rearrangement and can then be subjected to somatic hypermutations which, after exposure to antigen and selection, allow affinity maturation for a particular antigen (PubMed:17576170, PubMed:20176268). |
| Public Immunogen Range | 124-459aa |
| 克隆类型 | Polyclonal Antibody |
| 交叉反应 | Human |
| 应用 | WB;IHC |
| 规格 | 50ul 100ul |
备注:
以上数据均来自公开文献, Solarbio暂未进行独立验证, 仅供参考。
These protocols are for reference only. Solarbio does not independently validate these methods.
实验图
Western blot analysis with IGHG2 antibody diluted at 1:2000;Lane:Human IgG
Immunohistochemistry of paraffin-embedded Human tonsil with IGHG2 antibody diluted at 1:80.
风险提示:丁香通仅作为第三方平台,为商家信息发布提供平台空间。用户咨询产品时请注意保护个人信息及财产安全,合理判断,谨慎选购商品,商家和用户对交易行为负责。对于医疗器械类产品,请先查证核实企业经营资质和医疗器械产品注册证情况。
技术资料暂无技术资料 索取技术资料
Anti-IGHG2 Polyclonal Antibody
¥960







