相关产品推荐更多 >
万千商家帮你免费找货
0 人在求购买到急需产品
- 详细信息
- 技术资料
- 免疫原:
A synthetic peptide of human CNOT3
- 亚型:
IgG
- 保存条件:
Store at -20°C. Avoid freeze / thaw cycles.
- 供应商:
北京索莱宝科技有限公司
- 宿主:
Rabbit
- 应用范围:
IHC
- 靶点:
CNOT3
- 规格:
50ul
Anti-CNOT3 Polyclonal Antibody
产品简介
备注:
以上数据均来自公开文献, Solarbio暂未进行独立验证, 仅供参考。
These protocols are for reference only. Solarbio does not independently validate these methods.
实验图
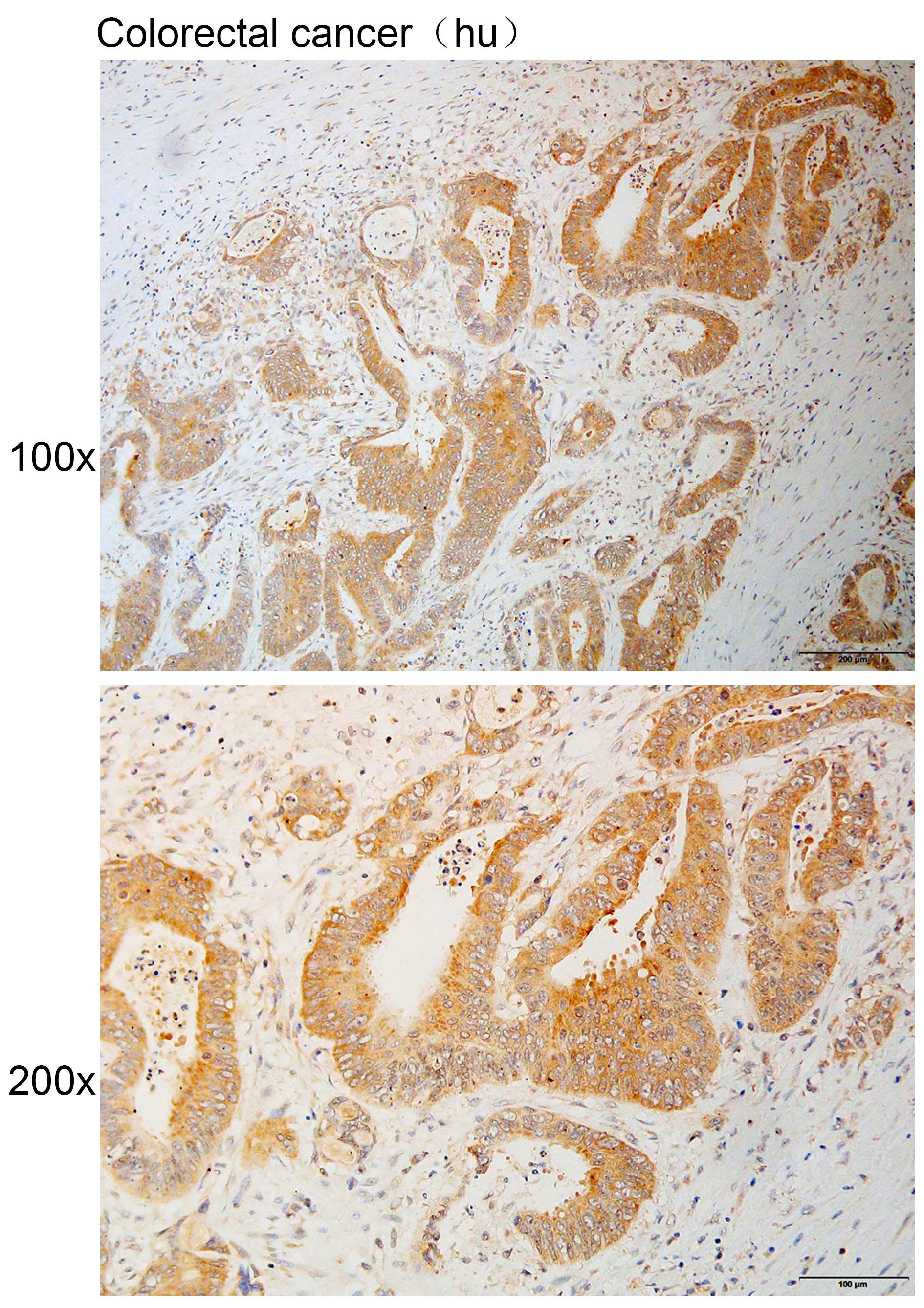
Immunohistochemistry of paraffin-embedded Human colorectal cancer with CNOT3 antibody diluted at 1:100.
产品简介
| 靶标 | CNOT3 |
| 别名 | CCR4 associated factor 3; CCR4-associated factor 3; CCR4-NOT transcription complex subunit 3; CNOT3; CNOT3_HUMAN; KIAA0691; LENG2; NOT3; NOT3H |
| 宿主 | Rabbit |
| 稀释比例 | IHC 1:50-200. |
| Gene ID | 4849 |
| 保存 | Store at -20°C. Avoid freeze / thaw cycles. |
| Swiss Prot | O75175 |
| 蛋白分子量 | 82kDa |
| 储存液 | Buffer: PBS with 0.03% Proclin300, 50% glycerol, pH7.3. |
| 亚细胞定位 | Cytoplasm Nucleus |
| 免疫原 | A synthetic peptide of human CNOT3 |
| 亚型 | IgG |
| 纯化方法 | Affinity purification |
| 背景资料 | Component of the CCR4-NOT complex which is one of the major cellular mRNA deadenylases and is linked to various cellular processes including bulk mRNA degradation, miRNA-mediated repression, translational repression during translational initiation and general transcription regulation. Additional complex functions may be a consequence of its influence on mRNA expression. May be involved in metabolic regulation; may be involved in recruitment of the CCR4-NOT complex to deadenylation target mRNAs involved in energy metabolism. Involved in mitotic progression and regulation of the spindle assembly checkpoint by regulating the stability of MAD1L1 mRNA. Can repress transcription and may link the CCR4-NOT complex to transcriptional regulation; the repressive function may involve histone deacetylases. Involved in the maintenance of embryonic stem (ES) cell identity. |
| Public Immunogen Range | 270-320/753aa |
| 克隆类型 | Polyclonal Antibody |
| 交叉反应 | Human Mouse |
| 应用 | IHC |
| 规格 | 50ul 100ul |
备注:
以上数据均来自公开文献, Solarbio暂未进行独立验证, 仅供参考。
These protocols are for reference only. Solarbio does not independently validate these methods.
实验图
Immunohistochemistry of paraffin-embedded Human colorectal cancer with CNOT3 antibody diluted at 1:100.
风险提示:丁香通仅作为第三方平台,为商家信息发布提供平台空间。用户咨询产品时请注意保护个人信息及财产安全,合理判断,谨慎选购商品,商家和用户对交易行为负责。对于医疗器械类产品,请先查证核实企业经营资质和医疗器械产品注册证情况。
技术资料暂无技术资料 索取技术资料
Anti-CNOT3 Polyclonal Antibody
¥960








