相关产品推荐更多 >
万千商家帮你免费找货
0 人在求购买到急需产品
- 详细信息
- 技术资料
- 免疫原:
A synthetic peptide of human AAK1
- 亚型:
IgG
- 保存条件:
Store at -20°C. Avoid freeze / thaw cycles.
- 供应商:
北京索莱宝科技有限公司
- 宿主:
Rabbit
- 应用范围:
WB IHC
- 靶点:
AAK1
- 规格:
50ul
Anti-AAK1 Polyclonal Antibody
产品简介
备注:
以上数据均来自公开文献, Solarbio暂未进行独立验证, 仅供参考。
These protocols are for reference only. Solarbio does not independently validate these methods.
实验图
Western blot analysis with AAK1 antibody diluted at 1:2000;Lane:M��
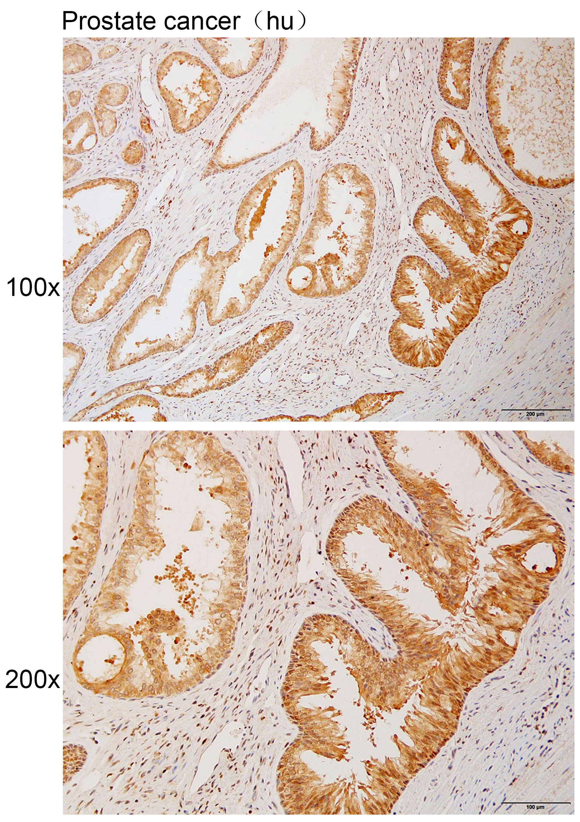
Immunohistochemistry of paraffin-embedded Human prostate cancer with AAK1 antibody diluted at 1:100.
产品简介
| 靶标 | AAK1 |
| 别名 | AAK 1; Aak1; AAK1_HUMAN; Adaptor associated kinase 1; Adaptor-associated kinase 1; AP2 associated kinase 1; AP2 associated protein kinase 1; AP2-associated protein kinase 1 |
| 宿主 | Rabbit |
| 稀释比例 | WB 1:1000-3000. IHC 1:50-200. |
| Gene ID | 22848 |
| 保存 | Store at -20°C. Avoid freeze / thaw cycles. |
| Swiss Prot | Q2M2I8 |
| 蛋白分子量 | 94/104kDa |
| 储存液 | Buffer: PBS with 0.03% Proclin300, 50% glycerol, pH7.3. |
| 亚细胞定位 | Cell membrane Cytoplasm |
| 免疫原 | A synthetic peptide of human AAK1 |
| 亚型 | IgG |
| 纯化方法 | Affinity purification |
| 背景资料 | Regulates clathrin-mediated endocytosis by phosphorylating the AP2M1/mu2 subunit of the adaptor protein complex 2 (AP-2) which ensures high affinity binding of AP-2 to cargo membrane proteins during the initial stages of endocytosis (PubMed:17494869, PubMed:11877457, PubMed:11877461, PubMed:12952931, PubMed:14617351, PubMed:25653444). Isoform 1 and isoform 2 display similar levels of kinase activity towards AP2M1 (PubMed:17494869). Preferentially, may phosphorylate substrates on threonine residues (PubMed:11877457, PubMed:18657069). Regulates phosphorylation of other AP-2 subunits as well as AP-2 localization and AP-2-mediated internalization of ligand complexes (PubMed:12952931). Phosphorylates NUMB and regulates its cellular localization, promoting NUMB localization to endosomes (PubMed:18657069). Binds to and stabilizes the activated form of NOTCH1, increases its localization in endosomes and regulates its transcriptional activity (PubMed:21464124). |
| Public Immunogen Range | 670-720/961aa |
| 克隆类型 | Polyclonal Antibody |
| 交叉反应 | Human Predicted:Cow Pig |
| 应用 | WB IHC |
| 规格 | 50ul 100ul |
备注:
以上数据均来自公开文献, Solarbio暂未进行独立验证, 仅供参考。
These protocols are for reference only. Solarbio does not independently validate these methods.
实验图
Western blot analysis with AAK1 antibody diluted at 1:2000;Lane:M��
Immunohistochemistry of paraffin-embedded Human prostate cancer with AAK1 antibody diluted at 1:100.
风险提示:丁香通仅作为第三方平台,为商家信息发布提供平台空间。用户咨询产品时请注意保护个人信息及财产安全,合理判断,谨慎选购商品,商家和用户对交易行为负责。对于医疗器械类产品,请先查证核实企业经营资质和医疗器械产品注册证情况。
技术资料暂无技术资料 索取技术资料
Anti-AAK1 Polyclonal Antibody
¥960








