相关产品推荐更多 >
万千商家帮你免费找货
0 人在求购买到急需产品
- 详细信息
- 技术资料
- 免疫原:
A synthetic peptide of human PARP1
- 亚型:
IgG
- 保存条件:
Store at -20°C. Avoid freeze / thaw cycles.
- 克隆性:
多克隆
- 抗原来源:
A synthetic peptide of human PARP1
- 供应商:
北京索莱宝科技有限公司
- 宿主:
Rabbit
- 应用范围:
WB IHC
- 靶点:
PARP1
- 规格:
50ul/100ul
| 规格: | 50ul | 产品价格: | ¥960.0 |
|---|---|---|---|
| 规格: | 100ul | 产品价格: | ¥1600.0 |
产品简介
| 中文名称 | 多腺苷二磷酸多聚酶抗体 |
| 靶标 | PARP1 (Cleaved-Gly215) |
| 别名 | ADPRT;ADPRT 1;ADPRT1;ARTD1;PARP;PARP-1;PPOL;pADPRT-1;PARP1;Cleaved PARP;PARP1 |
| 背景资料 | This gene encodes a chromatin-associated enzyme, poly(ADP-ribosyl)transferase, which modifies various nuclear proteins by poly(ADP-ribosyl)ation. The modification is dependent on DNA and is involved in the regulation of various important cellular processes such as differentiation, proliferation, and tumor transformation and also in the regulation of the molecular events involved in the recovery of cell from DNA damage. In addition, this enzyme may be the site of mutation in Fanconi anemia, and may participate in the pathophysiology of type I diabetes. [provided by RefSeq, Jul 2008] |
| Swiss Prot | P09874 |
| Gene ID | 142 |
| 亚细胞定位 | Nucleus Cytoplasm |
| 宿主 | Rabbit |
| 克隆类型 | Polyclonal Antibody |
| 亚型 | IgG |
| 蛋白分子量 | 113kDa |
| 稀释比例 | WB 1:1000-3000. IHC 1:50-200. |
| 免疫原 | A synthetic peptide of human PARP1 (Cleaved-Gly215) |
| Public Immunogen Range | 180-230/1014aa |
| 纯化方法 | Octanoic acid-ammonium sulfate precipitation |
| 储存液 | Buffer: PBS with 0.03% Proclin300, 50% glycerol, pH7.3. |
| 保存 | Store at -20°C. Avoid freeze / thaw cycles. |
| 交叉反应 | Human Rat Mouse |
| 应用 | WB IHC |
| 规格 | 50ul 100ul |
| 单位 | 支 |
备注:
以上数据均来自公开文献, Solarbio暂未进行独立验证, 仅供参考。
These protocols are for reference only. Solarbio does not independently validate these methods.
温馨提示:
使用前请离心。如有问题请及时联系我们。
Quick spin before use. If you have any questions, please contact us.
实验图
Western blot analysis with PARP1 (Cleaved-Gly215) antibody diluted at 1:2000;Lane: PC12,THP-1.
Immunohistochemistry of paraffin-embedded Human breast cancer with PARP1 (Cleaved-Gly215) antibody diluted at 1:100.
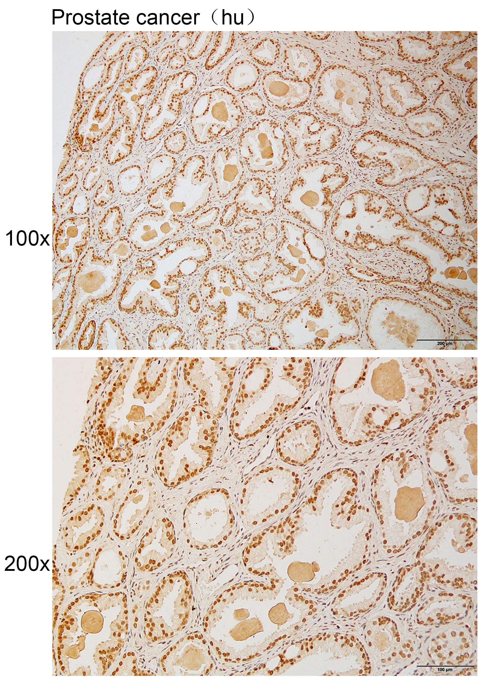
Immunohistochemistry of paraffin-embedded Human prostate cancer with PARP1 (Cleaved-Gly215) antibody diluted at 1:100.
风险提示:丁香通仅作为第三方平台,为商家信息发布提供平台空间。用户咨询产品时请注意保护个人信息及财产安全,合理判断,谨慎选购商品,商家和用户对交易行为负责。对于医疗器械类产品,请先查证核实企业经营资质和医疗器械产品注册证情况。
技术资料暂无技术资料 索取技术资料







