相关产品推荐更多 >
万千商家帮你免费找货
0 人在求购买到急需产品
- 详细信息
- 技术资料
- 免疫原:
A synthetic peptide of human SIAH2
- 亚型:
IgG
- 保存条件:
Store at -39°C. Avoid freeze / thaw cycles.
- 供应商:
北京索莱宝科技有限公司
- 宿主:
Rabbit
- 应用范围:
IHC
- 靶点:
SIAH2
- 规格:
50ul
Anti-SIAH2 Polyclonal Antibody
产品简介
备注:
以上数据均来自公开文献, Solarbio暂未进行独立验证, 仅供参考。
These protocols are for reference only. Solarbio does not independently validate these methods.
实验图
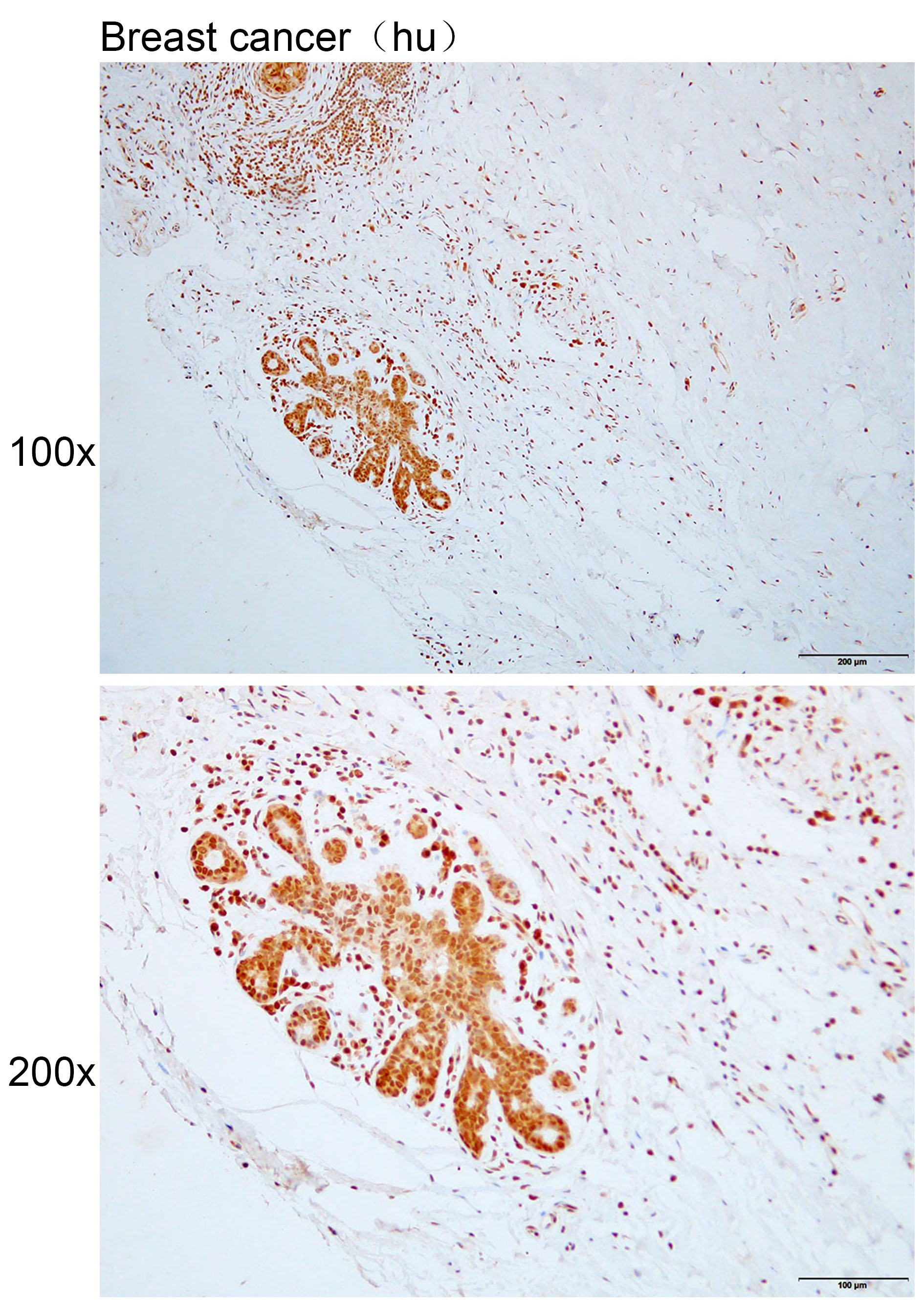
Immunohistochemistry of paraffin-embedded Human breast cancer with SIAH2 antibody diluted at 1:100
Immunohistochemistry of paraffin-embedded Human stomach cancer with SIAH2 antibody diluted at 1:100
产品简介
| 英文名称 | Anti-SIAH2 Polyclonal Antibody |
| 靶标 | SIAH2 |
| 别名 | E3 ubiquitin-protein ligase SIAH2 ;RING-type E3 ubiquitin transferase SIAH2;Seven in absentia homolog 2;Siah-2;hSiah2; |
| 宿主 | Rabbit |
| 稀释比例 | IHC 1:50-200. |
| Gene ID | 6478 |
| 保存 | Store at -39°C. Avoid freeze / thaw cycles. |
| Swiss Prot | O43255 |
| 蛋白分子量 | 35kDa |
| 储存液 | Buffer: PBS with 0.03% Proclin300, 50% glycerol, pH7.22. |
| 亚细胞定位 | Nucleus Cytoplasm |
| 免疫原 | A synthetic peptide of human SIAH2 |
| 亚型 | IgG |
| 纯化方法 | Affinity purification |
| 背景资料 | E3 ubiquitin-protein ligase that mediates ubiquitination and subsequent proteasomal degradation of target proteins (PubMed:9334332, PubMed:11483518, PubMed:19224863). E3 ubiquitin ligases accept ubiquitin from an E2 ubiquitin-conjugating enzyme in the form of a thioester and then directly transfers the ubiquitin to targeted substrates (PubMed:9334332, PubMed:11483518, PubMed:19224863). Mediates E3 ubiquitin ligase activity either through direct binding to substrates or by functioning as the essential RING domain subunit of larger E3 complexes (PubMed:9334332, PubMed:11483518, PubMed:19224863). Triggers the ubiquitin-mediated degradation of many substrates, including proteins involved in transcription regulation (GPS2, POU2AF1, PML, NCOR1), a cell surface receptor (DCC), an antiapoptotic protein (BAG1), and a protein involved in synaptic vesicle function in neurons (SYP) (PubMed:9334332, PubMed:11483518, PubMed:19224863). Mediates ubiquitination and proteasomal degradation of DYRK2 in response to hypoxia (PubMed:22878263). It is thereby involved in apoptosis, tumor suppression, cell cycle, transcription and signaling processes (PubMed:9334332, PubMed:11483518, PubMed:19224863, PubMed:22878263). Has some overlapping function with SIAH1 (PubMed:9334332, PubMed:11483518, PubMed:19224863). Triggers the ubiquitin-mediated degradation of TRAF2, whereas SIAH1 does not (PubMed:12411493). Promotes monoubiquitination of SNCA (PubMed:19224863). Regulates cellular clock function via ubiquitination of the circadian transcriptional repressors NR1D1 and NR1D2 leading to their proteasomal degradation (PubMed:26392558). Plays an important role in mediating the rhythmic degradation/clearance of NR1D1 and NR1D2 contributing to their circadian profile of protein abundance (PubMed:26392558). Mediates ubiquitination and degradation of EGLN2 and EGLN3 in response to the unfolded protein response (UPR), leading to their degradation and subsequent stabilization of ATF4 (By similarity). |
| Public Immunogen Range | 105-155/324 |
| 克隆类型 | Polyclonal Antibody |
| 交叉反应 | Human Predicted:Zebrafish Xenopus laevis Rat Mouse |
| 应用 | IHC |
| 规格 | 50ul 100ul |
备注:
以上数据均来自公开文献, Solarbio暂未进行独立验证, 仅供参考。
These protocols are for reference only. Solarbio does not independently validate these methods.
实验图
Immunohistochemistry of paraffin-embedded Human breast cancer with SIAH2 antibody diluted at 1:100
Immunohistochemistry of paraffin-embedded Human stomach cancer with SIAH2 antibody diluted at 1:100
风险提示:丁香通仅作为第三方平台,为商家信息发布提供平台空间。用户咨询产品时请注意保护个人信息及财产安全,合理判断,谨慎选购商品,商家和用户对交易行为负责。对于医疗器械类产品,请先查证核实企业经营资质和医疗器械产品注册证情况。
技术资料暂无技术资料 索取技术资料
Anti-SIAH2 Polyclonal Antibody
¥960







