Anti-LMCD1 Polyclonal Antibody

Anti-LMCD1 Polyclonal Antibody

收藏
  • ¥960
  • Solarbio已认证
  • 中国 北京
  • 2025年07月12日
  • IHC
  • Rabbit
avatar
品牌商
13钻石会员
  • 企业认证

    点击 QQ 联系

    • 详细信息
    • 技术资料
    • 免疫原

      A synthetic peptide of human LMCD1

    • 亚型

      IgG

    • 保存条件

      Store at -20°C. Avoid freeze / thaw cycles.

    • 供应商

      北京索莱宝科技有限公司

    • 宿主

      Rabbit

    • 应用范围

      IHC

    • 靶点

      LMCD1

    • 规格

      50ul

    Anti-LMCD1 Polyclonal Antibody


    产品简介
    靶标 LMCD1
    别名 LIM and cysteine-rich domains protein 1
    宿主 Rabbit
    稀释比例 IHC 1:50-200.
    Gene ID 29995
    保存 Store at -20°C. Avoid freeze / thaw cycles.
    Swiss Prot Q9NZU5
    蛋白分子量 33/41kDa
    储存液 Buffer: PBS with 0.03% Proclin300, 50% glycerol, pH7.3.
    亚细胞定位 Cytoplasm Nucleus
    免疫原 A synthetic peptide of human LMCD1
    亚型 IgG
    纯化方法 Affinity purification
    背景资料 Transcriptional cofactor that restricts GATA6 function by inhibiting DNA-binding, resulting in repression of GATA6 transcriptional activation of downstream target genes. Represses GATA6-mediated trans activation of lung- and cardiac tissue-specific promoters. Inhibits DNA-binding by GATA4 and GATA1 to the cTNC promoter (By similarity). Plays a critical role in the development of cardiac hypertrophy via activation of calcineurin/nuclear factor of activated T-cells signaling pathway.
    Public Immunogen Range 75-125/365
    克隆类型 Polyclonal Antibody
    交叉反应 Human Predicted:Cow Pig Mouse
    应用 IHC
    规格 50ul 100ul

    备注:
    以上数据均来自公开文献, Solarbio暂未进行独立验证, 仅供参考。
    These protocols are for reference only. Solarbio does not independently validate these methods.
    实验图
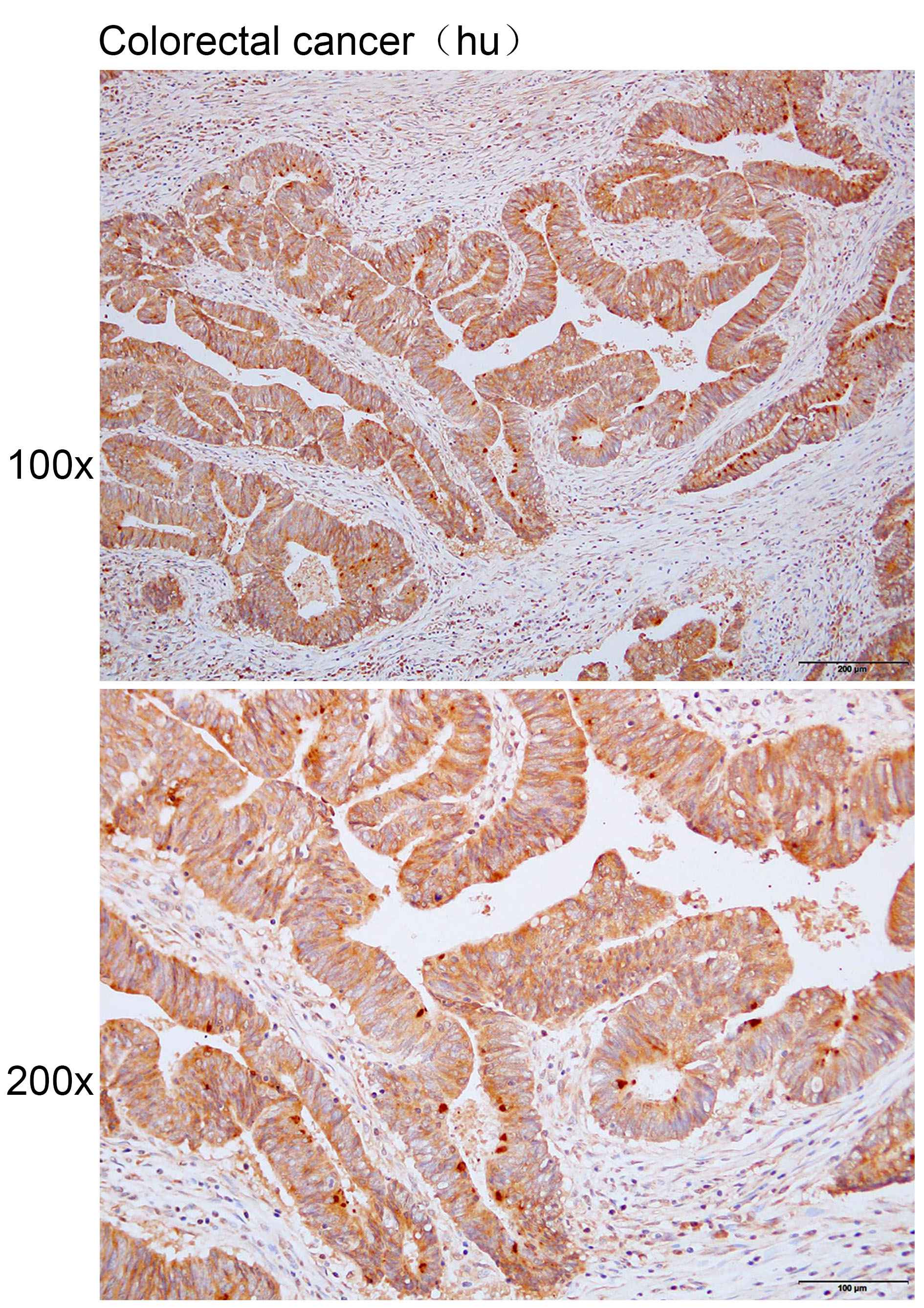
    Anti-LMCD1 Polyclonal Antibody
    Immunohistochemistry of paraffin-embedded Human colorectal cancer using LMCD1 antibody diluted at 1:80.
    Anti-LMCD1 Polyclonal Antibody
    Immunohistochemistry of paraffin-embedded Human endometrial cancer using LMCD1 antibody diluted at 1:80.
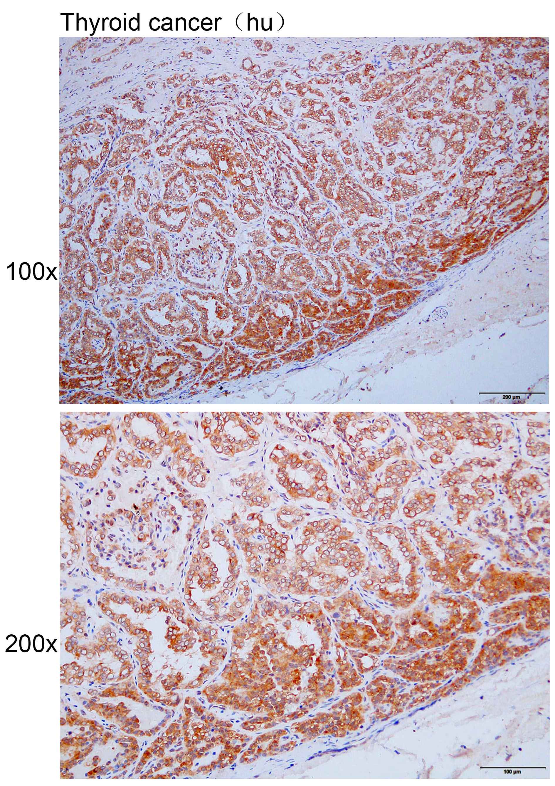
    Anti-LMCD1 Polyclonal Antibody
    Immunohistochemistry of paraffin-embedded Human thyroid cancer using LMCD1 antibody diluted at 1:80.

    风险提示:丁香通仅作为第三方平台,为商家信息发布提供平台空间。用户咨询产品时请注意保护个人信息及财产安全,合理判断,谨慎选购商品,商家和用户对交易行为负责。对于医疗器械类产品,请先查证核实企业经营资质和医疗器械产品注册证情况。

    图标技术资料

    暂无技术资料 索取技术资料

    同类产品报价

    产品名称
    产品价格
    公司名称
    报价日期
    ¥1600
    北京索莱宝科技有限公司
    2025年03月21日询价
    ¥340
    卡梅德生物科技(天津)有限公司
    2025年10月14日询价
    询价
    默瑞(上海)生物科技有限公司
    2025年07月16日询价
    ¥1200
    北京百瑞极生物科技有限公司
    2025年12月16日询价
    ¥6698
    北京达科为生物技术有限公司
    2025年06月15日询价
    Anti-LMCD1 Polyclonal Antibody
    ¥960