相关产品推荐更多 >
万千商家帮你免费找货
0 人在求购买到急需产品
- 详细信息
- 技术资料
- 免疫原:
A synthetic peptide of human RASD1
- 亚型:
IgG
- 保存条件:
Store at -20°C. Avoid freeze / thaw cycles.
- 供应商:
北京索莱宝科技有限公司
- 宿主:
Rabbit
- 应用范围:
WB IHC
- 靶点:
RASD1
- 规格:
50ul
Anti-RASD1 Polyclonal Antibody
产品简介
备注:
以上数据均来自公开文献, Solarbio暂未进行独立验证, 仅供参考。
These protocols are for reference only. Solarbio does not independently validate these methods.
实验图
Western blot analysis with RASD1 antibody diluted at 1:2000;Lane: HepG2
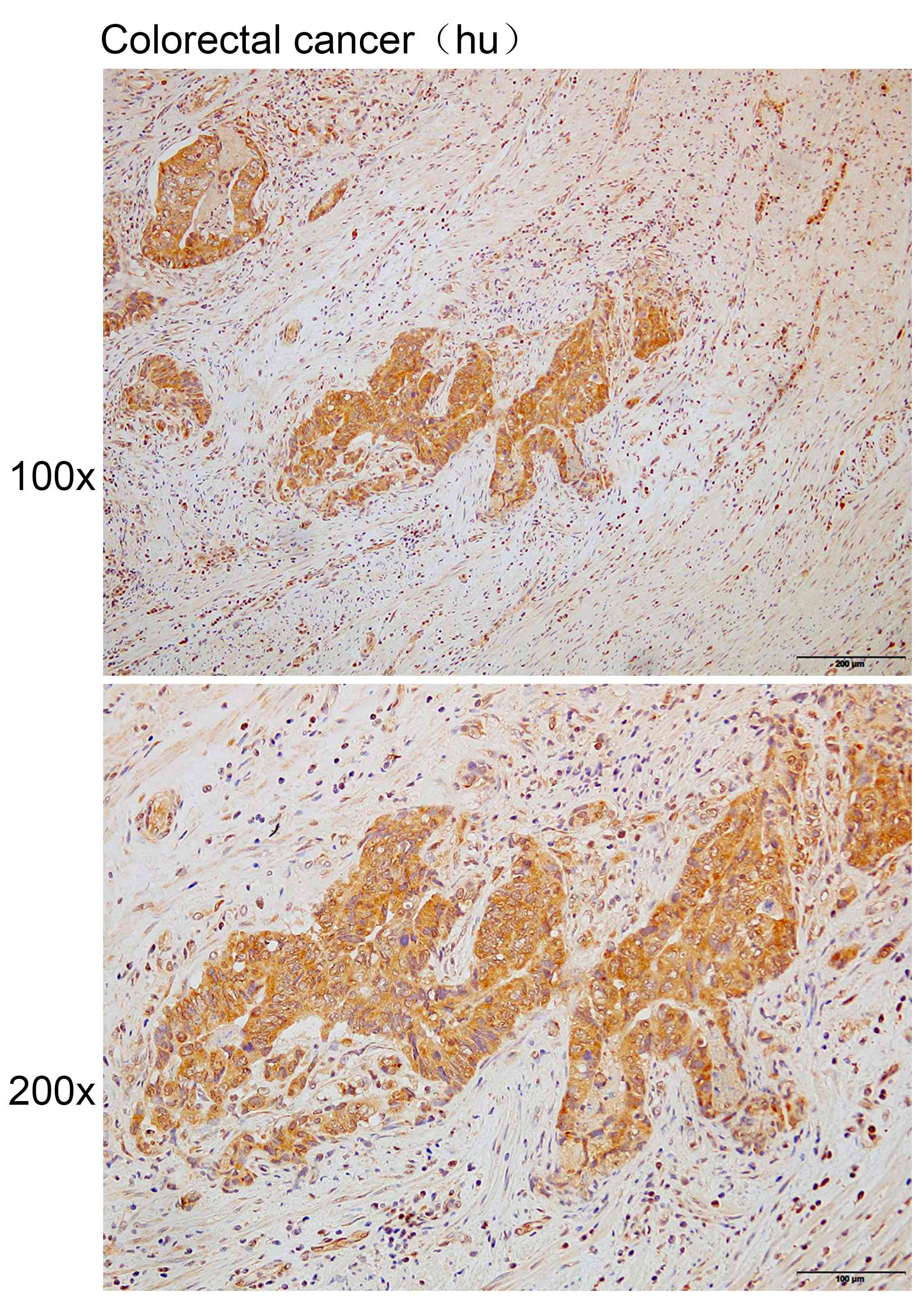
Immunohistochemistry of paraffin-embedded Human colorectal cancer using RASD1 antibody diluted at 1:100
产品简介
| 英文名称 | Anti-RASD1 Polyclonal Antibody |
| 别名 | RASD1;AGS1;DEXRAS1;MGC:26290 |
| 宿主 | Rabbit |
| 稀释比例 | WB 1:1000-3000. IHC 1:50-200. |
| Gene ID | 51655 |
| 保存 | Store at -20°C. Avoid freeze / thaw cycles. |
| Swiss Prot | Q9Y272 |
| 蛋白分子量 | 14/32kDa |
| 储存液 | Buffer: PBS with 0.03% Proclin300, 50% glycerol, pH7.3. |
| 亚细胞定位 | Cytoplasm? Nucleus |
| 免疫原 | A synthetic peptide of human RASD1 |
| 亚型 | IgG |
| 纯化方法 | Affinity purification |
| 背景资料 | This gene encodes a member of the Ras superfamily of small GTPases and is induced by dexamethasone. The encoded protein is an activator of G-protein signaling and acts as a direct nucleotide exchange factor for Gi-Go proteins. This protein interacts with the neuronal nitric oxide adaptor protein CAPON, and a nuclear adaptor protein FE65, which interacts with the Alzheimer's disease amyloid precursor protein. This gene may play a role in dexamethasone-induced alterations in cell morphology, growth and cell-extracellular matrix interactions. Epigenetic inactivation of this gene is closely correlated with resistance to dexamethasone in multiple myeloma cells. Alternatively spliced transcript variants encoding different isoforms have been found for this gene. |
| Public Immunogen Range | 110-160/281aa |
| 克隆类型 | Polyclonal Antibody |
| 交叉反应 | Human Rat Mouse |
| 应用 | WB IHC |
| 规格 | 50ul 100ul |
备注:
以上数据均来自公开文献, Solarbio暂未进行独立验证, 仅供参考。
These protocols are for reference only. Solarbio does not independently validate these methods.
实验图
Western blot analysis with RASD1 antibody diluted at 1:2000;Lane: HepG2
Immunohistochemistry of paraffin-embedded Human colorectal cancer using RASD1 antibody diluted at 1:100
风险提示:丁香通仅作为第三方平台,为商家信息发布提供平台空间。用户咨询产品时请注意保护个人信息及财产安全,合理判断,谨慎选购商品,商家和用户对交易行为负责。对于医疗器械类产品,请先查证核实企业经营资质和医疗器械产品注册证情况。
技术资料暂无技术资料 索取技术资料
Anti-RASD1 Polyclonal Antibody
¥960







