相关产品推荐更多 >
万千商家帮你免费找货
0 人在求购买到急需产品
- 详细信息
- 文献和实验
- 技术资料
- 免疫原:
Recombinant protein of Human TUBB2C
- 亚型:
IgG
- 保存条件:
Store at -20°C. Avoid freeze / thaw cycles.
- 供应商:
北京索莱宝科技有限公司
- 宿主:
Rabbit
- 应用范围:
WB IHC
- 靶点:
TUBB2C
- 规格:
50ul
产品简介
| 英文名称 | Anti-TUBB2C Polyclonal Antibody |
| 别名 | TUBB2C |
| 宿主 | Rabbit |
| 稀释比例 | WB 1:8000-12000. IHC 1:100-300. |
| Gene ID | 10383 |
| 保存 | Store at -20°C. Avoid freeze / thaw cycles. |
| Swiss Prot | P68371 |
| 蛋白分子量 | 50kDa |
| 储存液 | Buffer: PBS with 0.03% Proclin300, 50% glycerol, pH7.3. |
| 亚细胞定位 | Cytoplasm |
| 免疫原 | Recombinant protein of Human TUBB2C |
| 亚型 | IgG |
| 纯化方法 | Affinity purification |
| 背景资料 | Tubulin is the major constituent of microtubules. It binds two moles of GTP, one at an exchangeable site on the beta chain and one at a non-exchangeable site on the alpha chain. |
| Public Immunogen Range | 1-446aa |
| 克隆类型 | Polyclonal Antibody |
| 交叉反应 | Human Rat Mouse |
| 规格 | 50ul 100ul |
备注:
以上数据均来自公开文献, Solarbio暂未进行独立验证, 仅供参考。
These protocols are for reference only. Solarbio does not independently validate these methods.
实验图
Western blot analysis with TUBB2C antibody diluted at 1:10000;Lane: Mouse brain, Rat brain
Immunohistochemistry of paraffin-embedded Human colorectal cancer with TUBB2C antibody diluted at 1:200
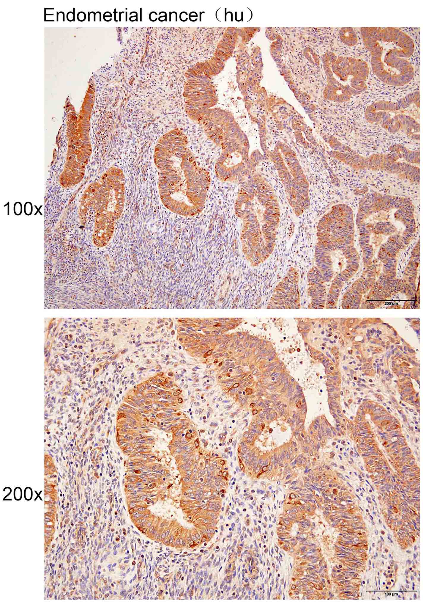
Immunohistochemistry of paraffin-embedded Human endometrial cancer with TUBB2C
风险提示:丁香通仅作为第三方平台,为商家信息发布提供平台空间。用户咨询产品时请注意保护个人信息及财产安全,合理判断,谨慎选购商品,商家和用户对交易行为负责。对于医疗器械类产品,请先查证核实企业经营资质和医疗器械产品注册证情况。
文献和实验Polyclonal Antibody Production
. If you used xylene, rinse two or three times with ethanol to remove it. Remove the rabbit from the restrainer and place in its cage. Take the collected blood and place at 37 °C for 30 minutes
Polyclonal Antibody Production
Polyclonal Antibody Production Very useful for rapid and simple generation of antibodies for western blots, ELISA assays, and immunoprecipitation. Rabbit Immunization Initial Preparation Your antigen
Construction of Polyclonal Antibody Libraries Using Phage Display
Polyclonal antibody libraries (PCALs) are standardized mixtures of antibodies (Abs) specific for an antigen (Ag) or multi-Ag target (a poly-Ag). As the immunoglobulin (Ig) genes are cloned, the mixtures can be perpetuated, amplified
技术资料暂无技术资料 索取技术资料







