相关产品推荐更多 >
万千商家帮你免费找货
0 人在求购买到急需产品
- 详细信息
- 技术资料
- 免疫原:
Recombinant protein of human SQOR
- 亚型:
IgG
- 保存条件:
Store at -20°C. Avoid freeze / thaw cycles.
- 供应商:
北京索莱宝科技有限公司
- 宿主:
Rabbit
- 应用范围:
WB IHC
- 靶点:
SQOR
- 规格:
50ul
Anti-SQOR Polyclonal Antibody
产品简介
备注:
以上数据均来自公开文献, Solarbio暂未进行独立验证, 仅供参考。
These protocols are for reference only. Solarbio does not independently validate these methods.
实验图
Western blot analysis with SQOR antibody diluted at 1:2000;Lane: HeLa,U87MG,L-02,Mouse brain,Mouse kidney
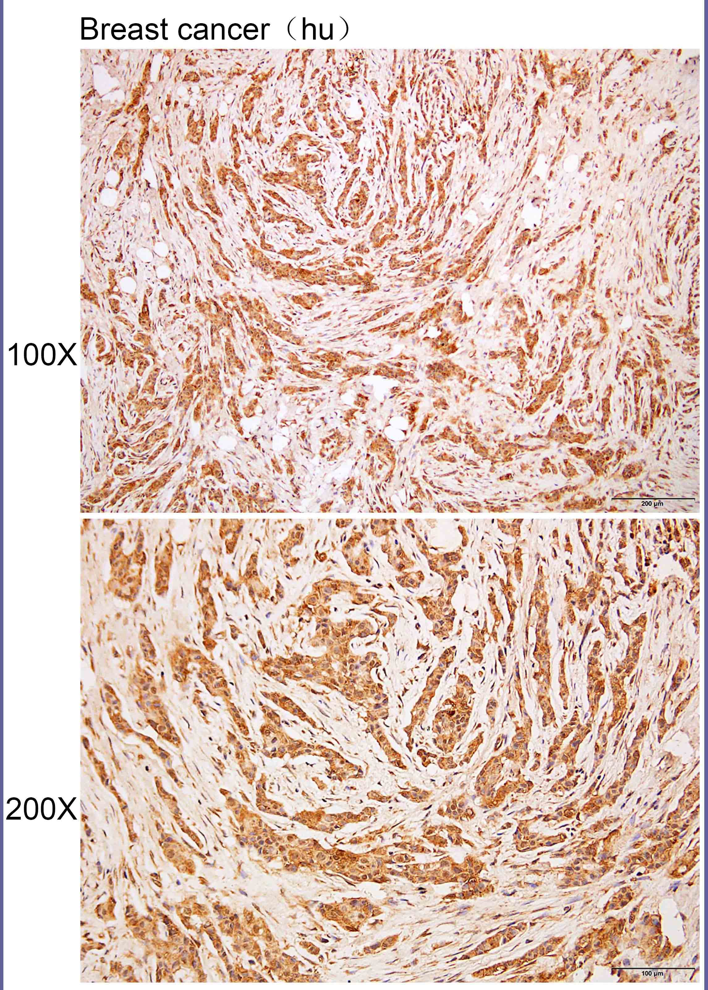
Immunohistochemistry of paraffin-embedded Human breast cancer with SQOR antibody diluted at 1:100
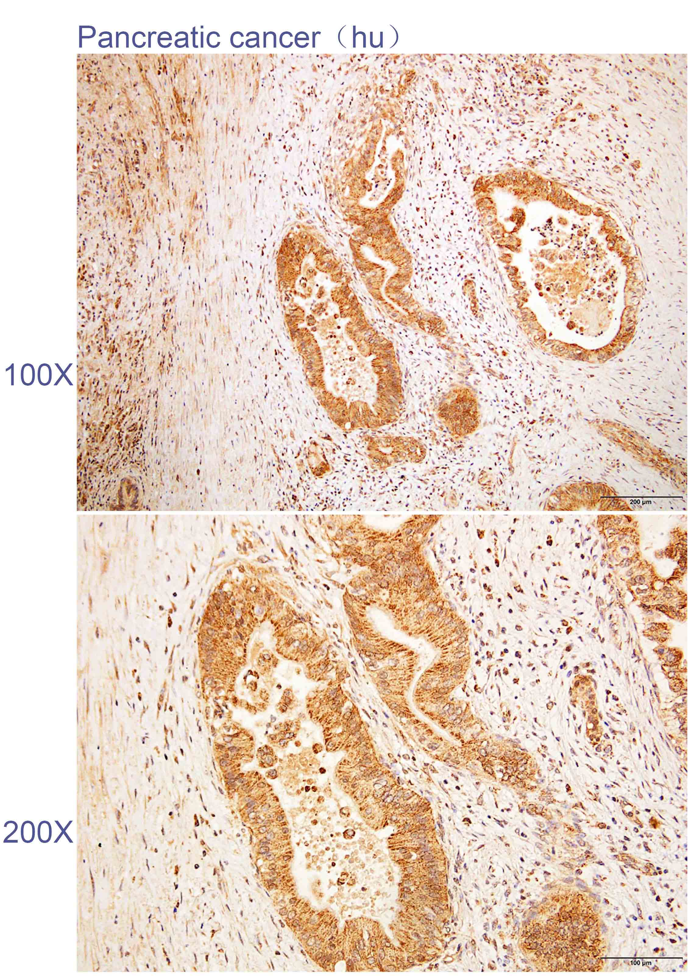
Immunohistochemistry of paraffin-embedded Human pancreatic cancer with SQOR antibody diluted at 1:100
产品简介
| 英文名称 | Anti-SQOR Polyclonal Antibody |
| 别名 | 0610039J17Rik;4930557M22Rik;CGI 44;CGI44;mitochondrial;PRO1975;SQRD_HUMAN;Sqrdl;Sulfide dehydrogenase like;Sulfide quinone reductase like;Sulfide quinone reductase-like (yeast);Sulfide:quinone oxidoreductase;Sulfide:quinone oxidoreductase;mitochondrial; |
| 宿主 | Rabbit |
| 稀释比例 | WB 1:1000-3000. IHC 1:50-200. |
| Gene ID | 58472 |
| 保存 | Store at -20°C. Avoid freeze / thaw cycles. |
| Swiss Prot | Q9Y6N5 |
| 蛋白分子量 | 50kDa |
| 储存液 | Buffer: PBS with 0.03% Proclin300, 50% glycerol, pH7.3. |
| 亚细胞定位 | Cytoplasm |
| 免疫原 | Recombinant protein of human SQOR |
| 亚型 | IgG |
| 纯化方法 | Affinity purification |
| 背景资料 | The protein encoded by this gene may function in mitochondria to catalyze the conversion of sulfide to persulfides, thereby decreasing toxic concencrations of sulfide. Alternative splicing results in multiple transcript variants that encode the same protein. |
| Public Immunogen Range | 103-450aa |
| 克隆类型 | Polyclonal Antibody |
| 交叉反应 | Human Rat Mouse |
| 应用 | WB IHC |
| 规格 | 50ul 100ul |
备注:
以上数据均来自公开文献, Solarbio暂未进行独立验证, 仅供参考。
These protocols are for reference only. Solarbio does not independently validate these methods.
实验图
Western blot analysis with SQOR antibody diluted at 1:2000;Lane: HeLa,U87MG,L-02,Mouse brain,Mouse kidney
Immunohistochemistry of paraffin-embedded Human breast cancer with SQOR antibody diluted at 1:100
Immunohistochemistry of paraffin-embedded Human pancreatic cancer with SQOR antibody diluted at 1:100
风险提示:丁香通仅作为第三方平台,为商家信息发布提供平台空间。用户咨询产品时请注意保护个人信息及财产安全,合理判断,谨慎选购商品,商家和用户对交易行为负责。对于医疗器械类产品,请先查证核实企业经营资质和医疗器械产品注册证情况。
技术资料暂无技术资料 索取技术资料
Anti-SQOR Polyclonal Antibody
¥960








