相关产品推荐更多 >
万千商家帮你免费找货
0 人在求购买到急需产品
- 详细信息
- 技术资料
- 免疫原:
Recombinant protein of human TMEM30A
- 亚型:
IgG
- 保存条件:
Store at -20°C. Avoid freeze / thaw cycles.
- 供应商:
北京索莱宝科技有限公司
- 宿主:
Rabbit
- 应用范围:
WB IHC
- 靶点:
TMEM30A
- 规格:
50ul
Anti-TMEM30A Polyclonal Antibody
产品简介
备注:
以上数据均来自公开文献, Solarbio暂未进行独立验证, 仅供参考。
These protocols are for reference only. Solarbio does not independently validate these methods.
实验图
Western blot analysis with TMEM30A antibody diluted at 1:1000;Lane: HepG2,HeLa,U251
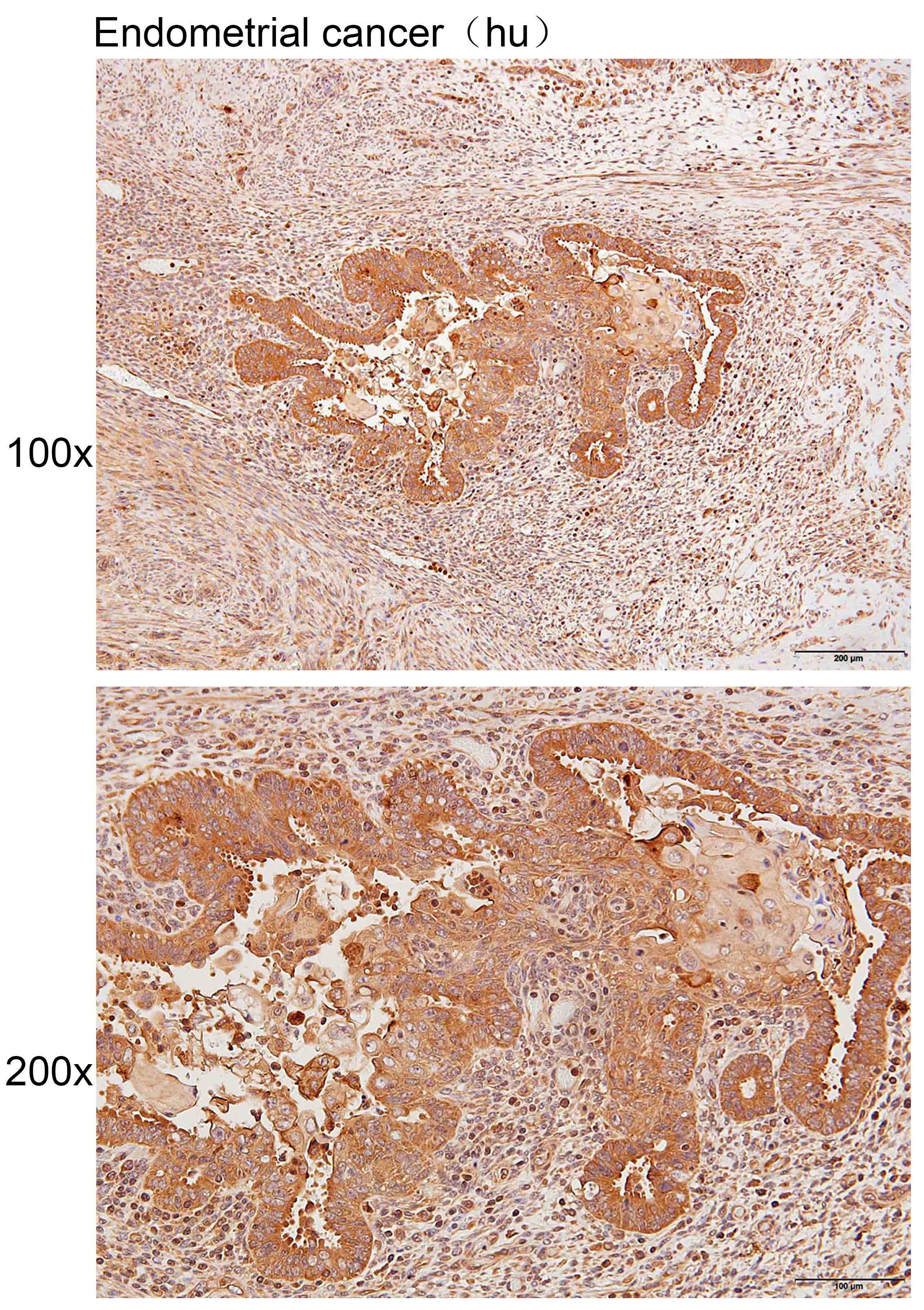
Immunohistochemistry of paraffin-embedded Human endometrial cancer with TMEM30A
产品简介
| 英文名称 | Anti-TMEM30A Polyclonal Antibody |
| 别名 | C6orf67;CDC50A;Cell cycle control protein 50A;FLJ10856;P4 ATPase flippase complex beta subunit TMEM30A;TMEM30A; |
| 宿主 | Rabbit |
| 稀释比例 | WB 1:500-2000. IHC 1:25-100. |
| Gene ID | 55754 |
| 保存 | Store at -20°C. Avoid freeze / thaw cycles. |
| Swiss Prot | Q9NV96 |
| 蛋白分子量 | 28/37/41kDa |
| 储存液 | Buffer: PBS with 0.03% Proclin300, 50% glycerol, pH7.3. |
| 亚细胞定位 | Cytoplasm |
| 免疫原 | Recombinant protein of human TMEM30A |
| 亚型 | IgG |
| 纯化方法 | Affinity purification |
| 背景资料 | Accessory component of a P4-ATPase flippase complex which catalyzes the hydrolysis of ATP coupled to the transport of aminophospholipids from the outer to the inner leaflet of various membranes and ensures the maintenance of asymmetric distribution of phospholipids. Phospholipid translocation seems also to be implicated in vesicle formation and in uptake of lipid signaling molecules. The beta subunit may assist in binding of the phospholipid substrate. Required for the proper folding, assembly and ER to Golgi exit of the ATP8A2:TMEM30A flippase complex. ATP8A2:TMEM30A may be involved in regulation of neurite outgrowth, and, reconstituted to liposomes, predomiminantly transports phosphatidylserine (PS) and to a lesser extent phosphatidylethanolamine (PE). The ATP8A1:TMEM30A flippase complex seems to play a role in regulation of cell migration probably involving flippase-mediated translocation of phosphatidylethanolamine (PE) at the plasma membrane. Required for the formation of the ATP8A2, ATP8B1 and ATP8B2 P-type ATPAse intermediate phosphoenzymes. Involved in uptake of platelet-activating factor (PAF), synthetic drug alkylphospholipid edelfosine, and, probably in association with ATP8B1, of perifosine. Also mediates the export of alpha subunits ATP8A1, ATP8B1, ATP8B2, ATP8B4, ATP10A, ATP10B, ATP10D, ATP11A, ATP11B and ATP11C from the ER to other membrane localizations. |
| Public Immunogen Range | 1-326aa |
| 克隆类型 | Polyclonal Antibody |
| 交叉反应 | Human Rat Mouse |
| 应用 | WB IHC |
| 规格 | 50ul 100ul |
备注:
以上数据均来自公开文献, Solarbio暂未进行独立验证, 仅供参考。
These protocols are for reference only. Solarbio does not independently validate these methods.
实验图
Western blot analysis with TMEM30A antibody diluted at 1:1000;Lane: HepG2,HeLa,U251
Immunohistochemistry of paraffin-embedded Human endometrial cancer with TMEM30A
风险提示:丁香通仅作为第三方平台,为商家信息发布提供平台空间。用户咨询产品时请注意保护个人信息及财产安全,合理判断,谨慎选购商品,商家和用户对交易行为负责。对于医疗器械类产品,请先查证核实企业经营资质和医疗器械产品注册证情况。
技术资料暂无技术资料 索取技术资料
Anti-TMEM30A Polyclonal Antibody
¥960







