相关产品推荐更多 >
万千商家帮你免费找货
0 人在求购买到急需产品
- 详细信息
- 技术资料
- 免疫原:
A synthetic peptide of human SLC8B1
- 亚型:
IgG
- 保存条件:
Store at -20°C. Avoid freeze / thaw cycles.
- 供应商:
北京索莱宝科技有限公司
- 宿主:
Rabbit
- 应用范围:
IHC
- 靶点:
SLC8B1
- 规格:
50ul
Anti-SLC8B1 Polyclonal Antibody
产品简介
备注:
以上数据均来自公开文献, Solarbio暂未进行独立验证, 仅供参考。
These protocols are for reference only. Solarbio does not independently validate these methods.
实验图
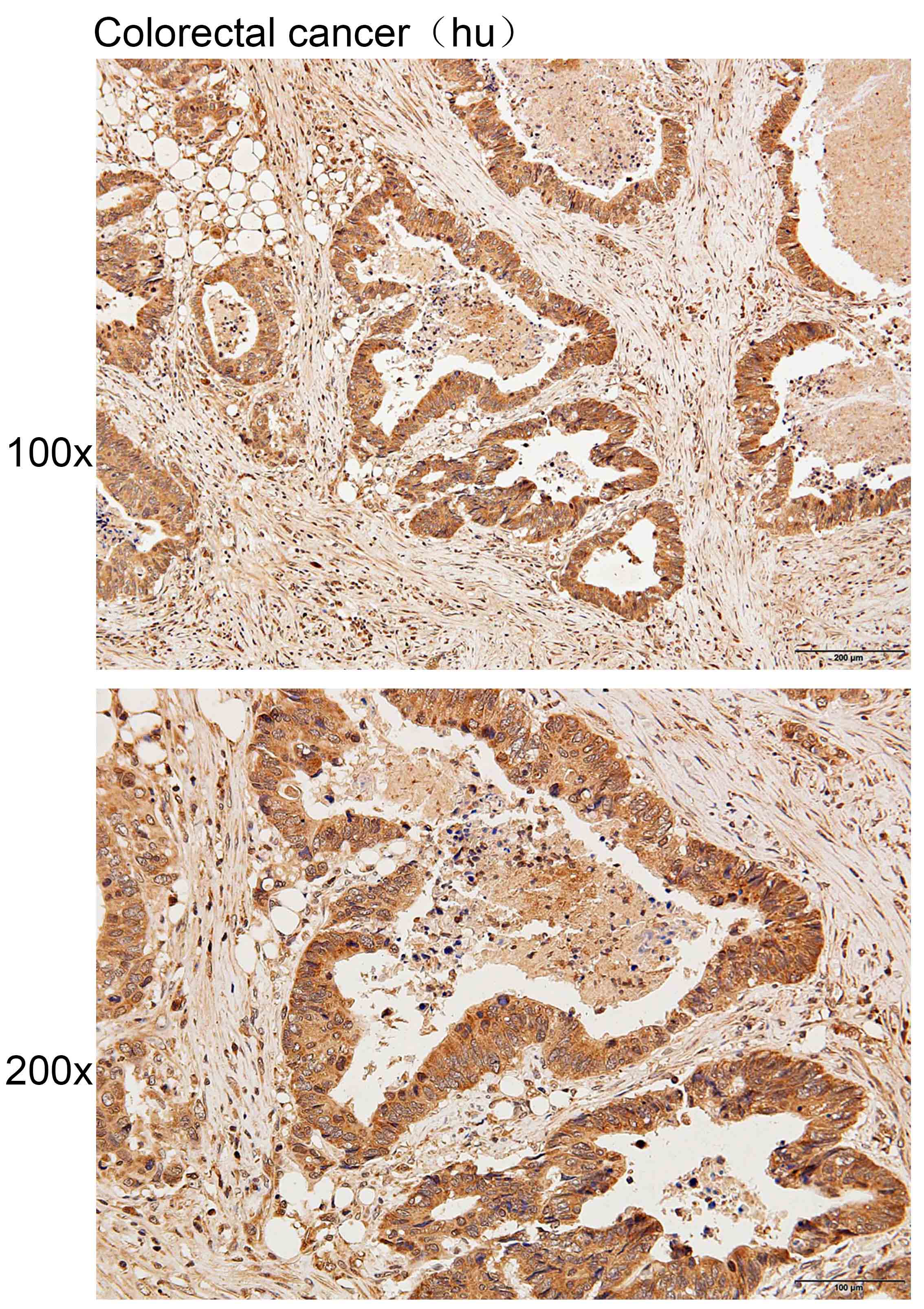
Immunohistochemistry of paraffin-embedded Human colorrectal cancer with SLC8B1 antibody diluted at 1:80
产品简介
| 英文名称 | Anti-SLC8B1 Polyclonal Antibody |
| 别名 | NCKX6;NCLX;SLC24A6 |
| 宿主 | Rabbit |
| 稀释比例 | IHC 1:50-200. |
| Gene ID | 80024 |
| 保存 | Store at -20°C. Avoid freeze / thaw cycles. |
| Swiss Prot | Q6J4K2 |
| 蛋白分子量 | 58/64kDa |
| 储存液 | Buffer: PBS with 0.03% Proclin300, 50% glycerol, pH7.3. |
| 亚细胞定位 | Cytoplasm |
| 免疫原 | A synthetic peptide of human SLC8B1 |
| 亚型 | IgG |
| 纯化方法 | Affinity purification |
| 背景资料 | Mitochondrial sodium/calcium antiporter that mediates sodium-dependent calcium efflux from mitochondrion, by mediating the exchange of 3 sodium ions per 1 calcium ion (PubMed:20018762, PubMed:22829870, PubMed:23056385, PubMed:24898248, PubMed:28219928). Plays a central role in mitochondrial calcium homeostasis by mediating mitochondrial calcium extrusion: calcium efflux is essential for mitochondrial function and cell survival, notably in cardiomyocytes (By similarity). Regulates rates of glucose-dependent insulin secretion in pancreatic beta-cells during the first phase of insulin secretion: acts by mediating efflux of calcium from mitochondrion, thereby affecting cytoplasmic calcium responses (PubMed:23056385). Required for store-operated Ca2+?entry (SOCE) and Ca2+?release-activated Ca2+?(CRAC) channel regulation: sodium transport by SLC8B1 leads to promote calcium-shuttling that modulates mitochondrial redox status, thereby regulating SOCE activity (PubMed:28219928). Involved in B-lymphocyte chemotaxis (By similarity). Able to transport Ca2+?in exchange of either Li+?or Na+, explaining how Li+?catalyzes Ca2+?exchange (PubMed:15060069). In contrast to other members of the family its function is independent of K+?(PubMed:15060069). |
| Public Immunogen Range | 25-75/584aa |
| 克隆类型 | Polyclonal Antibody |
| 交叉反应 | Human |
| 应用 | IHC |
| 规格 | 50ul 100ul |
备注:
以上数据均来自公开文献, Solarbio暂未进行独立验证, 仅供参考。
These protocols are for reference only. Solarbio does not independently validate these methods.
实验图
Immunohistochemistry of paraffin-embedded Human colorrectal cancer with SLC8B1 antibody diluted at 1:80
风险提示:丁香通仅作为第三方平台,为商家信息发布提供平台空间。用户咨询产品时请注意保护个人信息及财产安全,合理判断,谨慎选购商品,商家和用户对交易行为负责。对于医疗器械类产品,请先查证核实企业经营资质和医疗器械产品注册证情况。
技术资料暂无技术资料 索取技术资料
Anti-SLC8B1 Polyclonal Antibody
¥960







