相关产品推荐更多 >
万千商家帮你免费找货
0 人在求购买到急需产品
- 详细信息
- 文献和实验
- 技术资料
- 免疫原:
A synthetic peptide of human AASDHPPT
- 亚型:
IgG
- 保存条件:
Store at -20°C. Avoid freeze / thaw cycles.
- 供应商:
北京索莱宝科技有限公司
- 宿主:
Rabbit
- 应用范围:
IHC
- 靶点:
AASDHPPT
- 规格:
50ul
产品简介
| 英文名称 | Anti-AASDHPPT Polyclonal Antibody |
| 别名 | AASD-PPT;AASDHPPT;CGI-80;HAH-P;HSPC223;x0005 |
| 宿主 | Rabbit |
| 稀释比例 | IHC 1:50-200. |
| Gene ID | 60496 |
| 保存 | Store at -20°C. Avoid freeze / thaw cycles. |
| Swiss Prot | Q9NRN7 |
| 蛋白分子量 | 36/16kDa |
| 储存液 | Buffer: PBS with 0.03% Proclin300, 50% glycerol, pH7.3. |
| 亚细胞定位 | Cytoplasm |
| 免疫原 | A synthetic peptide of human AASDHPPT |
| 亚型 | IgG |
| 纯化方法 | Octanoic acid-ammonium sulfate precipitation |
| 背景资料 | Catalyzes the post-translational modification of target proteins by phosphopantetheine. Can transfer the 4'-phosphopantetheine moiety from coenzyme A to a serine residue of a broad range of acceptors, such as the acyl carrier domain of FASN. |
| Public Immunogen Range | 240-290/309aa |
| 克隆类型 | Polyclonal Antibody |
| 交叉反应 | Human Rat Mouse |
| 应用 | IHC |
| 规格 | 50ul 100ul |
备注:
以上数据均来自公开文献, Solarbio暂未进行独立验证, 仅供参考。
These protocols are for reference only. Solarbio does not independently validate these methods.
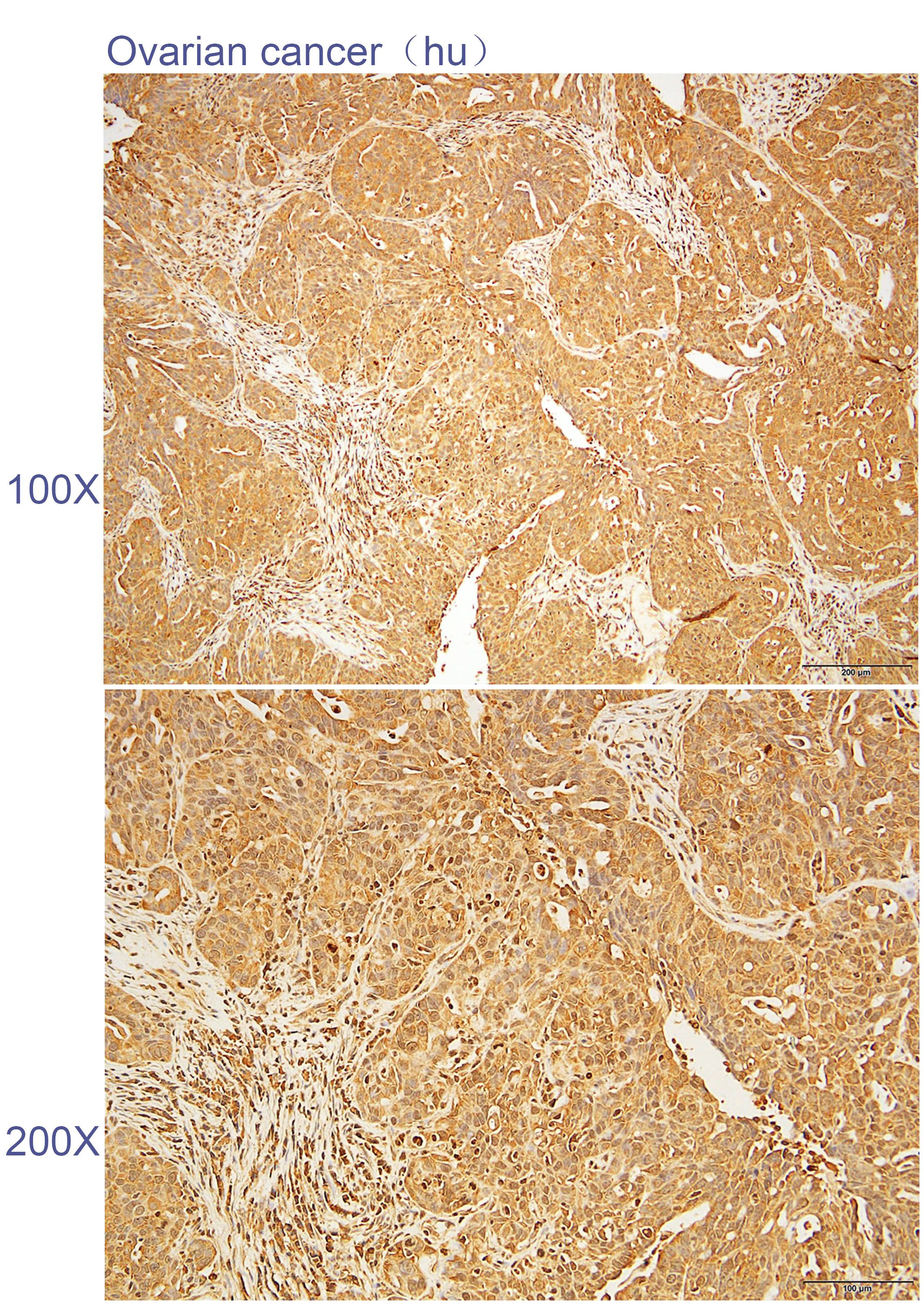
实验图
Immunohistochemistry of paraffin-embedded Human ovarian cancer with AASDHPPT antibody
风险提示:丁香通仅作为第三方平台,为商家信息发布提供平台空间。用户咨询产品时请注意保护个人信息及财产安全,合理判断,谨慎选购商品,商家和用户对交易行为负责。对于医疗器械类产品,请先查证核实企业经营资质和医疗器械产品注册证情况。
文献和实验Polyclonal Antibody Production
, if desired this is best accomplished by Protein A Affinity Chromatography. 上一篇:make an Antibody against a Peptides 下一篇:Immunization Protocol for Monoclonal Antibody Production
Polyclonal Antibody Production
Polyclonal Antibody Production Very useful for rapid and simple generation of antibodies for western blots, ELISA assays, and immunoprecipitation. Rabbit Immunization Initial Preparation Your antigen
a simple ELISA method to detect human anti-antibody response.
技术资料暂无技术资料 索取技术资料







