相关产品推荐更多 >
万千商家帮你免费找货
0 人在求购买到急需产品
- 详细信息
- 技术资料
- 免疫原:
Recombinant protein of human SLC3A1
- 亚型:
IgG
- 形态:
液体
- 保存条件:
Store at -20°C. Avoid freeze / thaw cycles.
- 克隆性:
单克隆
- 标记物:
详询
- 适应物种:
Human;Mouse;Rat
- 保质期:
现询
- 抗原来源:
详询
- 目录编号:
K111347P
- 级别:
现询
- 库存:
999
- 供应商:
北京索莱宝科技有限公司
- 宿主:
Rabbit
- 应用范围:
WB;IHC
- 浓度:
现询
- 靶点:
SLC3A1
- 抗体英文名:
Anti-SLC3A1 Polyclonal Antibody
- 抗体名:
中性和碱性氨基酸转运蛋白rBAT抗体
- 规格:
100ul/50ul
| 规格: | 100ul | 产品价格: | ¥1600.0 |
|---|---|---|---|
| 规格: | 50ul | 产品价格: | ¥960.0 |
产品简介
|
英文名称
|
Anti-SLC3A1 Polyclonal Antibody
|
|
中文名称
|
中性和碱性氨基酸转运蛋白rBAT抗体
|
|
靶标
|
SLC3A1
|
|
别名
|
SLC3A1;ATR1;CSNU1;D2H;NBAT;RBAT
|
|
背景资料
|
This gene encodes a type II membrane glycoprotein which is one of the components of the renal amino acid transporter which transports neutral and basic amino acids in the renal tubule and intestinal tract. Mutations and deletions in this gene are associated with cystinuria. Alternatively spliced transcript variants have been described, but their biological validity has not been determined.
|
|
Swiss Prot
|
Q07837
|
|
Gene ID
|
6519
|
|
亚细胞定位
|
Secreted
|
|
宿主
|
Rabbit
|
|
克隆类型
|
Polyclonal Antibody
|
|
亚型
|
IgG
|
|
交叉反应
|
Human;Mouse;Rat
|
|
蛋白分子量
|
36/45/47/58/63/65/79kDa
|
|
应用
|
IHC ; WB
|
|
稀释比例
|
WB 1:1000-3000.;IHC 1:100-300.
|
|
免疫原
|
Recombinant protein of human SLC3A1
|
|
Public Immunogen Range
|
247-501aa
|
|
纯化方法
|
Affinity purification
|
|
储存液
|
Buffer: PBS with 50% Glycerol, 0.03% Proclin300, 0.5% BSA, pH 7.3.
|
|
保存
|
Store at -20°C. Avoid freeze / thaw cycles.
|
|
规格
|
50ul ; 100ul
|
|
单位
|
支
|
以上数据均来自公开文献, Solarbio暂未进行独立验证, 仅供参考。
These protocols are for reference only. Solarbio does not independently validate these methods.
使用前请离心。如有问题请及时联系我们。
Quick spin before use. If you have any questions, please contact us.
实验图
Western blot analysis with SLC3A1 antibody diluted at 1:2000;Lane: HepG2,293T,HeLa,HT29.
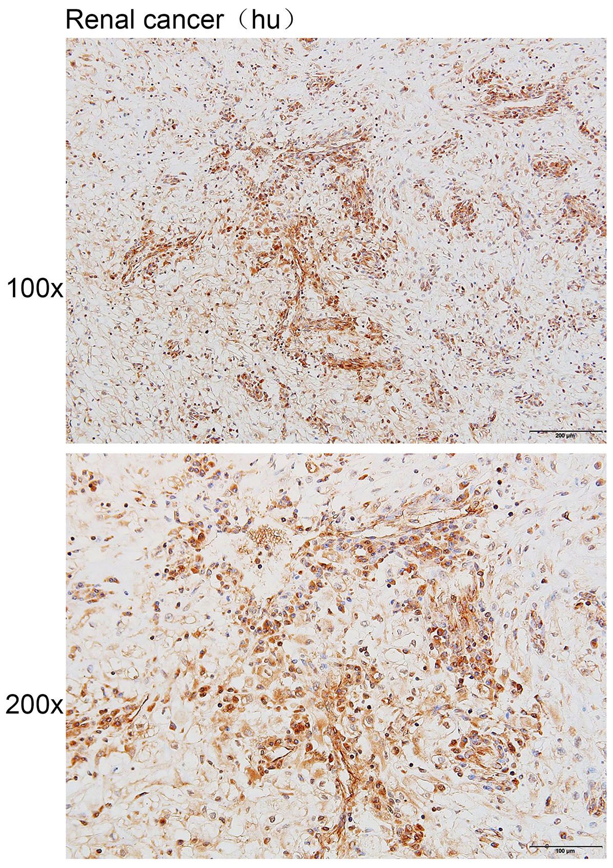
Immunohistochemistry of paraffin-embedded Human renal cancer with SLC3A1 antibody diluted at 1:100.
风险提示:丁香通仅作为第三方平台,为商家信息发布提供平台空间。用户咨询产品时请注意保护个人信息及财产安全,合理判断,谨慎选购商品,商家和用户对交易行为负责。对于医疗器械类产品,请先查证核实企业经营资质和医疗器械产品注册证情况。
Anti-SLC3A1 Polyclonal Antibody
¥960 - 1600








