Anti-ATMIN Polyclonal Antibody

Anti-ATMIN Polyclonal Antibody

收藏
  • ¥960 - 1600
  • Solarbio已认证
  • 北京
  • 2025年07月13日
  • WB
  • Rabbit
  • Human ; Rat ; Mouse
avatar
品牌商
13钻石会员
  • 企业认证

    点击 QQ 联系

    • 详细信息
    • 技术资料
    • 免疫原

      Recombinant protein of human ATG5

    • 亚型

      IgG

    • 形态

      液体/冻干粉

    • 保存条件

      Store at -20°C. Avoid freeze / thaw cycles.

    • 克隆性

      多克隆

    • 标记物

      Biotin,Cy3,Cy3.5,Cy5,Cy5.5,Cy7,FITC,HRP,RBITC,SAlexa Fluor 350,SAlexa Fluor 405,SAlexa Fluor 488,SAlexa Fluor 532,SAlexa Fluor 555,SAlexa Fluor 568,SAlexa Fluor 594,SAlexa Fluor 633,SAlexa Fluor 640,SAlexa Fluor 647,SAlexa Fluor 660,SAlexa Fluor 680,SAlexa Fluor 750

    • 适应物种

      Human ; Rat ; Mouse

    • 保质期

      1-3年

    • 抗原来源

      Recombinant protein of human ATG5

    • 目录编号

      23300

    • 级别

      科研级别

    • 库存

      999

    • 供应商

      北京索莱宝科技有限公司

    • 宿主

      Rabbit

    • 应用范围

      WB

    • 浓度

      WB 1:2000-5000.

    • 靶点

      ATMIN

    • 抗体英文名

      Anti-ATMIN Polyclonal Antibody

    • 抗体名

      ATM交互蛋白抗体

    • 规格

      100ul/50ul

    规格:100ul产品价格:¥1600.0
    规格:50ul产品价格:¥960.0

    Transcription factor. Plays a crucial role in cell survival and RAD51 foci formation in response to methylating DNA damage. Involved in regulating the activity of ATM in the ab sence of DNA damage. May play a role in stabilizing ATM. Binds to the DYNLL1 promoter and activates its transcription.

    Anti-ATMIN Polyclonal Antibody
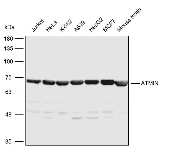
    Western blot analysis with ATMIN antibody diluted at 1:3000;Lane: Jurkat,HeLa,K562,A549,HepG2,MCF7,Mouse testis

    风险提示:丁香通仅作为第三方平台,为商家信息发布提供平台空间。用户咨询产品时请注意保护个人信息及财产安全,合理判断,谨慎选购商品,商家和用户对交易行为负责。对于医疗器械类产品,请先查证核实企业经营资质和医疗器械产品注册证情况。

    图标技术资料

    需要更多技术资料 索取更多技术资料

    资料下载:

    同类产品报价

    产品名称
    产品价格
    公司名称
    报价日期
    ¥960
    北京索莱宝科技有限公司
    2025年06月02日询价
    ¥1175
    北京达科为生物技术有限公司
    2023年12月26日询价
    询价
    默瑞(上海)生物科技有限公司
    2025年07月16日询价
    ¥340
    卡梅德生物科技(天津)有限公司
    2025年10月14日询价
    ¥1200
    北京百瑞极生物科技有限公司
    2025年12月16日询价
    Anti-ATMIN Polyclonal Antibody
    ¥960 - 1600