相关产品推荐更多 >
万千商家帮你免费找货
0 人在求购买到急需产品
- 详细信息
- 技术资料
- 品系:
/
- 细胞类型:
细胞系
- 肿瘤类型:
/
- 供应商:
优利科(上海)生命科学有限公司
- 库存:
100
- 英文名:
PC-3; PC.3
- 生长状态:
贴壁生长
- 年限:
永久
- 运输方式:
快递形式
- 器官来源:
/
- 是否是肿瘤细胞:
/
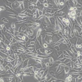
- 细胞形态:
上皮细胞样
- 免疫类型:
/
- 物种来源:
人
- 相关疾病:
/
- 组织来源:
/
- 规格:
1×10⁶cells/T25培养瓶
PC3人前列腺癌细胞(带STR鉴定)详细描述
细胞英文名称:PC-3; PC.3
细胞中文名称:PC3人前列腺癌细胞(带STR鉴定)



STR位点信息
1、 细胞传代:
1)细胞生长至覆盖培养瓶的 80%面积时,弃 25cm2 培养瓶中的培养液,用 PBS 清洗细胞一次;
2)添加 0.25%胰蛋白酶消化液约 1ml 至培养瓶中,倒置显微镜下观察,待细胞回缩变圆后加入 5ml 完全培养
液终止消化,再轻轻吹打细胞使之脱落,然后将悬液转移至 15ml 离心管中, 1000rpm 离心 5min;
3)弃上清,沉淀细胞用 1-2ml 完全培养基重悬,然后按 1:2 比例进行分瓶传代,最后放入 37℃, 5%CO2 细胞
培养箱中培养;
2、 细胞冻存:
1)细胞生长至覆盖培养瓶的 80%面积时,弃 25cm2 培养瓶中的培养液,用 PBS 清洗细胞一次;
2)添加 0.25%胰蛋白酶消化液约 1ml 至培养瓶中,倒置显微镜下观察,待细胞回缩变圆后加入完全培养液终
止消化,轻轻吹打细胞使之脱落,然后将悬液转移至 15ml 离心管中, 1000rpm 离心 5min;
3)用适量的冻存液(FBS: DMSO=9 : 1)重悬细胞,并放置于冻存管中;
4)先将细胞冻存管放置于-20℃ 1.5h,然后将其移入-80℃过夜, 24h 后转入液氮中进行长期保存。使用程序
降温盒可直接放入-80℃。
3、细胞复苏:
1)从液氮中取出细胞冻存管(注意:佩戴防爆管面具),快速将其置入 37℃水浴中解冻,直至冻存管中无结
晶,然后用 75%的酒精擦拭冻存管外壁;
2)将冻存管中的细胞移至含 6ml 完全培养基的 15ml 离心管中, 1000rpm 离心 5min;
3)弃上清,沉淀用 6ml 完全培养基重悬,接种 25cm2 培养瓶,于 37℃, 5%CO2 细胞培养箱中培养


PC3人前列腺癌细胞(带STR鉴定)收到后处理
细胞在培养瓶中培养至良好状态后灌满完全培养液并封好瓶口是细胞运输的最好办法。收到细胞回到自己的实验室后,先打开外包装,用75%酒精喷洒整个瓶消毒后放到超净台内,严格无菌操作。镜下观察:未超过80%汇合度时,可将瓶装的完全培养液移入废液缸中,悬浮细胞需离心处理,加入6ml新鲜完全培养基,放入37℃、5%CO2孵箱培养;超过80%汇合度时,根据情况传代或者冻存,具体操作见细胞培养步骤说明书。
细胞英文名称:PC-3; PC.3
细胞中文名称:PC3人前列腺癌细胞(带STR鉴定)
| 名称 | PC-3 (人前列腺癌细胞) (STR鉴定正确) |
| 别称 | PC3; PC.3 |
| 种属 | 人类 |
| 年龄(性别) | 男性,62岁 |
| 组织来源 | 前列腺;骨腺癌转移灶 |
| 生长特性 | 贴壁细胞 |
| 细胞形态 | 上皮细胞样 |
| 背景描述 | PC-3细胞源于一位62岁白人男性Ⅳ级前列腺腺癌患者的骨头转移灶;PC-3细胞的酸性磷酸酶活性和5-α-睾丸激素还原酶活性都低。 |
| 生长培养基 | Ham's F-12K+10% FBS+1% P/S |
| 推荐传代比例 | 1:3-1:4 |
| 推荐换液频率 | 2~3次/周 |
| 倍增时间 | ~25-50小时 |
| 冻存条件 | 冻存液:55% 基础培养基+40%FBS+5%DMSO温度:液氮 |
| 培养条件 | 气相:空气,95%;CO2,5%温度:37℃ |
| 致瘤性 | Yes, in semi-solid medium. Yes, tumors developed within 21 days at 100% frequency (5/5) in nude mice inoculated subcutaneously with 1×10^7 cells. |
| 抗原表达情况 | HLA A1, A9 |
| 基因表达情况 | HLA A1, A9 |
| 保藏机构 | ATCC; CRL-1435 ATCC; CRL-7934 DSMZ; ACC-465 ECACC; 90112714 |



STR位点信息
| Amelogenin | X | D21S11 | 29,31.2 |
| CSF1PO | 11 | FGA | 24 |
| D2S1338 | 18,20 | PentaD | 9 |
| D3S1358 | 16,16 | PentaE | 10,17 |
| D5S818 | 13 | TH01 | 6,7 |
| D7S820 | 8,11 | TPOX | 8,9 |
| D8S1179 | 13 | vWA | 17 |
| D13S317 | 11 | D6S1043 | 18 |
| D16S539 | 11 | D12S391 | 21 |
| D18S51 | 14,15 | D2S441 | 10,11 |
| D19S433 | 14 |
1、 细胞传代:
1)细胞生长至覆盖培养瓶的 80%面积时,弃 25cm2 培养瓶中的培养液,用 PBS 清洗细胞一次;
2)添加 0.25%胰蛋白酶消化液约 1ml 至培养瓶中,倒置显微镜下观察,待细胞回缩变圆后加入 5ml 完全培养
液终止消化,再轻轻吹打细胞使之脱落,然后将悬液转移至 15ml 离心管中, 1000rpm 离心 5min;
3)弃上清,沉淀细胞用 1-2ml 完全培养基重悬,然后按 1:2 比例进行分瓶传代,最后放入 37℃, 5%CO2 细胞
培养箱中培养;
2、 细胞冻存:
1)细胞生长至覆盖培养瓶的 80%面积时,弃 25cm2 培养瓶中的培养液,用 PBS 清洗细胞一次;
2)添加 0.25%胰蛋白酶消化液约 1ml 至培养瓶中,倒置显微镜下观察,待细胞回缩变圆后加入完全培养液终
止消化,轻轻吹打细胞使之脱落,然后将悬液转移至 15ml 离心管中, 1000rpm 离心 5min;
3)用适量的冻存液(FBS: DMSO=9 : 1)重悬细胞,并放置于冻存管中;
4)先将细胞冻存管放置于-20℃ 1.5h,然后将其移入-80℃过夜, 24h 后转入液氮中进行长期保存。使用程序
降温盒可直接放入-80℃。
3、细胞复苏:
1)从液氮中取出细胞冻存管(注意:佩戴防爆管面具),快速将其置入 37℃水浴中解冻,直至冻存管中无结
晶,然后用 75%的酒精擦拭冻存管外壁;
2)将冻存管中的细胞移至含 6ml 完全培养基的 15ml 离心管中, 1000rpm 离心 5min;
3)弃上清,沉淀用 6ml 完全培养基重悬,接种 25cm2 培养瓶,于 37℃, 5%CO2 细胞培养箱中培养


PC3人前列腺癌细胞(带STR鉴定)收到后处理
细胞在培养瓶中培养至良好状态后灌满完全培养液并封好瓶口是细胞运输的最好办法。收到细胞回到自己的实验室后,先打开外包装,用75%酒精喷洒整个瓶消毒后放到超净台内,严格无菌操作。镜下观察:未超过80%汇合度时,可将瓶装的完全培养液移入废液缸中,悬浮细胞需离心处理,加入6ml新鲜完全培养基,放入37℃、5%CO2孵箱培养;超过80%汇合度时,根据情况传代或者冻存,具体操作见细胞培养步骤说明书。
风险提示:丁香通仅作为第三方平台,为商家信息发布提供平台空间。用户咨询产品时请注意保护个人信息及财产安全,合理判断,谨慎选购商品,商家和用户对交易行为负责。对于医疗器械类产品,请先查证核实企业经营资质和医疗器械产品注册证情况。
PC3人前列腺癌细胞(带STR鉴定)
¥1300










