相关产品推荐更多 >
万千商家帮你免费找货
0 人在求购买到急需产品
- 详细信息
- 询价记录
- 文献和实验
- 技术资料
- 英文名:
HUH7-Lenvatinib
- 库存:
100
- 组织来源:
肝脏(Liver)
- 相关疾病:
肝细胞癌(Hepatocellular carcinoma)
- 物种来源:
人源(Homo sapiens)
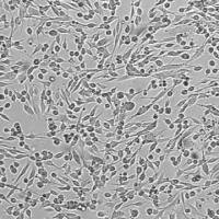
- 细胞形态:
上皮样细胞(Epithelial-like)
- 年限:
57 岁(57 years)
- 生长状态:
贴壁生长(Adherent)
- 规格:
T25/冻存管
| 细胞名称 | 人肝癌乐伐替尼耐药株 |
| 英文名称 | HUH7/Lenvatinib |
| 规格 | T25/冻存管 |
| 货号 | CTCC-0521-NY |
| 种属 | 人源(Homo sapiens) |
| 组织来源 | 肝脏(Liver) |
| 疾病 | 肝细胞癌(Hepatocellular carcinoma) |
| 性别 | 男(Male) |
| 年龄 | 57 岁(57 years) |
| 培养体系 | 该细胞系培养所用基本培养基为 Dulbecco’s Modified Eagle’s Medium ( D M E M ) , 配 置 完 全 培 养 基 时 需 加 入 10%FBS,1% Anti-Anti,药物抗性维 持加药浓度为5μM Lenvatinib。 |
| 细胞形态 | 上皮样细胞(Epithelial-like) |
| 生长特性 | 贴壁生长(Adherent) |


风险提示:丁香通仅作为第三方平台,为商家信息发布提供平台空间。用户咨询产品时请注意保护个人信息及财产安全,合理判断,谨慎选购商品,商家和用户对交易行为负责。对于医疗器械类产品,请先查证核实企业经营资质和医疗器械产品注册证情况。
- 作者
- 内容
- 询问日期
文献和实验HepG2是p53野生型的。 如果你研究肝癌的话,那么告诉你----HuH7是p53突变型的、Hep3B是P53缺失的。 edwardellen doctormy wrote: HepG2是p53野生型的。 如果你研究肝癌的话,那么告诉你----HuH7是p53突变型的、Hep3B是P53缺失的。 很感谢! 还想继续问一下,能从哪里查到这些信息
受体细胞株(B类)DU145 人前列腺癌细胞G-401 人肾癌WilmsGLC-82 人肺腺癌细胞GT1.1 人垂体瘤细胞(分泌促生长激素分泌激素)HCT116 人结直肠癌HCT-8 人结肠腺癌HEC-1B 人子宫内膜癌细胞Hela 人宫颈癌细胞Hep G2 人肝癌细胞Hep-2 人喉癌细胞HL-60 人白血病细胞HOS 人骨肉瘤细胞HT-1080 人纤维肉瘤HT-29 人结肠腺癌细胞HuTu-80 人十二脂肠腺癌JEG-3 人绒癌细胞JEG-3/VP16 人绒癌
Cellular MicroRNA Sensors Based on Luciferase Reporters
and the development of a stable Huh7 cell line that can be used for high-throughput screening of small molecule miR-122 inhibitors. The steps described here can be applied not only to Huh7 cells and miR-122 but also to virtually any cell line and miRNA combination.










