相关产品推荐更多 >
万千商家帮你免费找货
0 人在求购买到急需产品
- 详细信息
- 技术资料
- 品系:
人胰腺癌相关成纤维细胞永生化
- 细胞类型:
人胰腺癌相关成纤维细胞永生化
- 肿瘤类型:
/
- 供应商:
优利科(上海)生命科学有限公司
- 库存:
100
- 英文名:
Immortalization of human pancreatic cancer-related fibroblasts
- 生长状态:
贴壁生长
- 年限:
永久
- 运输方式:
快递形式
- 器官来源:
人胰腺癌相关成纤维细胞永生化
- 是否是肿瘤细胞:
/
- 细胞形态:
正常
- 免疫类型:
/
- 物种来源:
人胰腺癌相关成纤维细胞永生化
- 相关疾病:
/
- 组织来源:
人胰腺癌相关成纤维细胞永生化
- 规格:
5*10^5
癌组织由实质和间质两部分构成,癌细胞构成癌实质,是癌的主要成分,具有组织来源特异性,癌间质一般由结缔组织和血管组成,起支持和营养癌实质的作用,不具有特异性。
当实体瘤超过1-2mm时,需要通过新生的血管和活化的癌相关成纤维细胞来获取癌细胞生长和增殖所必须的营养物质。其中,癌相关成纤维细胞可通过分泌多种细胞因子和生长因子来发挥促进癌血管生成的作用。
上皮间质转化(EMT)是一种胚胎发育期的表型转化,在肿瘤转移过程中也能观察到相似的EMT过程。而由上皮和间质相互作用所形成的肿瘤-宿主界面微环境的平衡状态直接决定肿瘤的发生发展。多种因素可影响该界面,其中癌相关成纤维细胞是数量最丰富的基质细胞,在调节肿瘤细胞EMT过程中发挥重要作用。它通过细胞与细胞间相互接触及分泌各种细胞因子、蛋白酶类等,促进上皮细胞及其细胞恶性转化,并对界面各组分产生重要的调控作用。
细胞中文名称:人胰腺癌相关成纤维细胞永生化
细胞英文名称:Immortalization of human pancreatic cancer-related fibroblasts
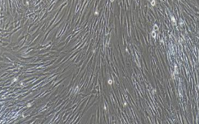
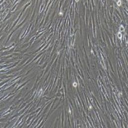
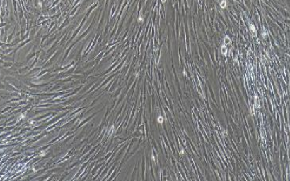
形态特性:长梭形
生长特性:贴壁培养
细胞特性
1) 细胞来源于人手术胰腺癌组织。
2) 不含有 HIV-1、 HBV、HCV、支原体、细菌、酵母和真菌。
3) 细胞生长方式:长梭形,贴壁培养。


1、 细胞传代:
1)细胞生长至覆盖培养瓶的 80%面积时,弃 25cm2 培养瓶中的培养液,用 PBS 清洗细胞一次;
2)添加 0.25%胰蛋白酶消化液约 1ml 至培养瓶中,倒置显微镜下观察,待细胞回缩变圆后加入 5ml 完全培养
液终止消化,再轻轻吹打细胞使之脱落,然后将悬液转移至 15ml 离心管中, 1000rpm 离心 5min;
3)弃上清,沉淀细胞用 1-2ml 完全培养基重悬,然后按 1:2 比例进行分瓶传代,最后放入 37℃, 5%CO2 细胞
培养箱中培养;
2、 细胞冻存:
1)细胞生长至覆盖培养瓶的 80%面积时,弃 25cm2 培养瓶中的培养液,用 PBS 清洗细胞一次;
2)添加 0.25%胰蛋白酶消化液约 1ml 至培养瓶中,倒置显微镜下观察,待细胞回缩变圆后加入完全培养液终
止消化,轻轻吹打细胞使之脱落,然后将悬液转移至 15ml 离心管中, 1000rpm 离心 5min;
3)用适量的冻存液(FBS: DMSO=9 : 1)重悬细胞,并放置于冻存管中;
4)先将细胞冻存管放置于-20℃ 1.5h,然后将其移入-80℃过夜, 24h 后转入液氮中进行长期保存。使用程序
降温盒可直接放入-80℃。
3、细胞复苏:
1)从液氮中取出细胞冻存管(注意:佩戴防爆管面具),快速将其置入 37℃水浴中解冻,直至冻存管中无结
晶,然后用 75%的酒精擦拭冻存管外壁;
2)将冻存管中的细胞移至含 6ml 完全培养基的 15ml 离心管中, 1000rpm 离心 5min;
3)弃上清,沉淀用 6ml 完全培养基重悬,接种 25cm2 培养瓶,于 37℃, 5%CO2 细胞培养箱中培养
人胰腺癌相关成纤维细胞永生化收到后处理
细胞在培养瓶中培养至良好状态后灌满完全培养液并封好瓶口是细胞运输的最好办法。收到细胞回到自己的实验室后,先打开外包装,用75%酒精喷洒整个瓶消毒后放到超净台内,严格无菌操作。镜下观察:未超过80%汇合度时,可将瓶装的完全培养液移入废液缸中,悬浮细胞需离心处理,加入6ml新鲜完全培养基,放入37℃、5%CO2孵箱培养;超过80%汇合度时,根据情况传代或者冻存,具体操作见细胞培养步骤说明书。
风险提示:丁香通仅作为第三方平台,为商家信息发布提供平台空间。用户咨询产品时请注意保护个人信息及财产安全,合理判断,谨慎选购商品,商家和用户对交易行为负责。对于医疗器械类产品,请先查证核实企业经营资质和医疗器械产品注册证情况。










