万千商家帮你免费找货
0 人在求购买到急需产品
- 详细信息
- 技术资料
- 英文名:
Small Intestinal Smooth Muscle Cells
- 库存:
200
- 供应商:
优利科(上海)生命科学有限公司
- 肿瘤类型:
/
- 细胞类型:
小肠平滑肌细胞
- 品系:
小肠平滑肌细胞
- 组织来源:
小肠平滑肌细胞
- 相关疾病:
/
- 物种来源:
小鼠
- 免疫类型:
小肠平滑肌细胞
- 细胞形态:
正常
- 是否是肿瘤细胞:
/
- 器官来源:
小肠平滑肌细胞
- 运输方式:
快递运输
- 年限:
永久
- 生长状态:
贴壁生长
- 规格:
5*10^5
小肠平滑肌细胞
细胞英文名称:Small Intestinal Smooth Muscle Cells
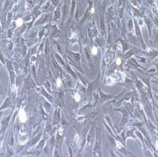
形态特性:长梭形细胞,不规则细胞
生长特性:贴壁培养


1、 细胞传代:
1)细胞生长至覆盖培养瓶的 80%面积时,弃 25cm2 培养瓶中的培养液,用 PBS 清洗细胞一次;
2)添加 0.25%胰蛋白酶消化液约 1ml 至培养瓶中,倒置显微镜下观察,待细胞回缩变圆后加入 5ml 完全培养
液终止消化,再轻轻吹打细胞使之脱落,然后将悬液转移至 15ml 离心管中, 1000rpm 离心 5min;
3)弃上清,沉淀细胞用 1-2ml 完全培养基重悬,然后按 1:2 比例进行分瓶传代,最后放入 37℃, 5%CO2 细胞
培养箱中培养;
2、 细胞冻存:
1)细胞生长至覆盖培养瓶的 80%面积时,弃 25cm2 培养瓶中的培养液,用 PBS 清洗细胞一次;
2)添加 0.25%胰蛋白酶消化液约 1ml 至培养瓶中,倒置显微镜下观察,待细胞回缩变圆后加入完全培养液终
止消化,轻轻吹打细胞使之脱落,然后将悬液转移至 15ml 离心管中, 1000rpm 离心 5min;
3)用适量的冻存液(FBS: DMSO=9 : 1)重悬细胞,并放置于冻存管中;
4)先将细胞冻存管放置于-20℃ 1.5h,然后将其移入-80℃过夜, 24h 后转入液氮中进行长期保存。使用程序
降温盒可直接放入-80℃。
3、细胞复苏:
1)从液氮中取出细胞冻存管(注意:佩戴防爆管面具),快速将其置入 37℃水浴中解冻,直至冻存管中无结
晶,然后用 75%的酒精擦拭冻存管外壁;
2)将冻存管中的细胞移至含 6ml 完全培养基的 15ml 离心管中, 1000rpm 离心 5min;
3)弃上清,沉淀用 6ml 完全培养基重悬,接种 25cm2 培养瓶,于 37℃, 5%CO2 细胞培养箱中培养
小肠平滑肌细胞收到后处理
细胞在培养瓶中培养至良好状态后灌满完全培养液并封好瓶口是细胞运输的最好办法。收到细胞回到自己的实验室后,先打开外包装,用75%酒精喷洒整个瓶消毒后放到超净台内,严格无菌操作。镜下观察:未超过80%汇合度时,可将瓶装的完全培养液移入废液缸中,悬浮细胞需离心处理,加入6ml新鲜完全培养基,放入37℃、5%CO2孵箱培养;超过80%汇合度时,根据情况传代或者冻存,具体操作见细胞培养步骤说明书。
小肠位于腹中,上端接幽门与胃相通,下端通过阑门与大肠相连。小肠与心互为表里。是食物消化吸收的主要场所,盘曲于腹腔内,上连胃幽门,下接盲肠,全长约5-6米,张开有半个篮球大,分为十二指肠、空肠和回肠三部分。其管壁由黏膜,黏膜下层,肌层和浆膜构成。小肠平滑肌肉瘤是起源于小肠壁肌层、黏膜下肌层和肠壁血管平滑肌的恶性肿瘤,是小肠结缔组织恶性肿瘤中最常见的一种。因此,体外小肠平滑肌细胞的培养对研究小肠平滑肌肉瘤提供了基础和前提。
细胞中文名称:小肠平滑肌细胞
细胞英文名称:Small Intestinal Smooth Muscle Cells
形态特性:长梭形细胞,不规则细胞
生长特性:贴壁培养
细胞特性
1)组织来源于实验动物的正常小肠组织。
2)细胞鉴定:平滑肌肌动蛋白(α-SMA)免疫荧光染色为阳性。
3)经鉴定细胞纯度高于90%。
4)不含有 HIV-1、 HBV、HCV、支原体、细菌、酵母和真菌。
5)细胞生长方式:长梭形状细胞,不规则细胞,贴壁培养。


1、 细胞传代:
1)细胞生长至覆盖培养瓶的 80%面积时,弃 25cm2 培养瓶中的培养液,用 PBS 清洗细胞一次;
2)添加 0.25%胰蛋白酶消化液约 1ml 至培养瓶中,倒置显微镜下观察,待细胞回缩变圆后加入 5ml 完全培养
液终止消化,再轻轻吹打细胞使之脱落,然后将悬液转移至 15ml 离心管中, 1000rpm 离心 5min;
3)弃上清,沉淀细胞用 1-2ml 完全培养基重悬,然后按 1:2 比例进行分瓶传代,最后放入 37℃, 5%CO2 细胞
培养箱中培养;
2、 细胞冻存:
1)细胞生长至覆盖培养瓶的 80%面积时,弃 25cm2 培养瓶中的培养液,用 PBS 清洗细胞一次;
2)添加 0.25%胰蛋白酶消化液约 1ml 至培养瓶中,倒置显微镜下观察,待细胞回缩变圆后加入完全培养液终
止消化,轻轻吹打细胞使之脱落,然后将悬液转移至 15ml 离心管中, 1000rpm 离心 5min;
3)用适量的冻存液(FBS: DMSO=9 : 1)重悬细胞,并放置于冻存管中;
4)先将细胞冻存管放置于-20℃ 1.5h,然后将其移入-80℃过夜, 24h 后转入液氮中进行长期保存。使用程序
降温盒可直接放入-80℃。
3、细胞复苏:
1)从液氮中取出细胞冻存管(注意:佩戴防爆管面具),快速将其置入 37℃水浴中解冻,直至冻存管中无结
晶,然后用 75%的酒精擦拭冻存管外壁;
2)将冻存管中的细胞移至含 6ml 完全培养基的 15ml 离心管中, 1000rpm 离心 5min;
3)弃上清,沉淀用 6ml 完全培养基重悬,接种 25cm2 培养瓶,于 37℃, 5%CO2 细胞培养箱中培养
小肠平滑肌细胞收到后处理
细胞在培养瓶中培养至良好状态后灌满完全培养液并封好瓶口是细胞运输的最好办法。收到细胞回到自己的实验室后,先打开外包装,用75%酒精喷洒整个瓶消毒后放到超净台内,严格无菌操作。镜下观察:未超过80%汇合度时,可将瓶装的完全培养液移入废液缸中,悬浮细胞需离心处理,加入6ml新鲜完全培养基,放入37℃、5%CO2孵箱培养;超过80%汇合度时,根据情况传代或者冻存,具体操作见细胞培养步骤说明书。
风险提示:丁香通仅作为第三方平台,为商家信息发布提供平台空间。用户咨询产品时请注意保护个人信息及财产安全,合理判断,谨慎选购商品,商家和用户对交易行为负责。对于医疗器械类产品,请先查证核实企业经营资质和医疗器械产品注册证情况。
小肠平滑肌细胞
¥3000 - 4000










