相关产品推荐更多 >
万千商家帮你免费找货
0 人在求购买到急需产品
- 详细信息
- 文献和实验
- 技术资料
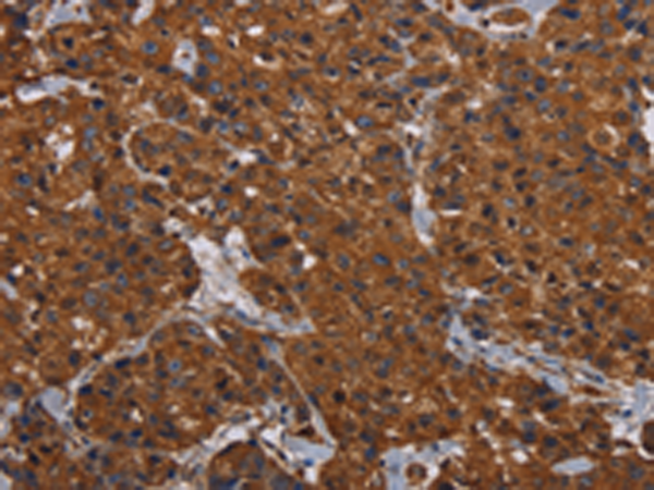
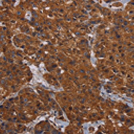
- 抗体名:
兔抗HYAL2多克隆抗体
- 应用范围:
仅供科研使用
- 供应商:
上海酶联生物科技有限公司
- 库存:
101
- 保质期:
1年
- 克隆性:
多克隆
- 形态:
液体
- 免疫原:
Fusion protein of human HYAL2
- 规格:
25ul/100ul/200ul
| 规格: | 25ul | 产品价格: | ¥420.0 |
|---|---|---|---|
| 规格: | 100ul | 产品价格: | ¥1500.0 |
| 规格: | 200ul | 产品价格: | ¥2500.0 |
中文名称: 兔抗HYAL2多克隆抗体
英文名称: Anti-HYAL2 rabbit polyclonal antibody
别 名: LUCA2
相关类别: 一抗
储 存: 冷冻(-20℃)
抗 原: HYAL2
宿 主: Rabbit
反应种属: Human, Mouse, Rat
标记物: Unconjugate
克隆类型: rabbit polyclonal

我司新老客户想要咨询了解更多产品相关试剂内容,或产品目录、优惠信息,欢迎您随时联系我司业务员;酶联生物为您提供全程技术指导,、用心的服务赢得了众多同仁的信赖和评,逐渐树立起公司良品牌。
公司品质承诺:
→ 我公司保证所提供的产品全部为。
→ 我公司保证产品质量,客户对产品有新的要求,我司愿为您提供全方位的服务。
→ 一旦合同签订,我公司将按合同要求及时交货(同时按用户要求递交相应的证明文件)。
→ 我公司可提供有关产品的技术咨询。
→ 如果是产品本身质量问题的,已经使用造成的损失,由我公司负责。
→ 产品仅供科研,不适临床生产及其他用途,我司其他产品如下:

上海酶联生物提供的服务
售前:在您没有购买我司产品前您可以来电咨询我司业务员或在公司网站留言,我们会在时间内为您服务。
售中:技术人员全程跟踪服务指导,在您实验过程中有任何疑问,都可以来电咨询我司技术人员,我司可先提供发票合同原件,公司三证一同寄给您。
售后:在您成功购买我司兔抗HYAL2多克隆抗体产品后,有质量问题的无条件免费包换;我司业务员会定期电话回访,对您的宝贵意见会认真听取并努力完善。

风险提示:丁香通仅作为第三方平台,为商家信息发布提供平台空间。用户咨询产品时请注意保护个人信息及财产安全,合理判断,谨慎选购商品,商家和用户对交易行为负责。对于医疗器械类产品,请先查证核实企业经营资质和医疗器械产品注册证情况。
文献和实验。你的目的蛋白和一抗的关系是什么,这点很重要。分析了这点之后,如果显色时间在1分钟之内,目的带可能是特异带。确信下面的带是特异的,建议换一抗,换其他封闭液。 llh刘丽华 目的蛋白和一抗的关系是什么?我不明白这事什么意思啊,我的目的蛋白RAC1蛋白啊,一抗是兔抗大鼠RAC1多克隆抗体啊! coffeeshine 目的蛋白是在什么宿主细胞里表达的? llh刘丽华 哦,是大鼠平滑肌细胞上表
【公告】丁香通试用中心:10月免费试用装精选(10月18日有更新)
blot显色液 HIV-1P24抗原检测试剂盒 Carrier RNA 免费试用装 兔抗人胱抑素C多克隆抗体 DMEM培养基(高糖) BlotStainer 全自动Blot膜杂交系统 自动原位杂交仪 查看更多试用>> 关注我们 丁香通新浪微博:丁香通 丁香通微信号:biomart
071794 h 货号:CSB-RP071794(A4/C) 兔抗人淀粉样肽 beta A4 蛋白多克隆抗体 货号:CSB-PA07179A0Rb 识别种属:人,小鼠 WB:Mouse heart tissue,Mouse kidney tissue,Mouse lung tissue,293,A549,U251,SH-SY5Y IHC:human kidney
技术资料










