相关产品推荐更多 >
万千商家帮你免费找货
0 人在求购买到急需产品
- 详细信息
- 文献和实验
- 技术资料
- 抗体名:
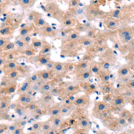
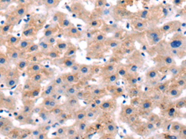
兔抗ITGA5多克隆抗体
- 抗体英文名:
Anti-ITGA5 rabbit polyclonal antibody
- 应用范围:
仅供科研使用
- 宿主:
Rabbit
- 供应商:
上海酶联生物科技有限公司
- 库存:
144
- 抗原来源:
ITGA5
- 保质期:
1年
- 适应物种:
Human, Mouse
- 标记物:
Unconjugate
- 克隆性:
多克隆
- 保存条件:
冷冻(-2℃)
- 形态:
液体
- 免疫原:
Fusion protein of human ITGA5
- 规格:
25ul/100ul/200ul
| 规格: | 25ul | 产品价格: | ¥420.0 |
|---|---|---|---|
| 规格: | 100ul | 产品价格: | ¥1500.0 |
| 规格: | 200ul | 产品价格: | ¥2500.0 |
英文名称: Anti-ITGA5 rabbit polyclonal antibody
别 名: FNRA; CD49e; VLA-5; VLA5A
相关类别: 一抗
上海酶联生物科技有限公司每年的销售额保持高速增长,企业规模不断扩大,生产加工和销售的产品包括试剂、抗体、细胞、标准品等万余种,我司拥有专业的技术研发团队,能24小时随时响应,为您的试验提供技术支持,为国家的科技发展多做贡献。
订购数量 :1件起订
付款方式 :款到发货
产品价格 :电议(新优惠可电询)
产品包装 :可根据客户定制包装
到货方式 :3天内发货,期货协商
其他服务 :产品服务及技术指标有特殊要求,请及时通知我方
服务宗旨 :竭诚提供产品,售后服务客户满意度
产品优势 :酶联生物严格遵守质量用心、客户用心、技术有心、服务用心
保驾护航 :为广大科研同仁提供优势的产品,保证实验的有效性
公司产品使用承诺:
& 秉着“信誉至上、客户满意、质量承诺”的宗旨为我们的用户提供产品和服务。
& 用户收到货后,应按照产品说明书上的规定妥善保管并在有效期内使用。
& 我们的产品在销售前已作严格的质量鉴定,保证说明书所述的使用效果。
& 如系使用者错误操作所致,本公司不承担由此造成的损失。
& 在货到后10天内若发现确属本产品的质量问题,请立即以书面形式(实验报告)与本公司联系,并将该产品退回,经检验确系产品质量所致,本公司负责更换产品。
酶联商铺其他一抗产品:
风险提示:丁香通仅作为第三方平台,为商家信息发布提供平台空间。用户咨询产品时请注意保护个人信息及财产安全,合理判断,谨慎选购商品,商家和用户对交易行为负责。对于医疗器械类产品,请先查证核实企业经营资质和医疗器械产品注册证情况。
文献和实验。你的目的蛋白和一抗的关系是什么,这点很重要。分析了这点之后,如果显色时间在1分钟之内,目的带可能是特异带。确信下面的带是特异的,建议换一抗,换其他封闭液。 llh刘丽华 目的蛋白和一抗的关系是什么?我不明白这事什么意思啊,我的目的蛋白RAC1蛋白啊,一抗是兔抗大鼠RAC1多克隆抗体啊! coffeeshine 目的蛋白是在什么宿主细胞里表达的? llh刘丽华 哦,是大鼠平滑肌细胞上表
【公告】丁香通试用中心:10月免费试用装精选(10月18日有更新)
blot显色液 HIV-1P24抗原检测试剂盒 Carrier RNA 免费试用装 兔抗人胱抑素C多克隆抗体 DMEM培养基(高糖) BlotStainer 全自动Blot膜杂交系统 自动原位杂交仪 查看更多试用>> 关注我们 丁香通新浪微博:丁香通 丁香通微信号:biomart
071794 h 货号:CSB-RP071794(A4/C) 兔抗人淀粉样肽 beta A4 蛋白多克隆抗体 货号:CSB-PA07179A0Rb 识别种属:人,小鼠 WB:Mouse heart tissue,Mouse kidney tissue,Mouse lung tissue,293,A549,U251,SH-SY5Y IHC:human kidney
技术资料










