相关产品推荐更多 >
万千商家帮你免费找货
0 人在求购买到急需产品
- 详细信息
- 文献和实验
- 技术资料
- 英文名:
COS-7
- 库存:
200
- 供应商:
优利科(上海)生命科学有限公司
- 肿瘤类型:
/
- 细胞类型:
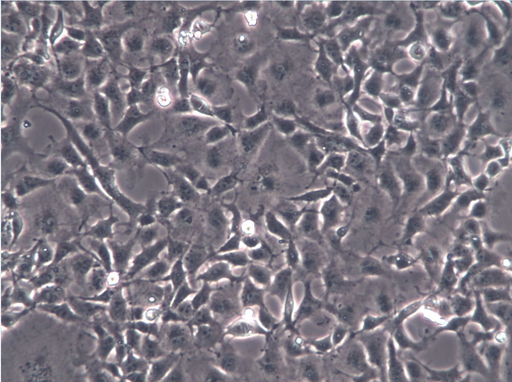
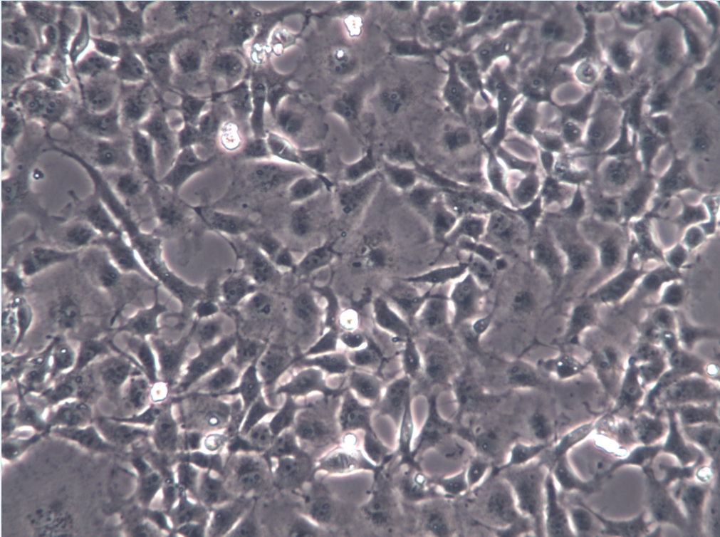
COS-7/非洲绿猴SV40转化的肾细胞/带str鉴定
- 品系:
COS-7/非洲绿猴SV40转化的肾细胞/带str鉴定
- 组织来源:
COS-7/非洲绿猴SV40转化的肾细胞/带str鉴定
- 相关疾病:
/
- 物种来源:
COS-7/非洲绿猴SV40转化的肾细胞/带str鉴定
- 免疫类型:
COS-7/非洲绿猴SV40转化的肾细胞/带str鉴定
- 细胞形态:
正常
- 是否是肿瘤细胞:
/
- 器官来源:
COS-7/非洲绿猴SV40转化的肾细胞/带str鉴定
- 运输方式:
快递形式
- 年限:
永久
- 生长状态:
贴壁
- 规格:
T25培养瓶
| 细胞名称 | COS-7/非洲绿猴SV40转化的肾细胞/带str鉴定 |
| 生长特性 | 贴壁 |
| 培养条件 | DMEM(高糖)+10%FBS+1%P/S |
| 培养环境 | 37℃ 5% CO2,,95% AIR |
| 传代比例 | 1:2 传代,2~3 天换液 |
| 冻存条件 | 90%FBS+10%DMSO |
| QC 检测 | 支原体、细菌、酵母和真菌检测为阴性 |
细胞相关图片:


1、 细胞传代:
1)细胞生长至覆盖培养瓶的 80%面积时,弃 25cm2 培养瓶中的培养液,用 PBS 清洗细胞一次;
2)添加 0.25%胰蛋白酶消化液约 1ml 至培养瓶中,倒置显微镜下观察,待细胞回缩变圆后加入 5ml 完全培养
液终止消化,再轻轻吹打细胞使之脱落,然后将悬液转移至 15ml 离心管中, 1000rpm 离心 5min;
3)弃上清,沉淀细胞用 1-2ml 完全培养基重悬,然后按 1:2 比例进行分瓶传代,最后放入 37℃, 5%CO2 细胞
培养箱中培养;
2、 细胞冻存:
1)细胞生长至覆盖培养瓶的 80%面积时,弃 25cm2 培养瓶中的培养液,用 PBS 清洗细胞一次;
2)添加 0.25%胰蛋白酶消化液约 1ml 至培养瓶中,倒置显微镜下观察,待细胞回缩变圆后加入完全培养液终
止消化,轻轻吹打细胞使之脱落,然后将悬液转移至 15ml 离心管中, 1000rpm 离心 5min;
3)用适量的冻存液(FBS: DMSO=9 : 1)重悬细胞,并放置于冻存管中;
4)先将细胞冻存管放置于-20℃ 1.5h,然后将其移入-80℃过夜, 24h 后转入液氮中进行长期保存。使用程序
降温盒可直接放入-80℃。
3、细胞复苏:
1)从液氮中取出细胞冻存管(注意:佩戴防爆管面具),快速将其置入 37℃水浴中解冻,直至冻存管中无结
晶,然后用 75%的酒精擦拭冻存管外壁;
2)将冻存管中的细胞移至含 6ml 完全培养基的 15ml 离心管中, 1000rpm 离心 5min;
3)弃上清,沉淀用 6ml 完全培养基重悬,接种 25cm2 培养瓶,于 37℃, 5%CO2 细胞培养箱中培养;


COS-7/非洲绿猴SV40转化的肾细胞/带str鉴定细胞相关产品:
| Vero | 非洲绿猴肾细胞 |
| VERO C1008 | 非洲绿猴肾细胞 |
| MDBK[NBL-1] | 牛肾细胞 |
| MDCK[NBL-2] | 狗肾细胞 |
| UMNSAH/DF-1 | 鸡胚成纤维细胞 |
| F81 | 猫肾细胞 |
| BHK-21 | 仓鼠肾成纤维细胞 |
| CHL | 仓鼠肺细胞 |
风险提示:丁香通仅作为第三方平台,为商家信息发布提供平台空间。用户咨询产品时请注意保护个人信息及财产安全,合理判断,谨慎选购商品,商家和用户对交易行为负责。对于医疗器械类产品,请先查证核实企业经营资质和医疗器械产品注册证情况。
文献和实验WI-38 胚肺 Chang Liver 张氏肝 SL-7 胚肺 QSG-7701 肝细胞 H.A. 羊膜 293 Ad5DNA转化 的胚肾 WISH 羊膜 牙髓细胞 5.其它类 CV-1(M) 非洲绿猴肾 EBTr 牛胚气管 VERO 非洲绿猴肾 MDBK 牛肾细胞 HepII 猴肾 COS-1 SV40转化的非洲绿猴肾 LLC-MK2 恒河猴肾 COS-7 SV40转化的非洲绿猴肾 MLA-144 长臂猿淋巴瘤 B95
牙髓细胞 5.其它类 CV-1(M) 非洲绿猴肾 EBTr 牛胚气管 VERO 非洲绿猴肾 MDBK 牛肾细胞 HepII 猴肾 COS-1 SV40转化的非洲绿猴肾 LLC-MK2 恒河猴肾 COS-7 SV40转化的非洲绿猴肾 MLA-144 长臂猿淋巴瘤 B95-8 EBV转化的绒猴白细胞 CP-88 草鱼胚胎细胞 NISE-Sacy-12 蓖麻蚕卵细胞 ZC-7901 草鱼吻端细胞 RF/6A 猴脉络膜-视网
元 CNE TCHu 13 人 鼻咽癌细胞 400元 COLO 205 TCHu102 人 结肠癌细胞 800元 COLO-320 TCHu 14 人 结肠腺癌细胞 450元 COS-1 GNO 1 非洲绿猴 SV40转化的非洲绿猴肾细胞 400元 COS-7 GNO 2 非洲绿猴 SV40转化的非洲绿猴肾细胞 400元 CRFK GNO16 猫 猫肾细胞 400元 CTLL-2 GNM 4 小鼠 T细胞 450元 CV










