相关产品推荐更多 >
万千商家帮你免费找货
0 人在求购买到急需产品
- 详细信息
- 文献和实验
- 技术资料
- 免疫原:
Recombinant protein encompassing a sequence within the center region of human Glucocorticoid Receptor. The exact sequence is proprietary.
- 亚型:
IgG
- 形态:
Liquid
- 保存条件:
Store as concentrated solution. Centrifuge briefly prior to opening vial. For short-term storage (1-2 weeks), store at 4ºC. For long-term storage, aliquot and store at -20ºC or below. Avoid multiple freeze-thaw cycles.
- 克隆性:
Monoclonal
- 标记物:
Unconjugated
- 适应物种:
Human, Mouse
- 保质期:
12 months from the shipping date of the product.
- 抗原来源:
Human
- 目录编号:
GTX636420
- 级别:
Primary Antibodies
- 库存:
Available
- 供应商:
GeneTex
- 宿主:
Rabbit
- 应用范围:
WB, ICC/IF, IHC-P
- 浓度:
1 mg/ml (Please refer to the vial label for the specific concentration.)
- 靶点:
Glucocorticoid Receptor
- 抗体英文名:
Glucocorticoid Receptor antibody [HL1149]
- 抗体名:
Glucocorticoid Receptor 抗体 [HL1149]
- 规格:
100 μl/25 μl
| 规格: | 100 μl | 产品价格: | ¥4000.0 |
|---|---|---|---|
| 规格: | 25 μl | 产品价格: | ¥1700.0 |
Wild-type (WT) and NR3C1 knockout (KO) HeLa cell extracts (30 μg) were separated by 7.5% SDS-PAGE, and the membrane was blotted with Glucocorticoid Receptor antibody [HL1149] (GTX636420) diluted at 1:1000. The HRP-conjugated anti-rabbit IgG antibody (GTX213110-01) was used to detect the primary antibody.
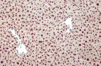
Glucocorticoid Receptor antibody [HL1149] detects Glucocorticoid Receptor protein at nucleus by immunohistochemical analysis.
Sample: Paraffin-embedded mouse liver.
Glucocorticoid Receptor stained by Glucocorticoid Receptor antibody [HL1149] (GTX636420) diluted at 1:100.
Antigen Retrieval: Citrate buffer, pH 6.0, 15 min
Various whole cell extracts (30 μg) were separated by 5% SDS-PAGE, and the membrane was blotted with Glucocorticoid Receptor antibody [HL1149] (GTX636420) diluted at 1:1000. The HRP-conjugated anti-rabbit IgG antibody (GTX213110-01) was used to detect the primary antibody.
Glucocorticoid Receptor antibody [HL1149] detects Glucocorticoid Receptor protein by immunohistochemical analysis.
Sample: Paraffin-embedded mouse tissues.
Glucocorticoid Receptor stained by Glucocorticoid Receptor antibody [HL1149] (GTX636420) diluted at 1:100.
Antigen Retrieval: Citrate buffer, pH 6.0, 15 min
Glucocorticoid Receptor antibody [HL1149] detects Glucocorticoid Receptor protein at cytoplasm and nucleus by immunofluorescent analysis.
Sample: HeLa cells were fixed in 4% PFA at RT for 15 min.
Green: Glucocorticoid Receptor stained by Glucocorticoid Receptor antibody [HL1149] (GTX636420) diluted at 1:500.
Red: alpha Tubulin, a cytoskeleton marker, stained by alpha Tubulin antibody [GT114] (GTX628802) diluted at 1:1000.
Various tissue extracts (50 μg) were separated by 7.5% SDS-PAGE, and the membrane was blotted with Glucocorticoid Receptor antibody [HL1149] (GTX636420) diluted at 1:1000. The HRP-conjugated anti-rabbit IgG antibody (GTX213110-01) was used to detect the primary antibody.
风险提示:丁香通仅作为第三方平台,为商家信息发布提供平台空间。用户咨询产品时请注意保护个人信息及财产安全,合理判断,谨慎选购商品,商家和用户对交易行为负责。对于医疗器械类产品,请先查证核实企业经营资质和医疗器械产品注册证情况。
文献和实验Chemical Mutational Analysis of Glucocorticoid Receptor
This chapter describes a chemical method for mutational analysis of the human glucocorticoid receptor (hGR) cDNA. Corticosteroid-resistant (CR) asthma is associated with in vitro and in vivo defects in mononuclear cell function
High-Yield Purification of Functionally Active Glucocorticoid Receptor
The glucocorticoid receptor (GR) resides in the cytoplasm as a complex with chaperones. Upon ligand association, GR shuttles into the nucleus, and binds to its hormone response elements to control expression of particular genes
by the human glucocorticoid receptor α (hGRα), a ligand-dependent transcription factor ubiquitously expressed in almost all tissues and cells. The molecular mechanisms of hGRα action involve (a) binding to glucocorticoids, (b) cytoplasmic to nuclear
技术资料暂无技术资料 索取技术资料





![TIMP2 antibody [SPM356]](https://img1.dxycdn.com/2022/0328/785/3638824507411700453-14.jpg!wh200)

![TdT antibody [SEN28]](https://img1.dxycdn.com/2022/0328/585/9090992975587700453-14.jpg!wh200)



