相关产品推荐更多 >
万千商家帮你免费找货
0 人在求购买到急需产品
- 详细信息
- 技术资料
- 抗体名:
兔多克隆抗体
- 抗体英文名:
AMACR / p504S Polyclonal Rabbit Antibody (PAb) BNC880731-500
- 靶点:
AMACR
- 应用范围:
Cancer, Endocrinology, Metabolism
- 宿主:
Rabbit
- 保质期:
24个月
- 目录编号:
BNC880731-500
- 库存:
99
- 供应商:
Biotium
- 克隆性:
多克隆
- 保存条件:
室温
- 形态:
Conjugates: 0.1 mg/mL in PBS/0.1% BSA/0.05% azide, HRP conjugates: 0.1 mg/mL in PBS/0.05% BSA, Purified: 0.2 mg/mL in PBS/0.05% BSA/0.05% azide, Purified, BSA-free: 1 mg/mL in PBS without azide
- 亚型:
IgG
- 免疫原:
A synthetic peptide from human AMACR protein
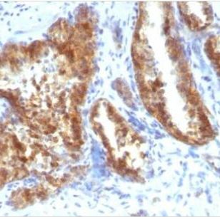
This antibody recognizes a protein of 42 kDa, which is identified as Alpha-methylacyl-CoA Racemase (AMACR), also known as p504S. It is an enzyme that is involved in bile acid biosynthesis and beta-oxidation of branched-chain fatty acids. AMACR is essential in lipid metabolism. It is expressed in cells of premalignant high-grade prostatic intraepithelial neoplasia (HGPIN) and prostate adenocarcinoma. The majority of the carcinoma cells show a distinct granular cytoplasmic staining reaction. AMACR is present at low or undetectable levels in glandular epithelial cells of normal prostate and benign prostatic hyperplasia. A spotty granular cytoplasmic staining is seen in a few cells of the benign glands. AMACR is expressed in normal liver (hepatocytes), kidney (tubular epithelial cells) and gall bladder (epithelial cells). Expression has also been found in lung (bronchial epithelial cells) and colon (colonic surface epithelium). AMACR expression can also be found in hepatocellular carcinoma and kidney carcinoma. Past studies have also shown that AMACR is expressed in various colon carcinomas (well, moderately and poorly differentiated) and overexpressed in prostate carcinoma. Primary antibodies are available purified, or with a selection of fluorescent CF® dyes and other labels. CF® dyes offer exceptional brightness and photostability. See the CF® Dye Brochure for more information. Note: Conjugates of blue fluorescent dyes like CF®405S and CF®405M are not recommended for detecting low abundance targets, because blue dyes have lower fluorescence and can give higher non-specific background than other dye colors. Stock status: Because Biotium offers a large number of antibody and conjugation options, primary antibody conjugates may be made to order. Typical lead times are up to one week for CF® dye and biotin conjugates, and up to 2-3 weeks for fluorescent protein and enzyme conjugates. Please email order@biotium.com to inquire about stock status and lead times before placing your order. Catalog number key for antibody number 0731, Anti-AMACR (PAb)
风险提示:丁香通仅作为第三方平台,为商家信息发布提供平台空间。用户咨询产品时请注意保护个人信息及财产安全,合理判断,谨慎选购商品,商家和用户对交易行为负责。对于医疗器械类产品,请先查证核实企业经营资质和医疗器械产品注册证情况。
技术资料暂无技术资料 索取技术资料
AMACR / p504S 兔多克隆抗体 (PAb) BNC880731-500
询价










