相关产品推荐更多 >
万千商家帮你免费找货
0 人在求购买到急需产品
- 详细信息
- 询价记录
- 技术资料
- 库存:
现货
- 英文名:
Alexa 488标记-α-Bungarotoxin
- CAS号:
Alexa 488标记-α-Bungarotoxin
- 保质期:
1年
- 供应商:
Alexa 488标记-α-Bungarotoxin
- 保存条件:
-20
- 规格:
100ug
储存和处理
-20℃避光储存,尤其是在溶液中。建议
存放时,产品自收到之日起至少稳定 1 年。
储备溶液可以在 PBS 中以 0.5 mg/ml 的浓度
制备,并在 4℃下保存至少 6 个月,或者在
-20℃下长期保存后一次性使用,尽量避免多
次循环冻融。
光谱性质
参见上表。
产品描述
α-Bungarotoxin 是与烟jian结合的多肽蛇
毒素,在神经肌肉连接处发现乙酰胆碱受体
具有高亲和力。α-Bungarotoxin 的荧光标记物
可用于神经肌肉接头处的烟jian乙酰胆碱受体
的荧光成像。
染色方案
以下是使用荧光α-Bungarotoxin 标记物对
大鼠骨骼肌的 10 um 厚的新鲜冷冻切片进行染
色的示例操作规程,针对其他应用可能需要进
行优化。对于组合免疫荧光和α-Bungarotoxin 染
色,可以将α-Bungarotoxin 络合物与荧光标记的
第二抗体一起孵育。
1、在室温下,将新鲜冷冻的切片在 PBS 中
的 4%多聚jia醛中固定 15 分钟。或者可以将切
片在-200C 的冰冷甲醇中固定 5 分钟。用 PBS 冲
洗 3 次。
2、在室温下用 PBS/0.1% Triton X-100 渗透
切片 10 分钟。甲醇固定的切片不需要透化。
3、制备 PBS 中 1ug/ml 的α-Bungarotoxin 染
色溶液。络合物也可以在免疫荧光封闭缓冲液
中稀释。
4、用足够的染色溶液覆盖切片,以完全覆
盖组织。可以将 Parafilm 盖玻片放在染色溶液的
顶部,以将溶液均匀地铺在切片上。
5、在暗室内室温下孵育至少 15 分钟。
6、在 PBS 中冲洗几次。7、安装在荧光防褪色介质和盖玻片中。
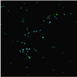
图 1、新鲜的大鼠骨骼肌冰冻切片,
用 Alexa 488-α-Bungarotoxin(绿色)
染色。 核用 DAPI 复染成蓝色。
风险提示:丁香通仅作为第三方平台,为商家信息发布提供平台空间。用户咨询产品时请注意保护个人信息及财产安全,合理判断,谨慎选购商品,商家和用户对交易行为负责。对于医疗器械类产品,请先查证核实企业经营资质和医疗器械产品注册证情况。
- 作者
- 内容
- 询问日期
技术资料暂无技术资料 索取技术资料





![TMRE[四甲基罗丹明乙酯] [115532-52-0]](https://custom.dxycdn.com/trademd/upload/pic/2015/08/19/B1439883520.jpg!small.t.1)



