相关产品推荐更多 >
万千商家帮你免费找货
0 人在求购买到急需产品
- 详细信息
- 技术资料
- 免疫原:
A synthetic peptide corresponding to a sequence of human TJP2/ZO2 (QEAQNARIEIAQKHPDIYAVPIK).
- 亚型:
IgG
- 形态:
Liquid
- 保存条件:
Store as concentrated solution. Centrifuge briefly prior to opening vial. For short-term storage (1-2 weeks), store at 4ºC. For long-term storage, aliquot and store at -20ºC or below. Avoid multiple freeze-thaw cycles.
- 克隆性:
Polyclonal
- 标记物:
Unconjugated
- 适应物种:
Human, Mouse, Rat, Monkey
- 保质期:
12 months from the shipping date of the product.
- 抗原来源:
Human
- 目录编号:
GTX03355
- 级别:
Primary Antibodies
- 库存:
Available
- 供应商:
GeneTex
- 宿主:
Rabbit
- 应用范围:
WB, ICC/IF, IHC-P, FACS
- 浓度:
0.5 mg/ml (Please refer to the vial label for the specific concentration.)
- 靶点:
TJP2
- 抗体英文名:
TJP2 antibody
- 抗体名:
TJP2 抗体
- 规格:
100 μg
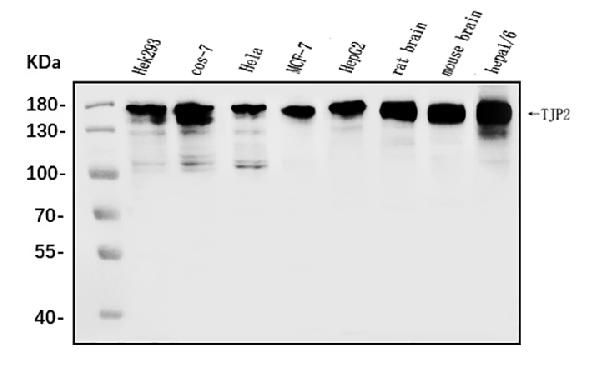
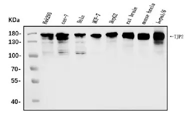
WB analysis of various sample lysates using GTX03355 TJP2 antibody.
Lane 1 : HEK293 whole cell lysates
Lane 2 : COS-7 whole cell lysates
Lane 3 : HeLa whole cell lysates
Lane 4 : MCF-7 whole cell lysates
Lane 5 : HepG2 whole cell lysates
Lane 6 : rat brain tissue lysates
Lane 7 : mouse brain tissue lysates
Lane 8 : HEPA1-6 whole cell lysates
Dilution : 0.5 μg/mL
Loading : 30μg per lane
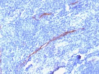
IHC-P analysis of human rectal cancer tissue using GTX03355 TJP2 antibody.
Antigen retireval : Heat mediated antigen retrieval was performed in EDTA buffer (pH8.0, epitope retrieval solution)
Dilution : 2μg/ml
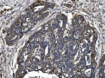
IHC-P analysis of human ovarian serous adenocarcinoma tissue using GTX03355 TJP2 antibody.
Antigen retireval : Heat mediated antigen retrieval was performed in EDTA buffer (pH8.0, epitope retrieval solution)
Dilution : 2μg/ml
FACS analysis of CACO-2 cells using GTX03355 TJP2 antibody.
Blue : Primary antibody
Green : Isotype control
Red : Unlabelled sample
Antibody amount : 1μg/1x10⁶ cells for 30 min at 20ºC
ICC/IF analysis of A431 cells using GTX03355 TJP2 antibody. Enzyme antigen retrieval was performed using IHC enzyme antigen retrieval reagent for 15 mins.
Green : Primary antibody
Blue : DAPI
Dilution : 5μg/mL
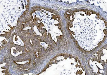
IHC-P analysis of human ovarian cancer tissue using GTX03355 TJP2 antibody.
Antigen retireval : Heat mediated antigen retrieval was performed in EDTA buffer (pH8.0, epitope retrieval solution)
Dilution : 2μg/ml
风险提示:丁香通仅作为第三方平台,为商家信息发布提供平台空间。用户咨询产品时请注意保护个人信息及财产安全,合理判断,谨慎选购商品,商家和用户对交易行为负责。对于医疗器械类产品,请先查证核实企业经营资质和医疗器械产品注册证情况。
技术资料暂无技术资料 索取技术资料






![RAB11B antibody [N1C3]](https://img1.dxycdn.com/2022/0328/327/6127700374392300453-14.jpg!wh200)
![CD34 antibody [HPCA1/1806R]](https://img1.dxycdn.com/2022/0328/120/6100136770989600453-14.jpg!wh200)


