相关产品推荐更多 >
万千商家帮你免费找货
0 人在求购买到急需产品
- 详细信息
- 文献和实验
- 技术资料
- 英文名:
Jurkat(clone E6-1)
- 库存:
1x10^6/瓶
- 供应商:
继和生物
- 肿瘤类型:
详询
- 细胞类型:
T淋巴细胞白血病细胞
- 品系:
Jurkat(clone E6-1)
- 组织来源:
T淋巴细胞白血病细胞
- 相关疾病:
T淋巴细胞白血病细胞
- 物种来源:
哺乳动物
- 免疫类型:
详询
- 细胞形态:
悬浮
- 是否是肿瘤细胞:
是
- 器官来源:
T淋巴细胞白血病细胞
- 运输方式:
顺丰快递
- 年限:
5年
- 生长状态:
生长良好
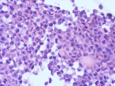
【STR鉴定】Jurkat(clone E6-1)细胞、Jurkat(clone E6-1)T淋巴细胞白血病细胞








风险提示:丁香通仅作为第三方平台,为商家信息发布提供平台空间。用户咨询产品时请注意保护个人信息及财产安全,合理判断,谨慎选购商品,商家和用户对交易行为负责。对于医疗器械类产品,请先查证核实企业经营资质和医疗器械产品注册证情况。
文献和实验该产品被引用文献
*发表【中文论文】请标注:由上海继和生物科技有限公司提供;
*发表【英文论文】请标注:From Shanghai Jihe Biotechnology Co., Ltd.
*发表【英文论文】请标注:From Shanghai Jihe Biotechnology Co., Ltd.
技术资料文献支持
【STR鉴定】Jurkat(clone E6-1)、Jurkat(clone E6-1)细胞、Jurkat(clone E6-1)T淋巴细胞白血病细胞
¥1200 - 2280






