2 年
手机商铺
技术资料/正文
116 人阅读发布时间:2025-08-13 09:29
Ca2+-activated chloride (Cl- ) channels (CaCCs)是无所不在的,是正常生理功能的重要调节因子,包括神经元兴奋性、平滑肌细胞收缩、上皮液分泌和胃肠运动。在临床上,它们已被认为是治疗哮喘、分泌性腹泻和高血压的潜在药物靶点。CaCCs是电压和钙离子(Ca2+)激活的氯离子通道,通常位于质膜中,并受细胞内游离钙离子(Ca2+i)水平的调节。如今,越来越多的证据表明,CaCCs参与肿瘤发生、癌症进展、转移、细胞增殖和迁移。Discoveredongist -1(DOG1)是CaCC家族的新成员,也被称为跨膜蛋白16A (TMEM16A)或Anotamin 1(ANO1)。
胃肠道间质瘤 (GIST) 是肉瘤(结缔组织癌性肿瘤),原发于食管、胃或肠道壁内的间充质前体细胞。GIST 是消化道中最常见的肉瘤类型。大多数 GIST 是由控制细胞生长的 C-KIT 基因突变引起的,有些则是由 PDGFRB 基因中的突变引起,该基因提供生成某种蛋白质的说明。
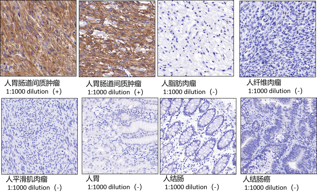
GIST 可发生于遗传综合征患者。一种常见综合征是 1 型神经纤维瘤病。约一半这类肿瘤发生在胃部,一些发生在小肠,少数发生在食管、结肠和直肠。诊断时的平均年龄为 50 至 60 岁。曾为治疗其他肿瘤而接受腹部放疗的患者可能会在日后出现胃肠道间质瘤。这类肿瘤通常生长缓慢,但有些肿瘤生长较快并会扩散到其他部位(转移)。GIST 的症状取决于肿瘤的位置,但可包括腹痛、出血、消化不良和少量进食后有饱胀感。如果肿瘤长大到足以阻塞消化道,则可能发生恶心和呕吐。对于胃肠道间质瘤,最常见的标记是 CD117(也称为 KIT)、DOG1/TMEM16A和 CD34。这些标记物在胃肠道间质瘤中通常呈阳性,有助于疾病的确诊。

Expression of DOG1 in GIST cell lines
TMEM16A的结构

已经证明DOG1/TMEM16A具有8个跨膜结构域,并且该通道以两种CaCC蛋白的二聚体形式组装。它的大而非选择性的通道孔,或p环,位于第五和第六跨膜结构域之间,它也允许除Cl以外的其他带负电荷的离子渗透。DOG1在头颈癌和食管癌中的扩增以及在胃肠道间质瘤(GIST)中的过表达与癌症发展有关。
DOG1/TMEM16A在病理条件下细胞表达的多种调控机制

Signal transduction pathways involved in TMEM16A.
斯达特最新上架两款TMEM16A 病理抗体,性能优越,特异性强,欢迎选购。
验证数据

其他热门肠胃疾病病理抗体


杭州斯达特 (www.starter-bio.com)志在为全球生命科学行业提供优质的抗体、蛋白、试剂盒等产品及研发服务。依托多个开发平台:重组兔单抗、重组鼠单抗、快速鼠单抗、重组蛋白开发平台(E.coli,CHO,HEK293,InsectCells),已正式通过欧盟98/79/EC认证、ISO9001认证、ISO13485。
跟着斯达特学病理靶点:胃肠道间质肿瘤诊断指标DOG1/TMEM16A