2 年
手机商铺
技术资料/正文
226 人阅读发布时间:2025-08-12 09:16
黏液屏障的 "建筑大师":MUC2 的分泌与分子架构
肠道黏膜表面,一层由黏蛋白 2(MUC2)构建的黏液屏障正进行着一场持续的防御战。作为肠道黏液的主要成分,MUC2 由杯状细胞像精密工厂般合成:核糖体翻译的单体在内质网通过二硫键形成二聚体,经高尔基体 O 型糖基化修饰后,以分泌颗粒形式运送到细胞表面,最终在肠腔展开成六边形网状结构,其体积可膨胀千倍以上,形成隔绝病原体的 "黏液城墙"。

在杯状细胞中装配MUC2
MUC2 结构:分子骨架的精妙设计
富含脯氨酸、苏氨酸、丝氨酸的 PTS 区域构成 "弹性支架",占氨基酸总量的 50%;
两端的 vWD 结构域与 CK 结构域如同 "分子胶水",介导 MUC2 聚合成巨型网状聚合物;
糖基化修饰赋予其 "化学盾牌"—— 糖链占分子总量的 50%-80%,其中 Core 3 结构在人体结肠 MUC2 中最为常见,成为肠道微生物的 "定居位点"。

MUC2 蛋白骨架
MUC2 合成调控:微生物、细胞因子与营养素的 "三方博弈"
▶ 微生物:既是 "合作者" 也是 "破坏者"
激活通路:铜绿假单胞菌的 LPS 通过 Src-Ras-ERK 通路激活 NF-κB,诱导 MUC2 转录;次级胆汁酸则通过 EGFR/PKC 等多条信号轴上调 MUC2 表达。
降解作用:产气荚膜梭菌的 ZmpB 蛋白酶可切断糖基化肽键,脆弱芽孢杆菌能利用 MUC2 的 O - 聚糖作为碳源,而膳食纤维缺乏时,粪便拟杆菌会降解黏液。

肠黏液层与宿主-微生物群相互作用
▶ 细胞因子:炎症信号的 "转换器"
Th1 类细胞因子(IL-1β、TNF-α)通过 PKC/MEK 通路促进 MUC2 合成,却又因 JNK 通路的抑制作用形成 "双向调控";Th2 类细胞因子(IL-4、IL-13)则通过 MAPK 磷酸化直接开启 MUC2 基因表达,在过敏与感染中扮演不同角色。
▶ 营养素:黏液屏障的 "营养工程师"
短链脂肪酸(膳食纤维发酵产物)可增加杯状细胞数量,断奶仔猪实验显示其能提升回肠 MUC2 表达;
苏氨酸作为关键氨基酸,不仅促进仔猪小肠 MUC2 合成,还能改善鸡胚肠道黏膜形态;
维生素 A 缺乏会损害 MUC2 表达,而有机锌可通过降低 DNA 甲基化水平,缓解肠道损伤
MUC2 异常:肠道疾病的 "多米诺骨牌"
▶ 应激性疾病:从 "防御亢进" 到 "屏障崩塌"
断奶仔猪早期 MUC2 表达升高是应激保护反应,但 7 天后杯状细胞耗竭导致分泌减少;热应激则通过诱导杯状细胞凋亡,使肉鸡肠道 MUC2 含量骤降,引发腹泻。
▶ 感染性疾病:病原体的 "黏液破解术"
溶组织阿米巴的半胱氨酸蛋白酶、鞭虫的丝氨酸蛋白酶专门靶向 MUC2 的 N - 末端聚合域;
轮状病毒与禽流感 H9N2 病毒会直接抑制 MUC2 合成,而猪流行性腹泻病毒(PEDV)感染后,肠道黏液中 MUC2 含量下降成为腹泻主因。
▶ 炎症性肠病(IBD):糖基化的 "错误编程"
UC 患者 MUC2 糖链缩短、唾液酸化增加,导致黏液黏性下降;CD 患者虽黏液层增厚,但糖链长度减少 50%,屏障功能反而削弱。MUC2 缺陷小鼠会自发出现肠道炎症,证实其 "免疫稳态调节器" 的角色。
从防御屏障到疾病枢纽,MUC2 的双重身份揭示了肠道稳态的动态平衡机制。目前,通过调控微生物 - 黏液互作(如补充膳食纤维促进短链脂肪酸生成)、优化营养素配比(如苏氨酸与锌的协同作用),以及开发 MUC2 糖基化调节剂,正成为防治肠道疾病的新方向。正如研究者所言:"理解 MUC2 的分子密码,或许是打开肠道健康大门的关键钥匙。"
斯达特依托专用兔单B细胞抗体开发平台,提供优质抗体,为您研究保驾护航
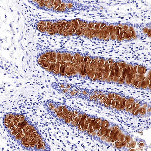
S-RMab® MUC2 Recombinant Rabbit mAb (SDT-345-148) (货号:S0B2331)

验证数据:

IHC shows positive staining in paraffin-embedded human colon. Anti-MUC2 antibody was used at 1/200 dilution, followed by a HRP Polymer for Mouse & Rabbit IgG (ready to use). Counterstained with hematoxylin. Heat mediated antigen retrieval with Tris/EDTA buffer pH9.0 was performed before commencing with IHC staining protocol.
其他相关抗体推荐:

杭州斯达特 (www.starter-bio.com)志在为全球生命科学行业提供优质的抗体、蛋白、试剂盒等产品及研发服务。依托多个开发平台:重组兔单抗、重组鼠单抗、快速鼠单抗、重组蛋白开发平台(E.coli,CHO,HEK293,InsectCells),已正式通过欧盟98/79/EC认证、ISO9001认证、ISO13485。