3 年
手机商铺
技术资料/正文
145 人阅读发布时间:2025-08-31 09:33
北 京 基 尔 比 生物科技公司主营产品:
Kilby Gravity 微超重力三维细胞培养系统,
动植物/微生物的地面重力环境模拟装置【可以定制】,
Kilby Bio类器官培养摆动式精密灌注摇床,
Kirkstall Quasi Vivo 类器官3D串联仿生共培养系统

请联系我们,了解更多产品详情!
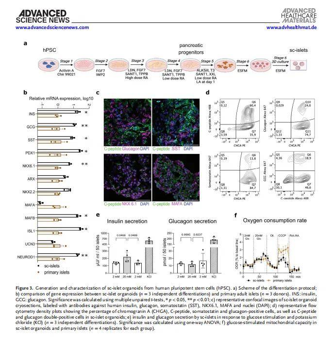
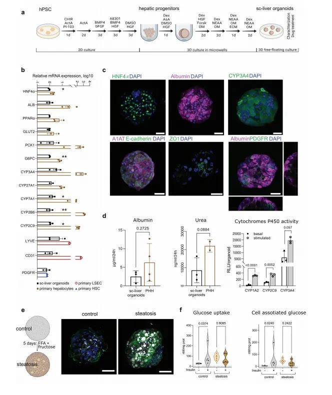
(一)人类多能干细胞(hPSC)来源的肝类器官(sc-liver organoids) 和 胰岛类器官(sc-islet organoids) 的培养步骤,涵盖从干细胞起始到成熟类器官的全过程

✅ 一、sc-肝类器官(sc-liver organoids)
📌 起始细胞:
📌 培养基准备:
📌 分化步骤(共10阶段,约30天):
阶段
天数
培养基组成
关键因子
1. 定型内胚层
Day 0–1
IMDM/F12 + 1% lipid concentrate + transferrin + Activin A (100 ng/mL) + CHIR99021 (3 μM) + PI-103 (50 nM)
Activin A, CHIR99021
Day 1–3
同上,去除 CHIR/PI-103,仅保留 Activin A
Activin A
2. 肝祖细胞诱导
Day 3–6
IMDM/F12 + N2 + B27(-VitA) + lipid concentrate + FGF2 (10 ng/mL) + BMP4 (20 ng/mL)
FGF2, BMP4
3. 肝母细胞扩增
Day 6–9
同上 + A8301 (5 μM) + HGF (20 ng/mL)
HGF, A8301
4. 肝细胞成熟前期
Day 9–12
同上 + HGF (25 ng/mL) + DMSO (1%)
HGF, DMSO
5. 类器官形成
Day 12–13
用 Accutase 消化细胞 → 转入 agarose U-bottom microwells → 形成球体
Y-27632, Dexamethasone, ITS, Oncostatin M
6. 肝类器官成熟
Day 13–23
William’s E + 5% FBS + HGF + Oncostatin M + ITS + Dexamethasone
HGF, Oncostatin M
7. 最终成熟
Day 23–33
William’s E + ITS + Dexamethasone + Oncostatin M + NEAA + DAPT(10 μM)
DAPT(Notch抑制剂)
✅ 二、sc-胰岛类器官(sc-islet organoids)
📌 起始细胞:
📌 培养基准备:
📌 分化步骤(共6阶段,约30-35天):
阶段
天数
培养基组成
关键因子
1. 定型内胚层
Day 0–1
MCDB131 + CHIR99021 (3 μM) + Activin A (100 ng/mL)
CHIR, Activin A
Day 1–4
MCDB131 + Activin A (100 ng/mL)
Activin A
2. 原始肠管
Day 4–6
MCDB131 + VitC (0.255 mM) + IWP2 (1.25 μM) + KGF (50 ng/mL)
KGF, IWP2
3. 后前肠
Day 6–8
MCDB131 + LDN193189 (0.2 μM) + TPPB (0.2 μM) + RA (2 μM) + SANT1 (0.25 μM) + KGF
RA, SANT1, LDN
4. 胰腺前体
Day 8–12
同上,RA降至0.1 μM
RA, SANT1
5. 内分泌前体
Day 12–13
MCDB131 + ALK5抑制剂II (10 μM) + T3 (1 μM) + XXI (1 μM) + Latrunculin A (1 μM)
ALK5抑制剂, T3
Day 13–19
同上,去除Latrunculin A
ALK5抑制剂, T3
6. 胰岛成熟
Day 19–26
ESFM(无血清强化培养基)
每日换液
7. 类器官形成
Day 26–33
TrypLE消化 → 转入超低吸附板 → 摇床培养 → 形成胰岛球体【北京基尔比生物公司提供类器官培养精密摇床,适配类器官芯片,细胞培养孔板,玻底培养皿等】

✅ 三、类器官共培养(on-chip)【北京基尔比生物提供Kirkstall Quasi Vivo 3D串联芯片仿生共培养系统】
📌 芯片准备:
📌 共培养基组成(1:1混合):
📌 培养条件:
✅ 附:关键试剂与供应商(部分)
试剂
供应商
目录号
Geltrex
Thermo Fisher
A1413201
CHIR99021
Selleckchem
S2924
Activin A
PeproTech
120-14
HGF
PeproTech
100-39H
Oncostatin M
PeproTech
300-10
Dexamethasone
Sigma
D4902
DAPT
Sigma
D5942
William’s E
Gibco
12551-032
ITS
Gibco
51500056
TrypLE
Gibco
12604013

(二)无泵循环微流控平台(dual pump-less recirculating organ-on-chip, dual-rOoC) 是本文整个研究的核心技术载体
功能类别
具体实现
技术亮点
1. 无泵循环
通过重力驱动+周期性倾斜平台实现液体循环,无需外接泵或管道
简化系统结构,提升可扩展性与易用性
2. 双回路独立控制
设备内设两条独立流体回路,分别培养胰岛类器官与肝类器官
可独立采样、分析各器官的分泌组
3. 双向分子交换
两回路间由多孔膜隔开,允许胰岛素、葡萄糖、细胞因子等分子双向扩散
模拟体内胰岛-肝脏代谢对话
4. 模拟代谢疾病状态
通过添加脂肪酸+果糖构建“肥胖模型”,诱导脂肪堆积、胰岛素抵抗
成功复现T2DM/MASLD早期病理特征
5. 药物测试平台
在芯片中测试二甲双胍、托布酰胺、TEPP46等抗糖尿病药物
结果与临床/动物模型一致,具备预测性
✅ 二、结构与设计作用

✅ 三、在实验中的具体作用
✅ 1. 维持类器官功能
✅ 2. 模拟代谢对话
✅ 3. 构建疾病模型

✅ 4. 药物响应验证

✅ 四、技术优势总结,Adv. Healthcare Mater. 2024, 13, 2303785


Kirkstall Quasi Vivo®类器官串联3D仿生共培养系统