3 年
手机商铺
公司新闻/正文
225 人阅读发布时间:2025-05-27 16:04
肺损伤后的修复过程究竟是如何调控的?为什么有些修复是正常的,而有些却走向异常?这些问题长期以来困扰着科学家。如今,单细胞RNA测序和谱系追踪技术的强强联合,为我们揭开了这一谜题的关键答案。通过这两项技术,研究者不仅精准定位了AF1间充质细胞在肺再生中的核心作用,还揭示了Notch信号在调控损伤修复中的关键地位。这些发现不仅为理解肺损伤修复提供了全新视角,更为开发靶向治疗策略奠定了科学基础。
一. 研究背景
肺损伤后的修复过程涉及复杂的细胞和分子机制,其中肺泡和气道干细胞之间的竞争在决定修复结果中起关键作用。尽管间充质细胞在肺损伤后的反应已被广泛研究,但其在肺泡再生中的具体功能及其对干细胞竞争的调控机制仍不清楚。本研究旨在揭示间充质细胞在肺损伤修复中的动态作用,特别是AF1间充质细胞通过Notch信号调控损伤诱导微环境的机制,以及如何通过干预这些信号通路促进正常肺泡再生。通过整合谱系追踪、单细胞RNA测序和功能实验,研究揭示了AF1细胞在损伤后表现出可塑性,并通过Notch信号建立微环境,直接促进基底细胞侵入肺泡区域。阻断AF1细胞的Notch信号可逆转信号传导,增强促肺泡再生的Wnt和Fgf信号,从而改善修复结果。这些发现不仅阐明了间充质细胞在肺再生中的核心作用,还为开发靶向间充质细胞的治疗策略提供了理论基础。
二. 文章详情
文章题目:An injury-induced mesenchymal-epithelial cell niche coordinates regenerative responses in the lung
中文题目:损伤诱导的间充质-上皮细胞生态位协调肺再生反应
发表时间:2024.12
期刊名称:Science
影响因子:44.8
DOI:10.1126/science.ado5561
三. 研究结果
1、表达Pdgfra的细胞是肺损伤后的主要反应性间充质,并表现出祖细胞功能
为了解决肺损伤后间充质细胞在肺泡再生中的作用问题,研究通过单细胞RNA测序(scRNA-seq)和谱系追踪技术,发现肺泡成纤维细胞1(AF1)和肺泡成纤维细胞2(AF2)在肺损伤中发挥不同作用。AF1表达Pdgfra,具有祖细胞功能,在损伤后增殖并分化为AF2;而AF2表达Pdgfrb,主要定位于严重损伤区域,与异常Krt5+上皮共存。结果表明,Pdgfra+细胞是肺损伤后的主要反应性间充质,并通过分化为AF2参与修复过程。

Fig1. 肺部Pdgfra+间充质细胞的反应性与可塑性
2、损伤诱导的肺肌成纤维细胞是AF1祖细胞的短暂状态
为了探究肺损伤后肌成纤维细胞的来源和动态变化,研究通过动态基因表达分析和谱系追踪实验,发现AF1细胞在损伤后短暂分化为Acta2+肌成纤维细胞,并最终过渡为AF2。这一现象在H1N1感染和博来霉素诱导的肺损伤模型中均得到验证。结果表明,肌成纤维细胞是AF1祖细胞在分化过程中的短暂状态,并在严重损伤区域持续存在。

Fig2. 肺损伤与再生过程中Acta2表达细胞的来源与命运
3、阻断AF1细胞分裂抑制异常修复并促进正常上皮再生
为了研究AF1细胞增殖在肺泡再生中的作用,研究通过遗传删除Ect2基因阻断AF1细胞分裂,发现阻断AF1细胞分裂显著减少了异常Krt5+上皮的生成,并促进了正常肺泡上皮细胞的增殖。结果表明,AF1细胞的增殖和扩张是异常修复的关键,阻断其分裂能够促进肺损伤后的正常再生。

Fig3. 选择性抑制间充质细胞胞质分裂抑制损伤诱导的组织微环境形成并促进真性肺泡修复
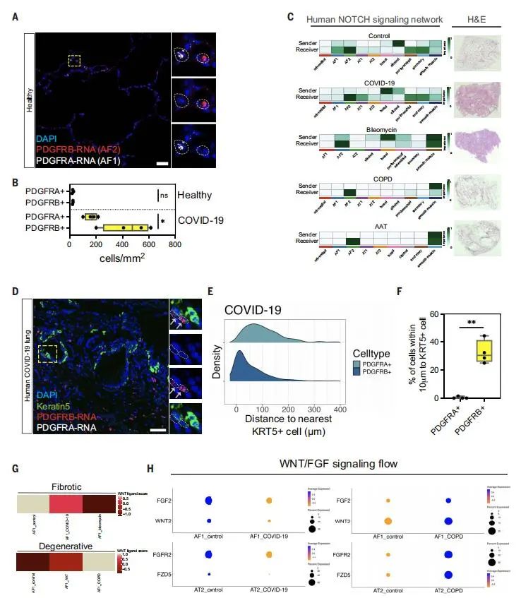
4、AF1衍生的AF2细胞与异常Krt5+上皮形成损伤诱导的组织微环境
为了揭示AF1衍生的AF2细胞与异常Krt5+上皮之间的相互作用,研究通过转录因子活性分析和空间定位技术,发现AF2细胞通过Notch信号与Krt5+上皮形成损伤诱导的微环境。结果表明,AF2细胞在损伤后通过Notch信号与异常上皮相互作用,形成独特的修复微环境。

Fig4. Pdgfra来源的AF2细胞嵌入损伤诱导的微环境中并富集Notch信号通路
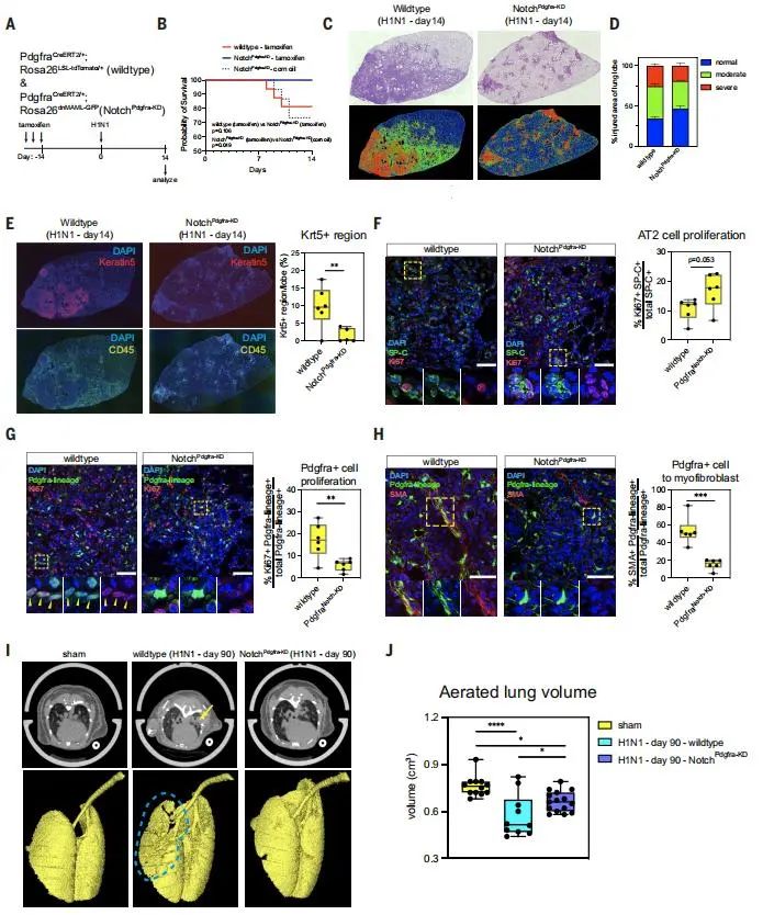
5、谱系选择性抑制间充质Notch信号阻断异常修复并促进正常肺泡再生
为了验证间充质Notch信号在异常修复中的作用,研究通过基因敲除技术阻断Pdgfra+细胞中的Notch信号,发现抑制Notch信号显著减少了Krt5+异常上皮的生成,并促进了AT2细胞的增殖。结果表明,间充质Notch信号是异常修复的关键调控因子,抑制其信号能够促进正常肺泡再生。

Fig5. 抑制间充质Notch信号通路可减弱异常肺泡重塑
6、通过Notch抑制阻断损伤诱导微环境形成增强肺泡微环境中Wnt和Fgf信号的流动和方向
为了研究Notch信号对肺泡微环境中信号网络的影响,研究通过scRNA-seq和信号通路分析,发现抑制Notch信号后,Wnt和Fgf信号在AF1和AT2细胞之间的流动显著增强。结果表明,Notch信号通过调控Wnt和Fgf信号的流动和方向,影响肺泡微环境的再生模式。

Fig6. 间充质Notch信号通路重塑肺泡信号微环境
7、通过损伤诱导微环境的存在和肺泡信号重连划分人类肺病表型
为了探讨损伤诱导微环境在人类肺病中的作用,研究通过scRNA-seq和病理分析,发现纤维化肺病(如COVID-19后肺病和博来霉素诱导的肺损伤)中存在Notch介导的损伤微环境,而退行性肺病(如COPD和AAT)中Wnt和Fgf信号增强。结果表明,损伤诱导微环境的存在和肺泡信号的重连可用于划分不同类型的人类肺病表型。

Fig7. 利用Notch、Wnt和Fgf间充质-上皮信号网络模拟人类慢性肺疾病表型
四. 主要结论
本研究整合了谱系追踪和单细胞RNA测序(scRNA-seq)数据结果,揭示了调控肺泡修复中正常(euplastic)与异常(dysplastic)修复平衡的时空信号模式,这一平衡通过调节气道(基底细胞)和肺泡(AT2细胞)干细胞之间的竞争实现。AF1间充质细胞在急性损伤后表现出可塑性,并依赖Notch信号建立和维持损伤诱导的微环境,直接促进基底细胞侵入肺泡微环境。阻断AF1细胞的Notch信号会导致信号传导流动的逆转,增加促肺泡再生信号(如Wnt和Fgf)的水平。因此,间充质细胞是调控肺泡再生能力和严重肺损伤后干细胞竞争的核心参与者,表明这些细胞可以作为靶点,以改善损伤后的肺泡再生。
参考文献
Jones, Dakota L et al. “An injury-induced mesenchymal-epithelial cell niche coordinates regenerative responses in the lung.” Science (New York, N.Y.) vol. 386,6727 (2024): eado5561.