18 年
手机商铺
入驻年限:18 年
市场部
北京 丰台区
实验室仪器 / 设备、技术服务
生产厂商
公司新闻/正文
316 人阅读发布时间:2022-11-08 10:21
肥胖一直是大众关心的健康性问题之一。肥胖人群中大约有40%来源于遗传基因。另外,长期的能量摄入与消耗不均衡也能够导致肥胖。而且已经有实验提出菌群也是与控制体重和能量恒定相关性的因素之一。
饮食代谢反应中的肠道菌群与宿主之间的相互关系,早期的微生物环境异常与肥胖程度的发展和后期代谢紊乱相关。近期相关研究提出,益生菌拥有影响代谢进程和减肥效果的能力。之前实验中,利用用于治疗高血脂和脂肪肝的一种减肥膳食补充剂甲壳质和US超声波结合,控制体重水平和局部脂肪沉积(正常饮食小鼠实验5周时间)。我们发现该综合治疗方法大幅度减轻局部脂肪含量,体重和血脂水平。然而,应用在HFD和长期服用多种不同膳食补充剂的小鼠上的该种综合治疗疗效还不确定。
将乳酸菌应用在肥胖治疗方面的相关文章已经发表在众多刊物上。例如,对补充鼠李糖乳杆菌PL60的营养性肥胖小鼠在8周之内的减肥效果进行研究。尽管附睾脂肪细胞的尺寸减小,但该小鼠的脂肪组织的细胞凋亡信号和mRNA水平升高。益生菌的治疗方法也改变了多种代谢途径。
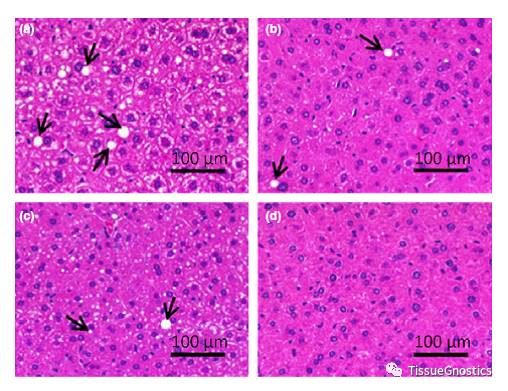
慢性全身性脂多糖诱导的炎症往往会成为导致肥胖的部分原因。已经通过实验证明,乳酸菌能够通过调节肠道菌群,控制炎症部位发展及干涉相关基因表达从而达到抑制肥胖的作用。之前研究表明,利用摄取乳酸菌而干扰副交感神经活动可以抑制由高脂饮食(HFD)习惯导致的肥胖。但是,究竟哪种方法是有效率的抑制肥胖呢?本实验中,在8周时间内对高脂饮食的小鼠中摄入乳酸菌的同时加入超声波条件探究控制体重和体脂沉积的情况。实验分为4组:对照组(H);只摄取乳酸菌(HB);只加入超声波(HU);同时乳酸菌和超声波(HUB)。在附睾脂肪垫的右侧腹股沟部分进行US。在第八周,HUB组的小鼠体重下降明显(体重增加了15.56%±1.18%),而HU组增加了26.63±0.96%,H组增加了32.62±5.03%。高分辨率断层扫描显示自体总脂肪含量的减少在HUB中显著(69%),HB组为52%,HU组为37%。HUB组中的皮下脂肪垫厚度降低程度高为最终脂肪厚度为340±7um, H组为1150±21um, HB组为1060±18um,HU组为370±5um。得出结果,HUB组的同时乳酸菌和超声波条件治疗方法在减轻体重,总脂肪和局部脂肪沉积程度,脂肪细胞尺寸,血脂水平方面效果较佳;并且单独US超声波的治疗方法在降低HFD引起的高血脂方面效果明显。该篇文章由台湾大学生物医学工程研究所于2016年发表。
实验中,样本利用奥地利TissueGnostics公司TissueFAXS 系统扫描获取图像并且得出皮下脂肪的厚度和脂肪组织的尺寸,然后利用TissueQuest和HistoQuest软件得到类流式散点图。

该图中为HE染色的4组实验组并且得到相对应定量分析附睾脂肪垫的面积。

该图中为HE染色的4组实验数据。得到相对应定量分析皮下脂肪垫的面积。

利用HE染色的肝组织中脂肪空泡的8周积聚情况。(a)对照组,没有摄入膳食补充剂和US (b)只摄入乳酸菌 (c)只加入US超声波 (d)同时加入膳食补充剂和US。