相关产品推荐更多 >
万千商家帮你免费找货
0 人在求购买到急需产品
- 详细信息
- 询价记录
- 技术资料
- 提供商:
晶莱生物
- 服务名称:
鼠急性肺损伤(ALI)模型
- 规格:
实验服务
急性肺损伤( ALI) 是由于肺内外致病因素造成弥漫性炎性肺泡浸润、出血、肺水肿和透明膜形成,患者血氧结合能力降低为主的危急症候,严重者发展为急性呼吸窘迫综合征 。
在过去的二十年里,已经开发了几种治疗策略,并取得了显著的进展;然而,死亡率仍然很高,超过三分之一的患者死亡,一些幸存者由于长期低氧而出现脑损伤等并发症。目前 ALI 的病死率仍相当高,为 29%~42%,且与致病因素有很大关系;败血症的病死率约为43%,肺炎和误吸的病死率分别为 36%和37%,重大创伤则为11%。
研究发现强烈的炎症反应和肺泡毛细血管膜通透性增加在急性肺损伤的病理生理机制中起重要作用。制备稳定的动物模型对观察ALl 病理改变和探究潜在药物作用机制和防治并发症等具有重要意义。
目前关于 ALI 模型制备途径主要分为原发诱导和继发诱导两种。原发诱导通过向气管内滴注脂多糖( LPS) 、盐酸、活的( 或热杀死) 细菌和病毒等物质直接诱导肺部损伤,而继发诱导则是由其他疾病诱发ALI 包括烧伤、腹腔注射 LPS、盲肠结扎穿刺等。脂多糖刺激已被广泛认为是通过致炎建立与临床相关的 ALI 动物模型的有效策略。LPS诱导的 ALI 动物模型肺部炎性细胞聚集、肺泡毛细血管通透性增加导致弥漫性肺水 肿、肺出血等症。
目的:
小鼠LPS诱导复制急性肺损伤模型,观察研究药物对小鼠急性肺损伤模型的保护作用及机制。
方法:
1、小鼠腹腔注射麻醉, 麻醉深度为中度 (昏迷但掐尾有反应);
2、根据小鼠体重按10mg/kg的剂量, 计算10mg/mL浓度的LPS的给药体积 (总体积控制在30~50μL最佳) ;
3、移液器精确吸取所需滴注液体的体积, 右手拉住小鼠尾巴, 左手拇指和食指抓住小鼠耳朵, 控制住小鼠的头部, 轻轻推移液器, 枪头可见吸取的小液滴 (约2μL/滴) , 轻轻靠向小鼠右鼻孔, 左手立刻快速有力度的向上提30~40cm, 再缓慢轻轻回到左手起始位置 (小鼠始终保持鼻孔朝上) , 进行来回10次;
4、然后同样的操作向小鼠左鼻孔滴加小液滴, 左右鼻孔依次滴加, 直至液体滴注完成, 最后松开小鼠, 将小鼠利用胶带固定于鼠板, 腹部朝上、头部朝上倾斜的体位保持30min以上, 待小鼠复苏, 放回鼠笼饲养观察。

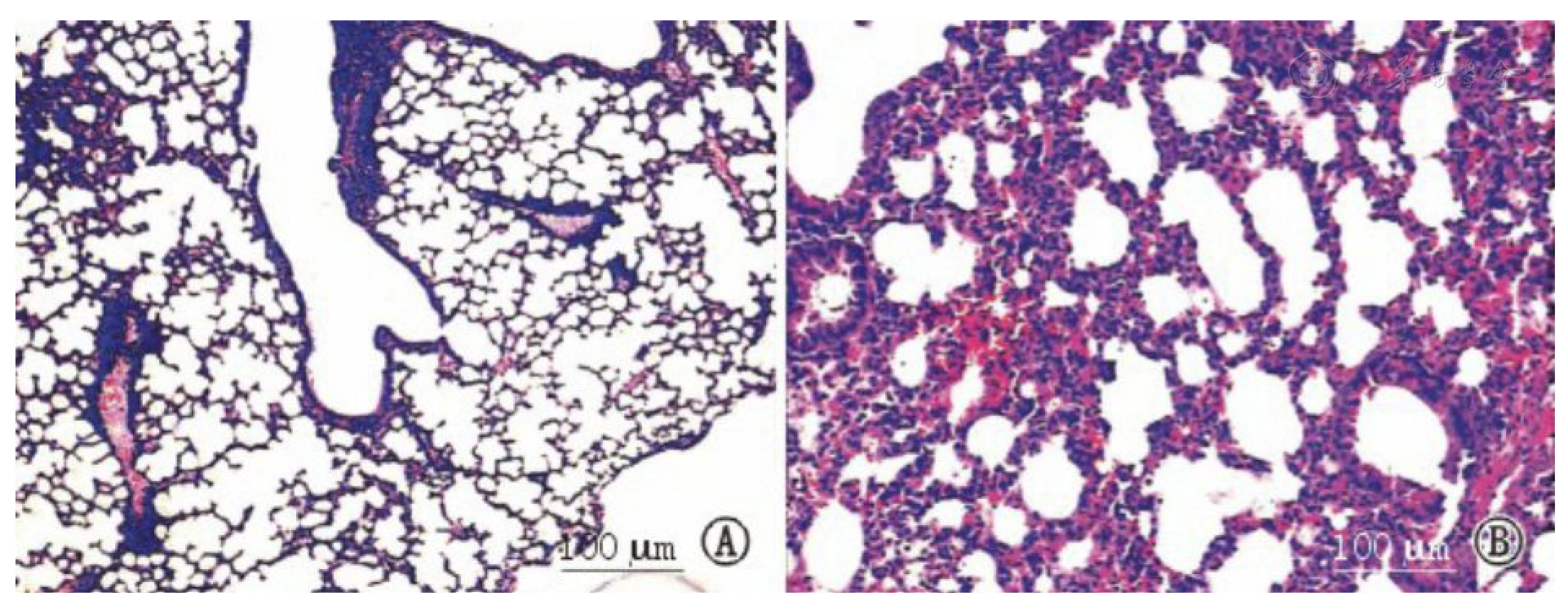
对照组A和实验组B小鼠肺组织病理图(HE染色,×100)
模型评价:
1.肺损伤后的大体观察:
肺损伤后有肉眼可见肺部大面积出血渗出,可以直观的反映肺损伤程度。
2.肺的湿/干重比:
肺的湿/干重比是反应肺水肿的直接指标,也是反应肺损伤严重程度的敏感指标。建模后,大量液体渗出至肺泡和肺间质,导致肺的重量增大,而肺的干重则不受影响。处死大鼠、剪断气管后取全肺,称湿重,然后将肺置于65℃恒温箱中干燥,24h 后取出称干重,计算肺湿/干重比值。
组织病理学:
取左肺4%多聚Jia醛固定,然后将肺组织常规脱水,石蜡包埋,切片(厚度为5μm),HE染色。HE染色肺组织学评价可以直观的反应肺损伤的程度,ALI组织病理学主要表现为肺泡中性粒细胞及红细胞的渗出,肺泡壁透明膜的形成。HE染色后可在低倍镜下观察到整个左肺组织的炎症细胞浸润、水肿以及损伤,评估肺部损伤分布情况;而高倍镜下则可以对肺泡结构进行辨认,对肺损伤程度进行评估和评分。
评分方法:取6个视野进行出血及水肿评分。
0分:没有损伤
1分:<25%的损伤面积
2分:25%~50%的损伤面积
3分:50%~75%的损伤面积
4分:>75%的损伤面积
晶莱生物服务流程

收费标准/服务周期/提供结果:
欢迎咨询详谈,我们会根据您的方案及需求制定详细的服务协议。
更多实验技术服务请浏览网站其他内容,或来电咨询!
做实验,找晶莱!您的科研生涯,我们一路相伴!
【平台项目开展范围】慢病毒,腺病毒,RNAi类,分子生物实验,病理实验,免疫学实验,细胞实验,动物实验,蛋白组学实验,芯片类实验,并为广大客户朋友们提供课题设计指导、基金申请指导等服务。
【北京公司】北京经济技术开发区科创十三街12号院德为科技园1号楼5层
【长沙公司】长沙市高新区麓谷大道627号新长海中心A1-1203室
【晶莱生物】已开展了数千个实验外包项目。我们专注于医学课题研究,已从课题申请、方案设计、试剂采购、模型构造、标本检测、数据分析,各个环节积累了数千个成功案例经验,为数千个来自临床的科研工作者解决了大量的科研问题。更多相关实验服务信息请咨询晶莱生物
风险提示:丁香通仅作为第三方平台,为商家信息发布提供平台空间。用户咨询产品时请注意保护个人信息及财产安全,合理判断,谨慎选购商品,商家和用户对交易行为负责。对于医疗器械类产品,请先查证核实企业经营资质和医疗器械产品注册证情况。
- 作者
- 内容
- 询问日期
技术资料暂无技术资料 索取技术资料









