相关产品推荐更多 >
万千商家帮你免费找货
0 人在求购买到急需产品
- 详细信息
- 技术资料
- 供应商:
上海联迈生物工程有限公司
- 库存:
大量
- 目录编号:
LM-6003R
- 克隆性:
多克隆
- 抗原来源:
Rabbit
- 保质期:
1年
- 抗体英文名:
DAL1/EPB41L3
- 抗体名:
细胞骨架4.1蛋白家族DAL1抗体
- 宿主:
Rabbit
- 适应物种:
Human, Mouse, Rat, Chicken, Dog, Pig, Cow, Horse, Rabbit, Sheep,
- 免疫原:
KLH conjugated synthetic peptide derived from human DAL1/EPB41L3:131-230/1087
- 亚型:
IgG
- 形态:
Lyophilized or Liquid
- 应用范围:
WB=1:500-2000 ELISA=1:500-1000 IHC-P=1:400-800 IHC-F=1:400-800 IF=1:100-500 (石蜡切片需做抗原修复)
- 浓度:
1mg/ml
- 保存条件:
Store at -20 °C
- 规格:
50ul 100ul 200ul
DAL1/EPB41L3细胞骨架4.1蛋白家族DAL1抗体
| 英文名称 | DAL1/EPB41L3 |
| 中文名称 | 细胞骨架4.1蛋白家族DAL1抗体 |
| 别 名 | Differentially expressed in adenocarcinoma of the lung protein 1; 4.1B; Band 4.1 like protein 3; DAL 1; DAL1; EPB41L3; Erythrocyte membrane protein band 4.1 like 3; HGNC:3380; KIAA0987; E41L3_HUMAN. |
| 规格价格 | 50ul/780元 购买 100ul/1380元 购买 200ul/2200元 购买 大包装/询价 |
| 说 明 书 | 50ul 100ul 200ul |
| 研究领域 | 肿瘤 细胞生物 免疫学 神经生物学 细胞骨架 细胞膜蛋白 |
| 抗体来源 | Rabbit |
| 克隆类型 | Polyclonal |
| 交叉反应 | Human, Mouse, Rat, Chicken, Dog, Pig, Cow, Horse, Rabbit, Sheep, |
| 产品应用 | WB=1:500-2000 ELISA=1:500-1000 IHC-P=1:400-800 IHC-F=1:400-800 IF=1:100-500 (石蜡切片需做抗原修复) not yet tested in other applications. optimal dilutions/concentrations should be determined by the end user. |
| 分 子 量 | 120kDa |
| 细胞定位 | 细胞浆 细胞膜 |
| 性 状 | Lyophilized or Liquid |
| 浓 度 | 1mg/ml |
| 免 疫 原 | KLH conjugated synthetic peptide derived from human DAL1/EPB41L3:131-230/1087 |
| 亚 型 | IgG |
| 纯化方法 | affinity purified by Protein A |
| 储 存 液 | 0.01M TBS(pH7.4) with 1% BSA, 0.03% Proclin300 and 50% Glycerol. |
| 保存条件 | Store at -20 °C for one year. Avoid repeated freeze/thaw cycles. The lyophilized antibody is stable at room temperature for at least one month and for greater than a year when kept at -20°C. When reconstituted in sterile pH 7.4 0.01M PBS or diluent of antibody the antibody is stable for at least two weeks at 2-4 °C. |
| PubMed | PubMed |
| 产品介绍 | background: EPB41L3 is an actin-binding protein originally identified as a molecule whose expression is down-regulated in lung adenocarcinoma. EPB41L3 is a member of the protein 4.1 superfamily, which encompasses structural proteins that play important roles in membrane processes via interactions with actin, spectrin, and the cytoplasmic domains of integral membrane proteins. The gene for EPB41L3 is thought to function as a tumor suppressor and localizes within chromosomal region 18p11.3, which is affected by loss of heterozygosity (LOH) in various adult tumors. Function: Critical growth regulator in the pathogenesis of meningiomas. Subunit: Interacts with CADM1. Subcellular Location: Cytoplasm, cytoskeleton Tissue Specificity: Expressed at high levels in brain, with lower levels in kidney, intestine, and testis. Similarity: ontains 1 FERM domain. SWISS: Q9Y2J2 Gene ID: 23136 Database links: Entrez Gene: 23136 Human Entrez Gene: 13823 Mouse Entrez Gene: 116724 Rat Omim: 605331 Human SwissProt: Q9Y2J2 Human SwissProt: Q9WV92 Mouse Unigene: 213394 Human Unigene: 131135 Mouse Important Note: This product as supplied is intended for research use only, not for use in human, therapeutic or diagnostic applications. |
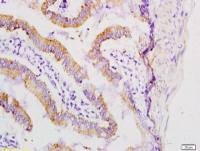
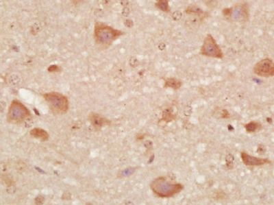
| 产品图片 | ![]() Sample: Brain (Mouse) Lysate at 40 ug Brain (Rat) Lysate at 40 ug U-87MG (Human) CellLysate at 30 ug HepG2 (Human) CellLysate at 30 ug Primary: Anti-DAL1/EPB41L3 (bs-6003R) at 1/500 dilution Secondary: IRDye800CW Goat Anti-Rabbit IgG at 1/20000 dilution Predicted band size: 120 kD Observed band size: 130-140 kD ![]() Paraformaldehyde-fixed, paraffin embedded (Mouse brain); Antigen retrieval by boiling in sodium citrate buffer (pH6.0) for 15min; Block endogenous peroxidase by 3% hydrogen peroxide for 20 minutes; Blocking buffer (normal goat serum) at 37°C for 30min; Antibody incubation with (DAL1(EPB41L3)) Polyclonal Antibody, Unconjugated (bs-6003R) at 1:400 overnight at 4°C, followed by operating according to SP Kit(Rabbit) (sp-0023) instructionsand DAB staining. ![]() Paraformaldehyde-fixed, paraffin embedded (Rat brain); Antigen retrieval by boiling in sodium citrate buffer (pH6.0) for 15min; Block endogenous peroxidase by 3% hydrogen peroxide for 20 minutes; Blocking buffer (normal goat serum) at 37°C for 30min; Antibody incubation with (DAL1(EPB41L3)) Polyclonal Antibody, Unconjugated (bs-6003R) at 1:400 overnight at 4°C, followed by operating according to SP Kit(Rabbit) (sp-0023) instructionsand DAB staining. |
风险提示:丁香通仅作为第三方平台,为商家信息发布提供平台空间。用户咨询产品时请注意保护个人信息及财产安全,合理判断,谨慎选购商品,商家和用户对交易行为负责。对于医疗器械类产品,请先查证核实企业经营资质和医疗器械产品注册证情况。
技术资料暂无技术资料 索取技术资料
DAL1/EPB41L3细胞骨架4.1蛋白家族DAL1抗体
¥780 - 2200












