相关产品推荐更多 >
万千商家帮你免费找货
0 人在求购买到急需产品
- 详细信息
- 技术资料
- 免疫原:
KLH conjugated synthetic peptide derived from human PRODH
- 亚型:
IgG
- 形态:
液态/冻干粉
- 保存条件:
Store at -2035 °C
- 克隆性:
多克隆
- 宿主:
rabbit
- 应用范围:
IHC-P=1:50-100 IHC-F=1:50-1421 (石蜡切片需做抗原修复) not yet tested in other applications.optimal dilutions/concentrations should be determined by the end user.
- 浓度:
1mg/1ml
- 规格:
50ul/100ul/200ul
| 规格: | 50ul | 产品价格: | ¥780.0 |
|---|---|---|---|
| 规格: | 100ul | 产品价格: | ¥1380.0 |
| 规格: | 200ul | 产品价格: | ¥2200.0 |
英文名称Pokemon/ZBTB7A
中文名称扑克蒙蛋白抗体
别 名Factor binding IST protein 1; Factor that binds to inducer of short transcripts protein 1; FBI-1; FBI1; HIV-1 1st-binding protein 1; Leukemia/lymphoma related factor; LRF; Pokemon; TIP21; TTF-I interacting peptide 21; ZBTB7; ZBTB7A; Zinc finger and BTB domain-containing protein 7A; ZBT7A_HUMAN.
Specific References (1) | bs-0891R has been referenced in 1 publications.[IF=2.06] Zhao, Yi, et al. "Pokemon enhances proliferation, cell cycle progression and anti-apoptosis activity of colorectal cancer independently of p14ARF–MDM2–p53 pathway." Medical Oncology 31.12 (2014): 1-8. IHC-P ; Human. PubMed:25367850
规格价格50ul/780元 购买 100ul/1380元 购买 200ul/2200元 购买 大包装/询价
说 明 书50ul 100ul 200ul
研究领域肿瘤 免疫学 微生物学 转录调节因子 细菌及病毒
抗体来源Rabbit
克隆类型Polyclonal
交叉反应 Human, Mouse, Rat,
产品应用WB=1:500-2000 ELISA=1:500-1000 IHC-P=1:400-800 IHC-F=1:400-800 IF=1:100-500 (石蜡切片需做抗原修复)
not yet tested in other applications.
optimal dilutions/concentrations should be determined by the end user.
分 子 量63kDa
细胞定位细胞核
性 状Lyophilized or Liquid
浓 度1mg/ml
免 疫 原KLH conjugated synthetic peptide derived from human Pokemon:151-250/569
亚 型IgG
纯化方法affinity purified by Protein A
储 存 液0.01M TBS(pH7.4) with 1% BSA, 0.03% Proclin300 and 50% Glycerol.
保存条件Store at -20 °C for one year. Avoid repeated freeze/thaw cycles. The lyophilized antibody is stable at room temperature for at least one month and for greater than a year when kept at -20°C. When reconstituted in sterile pH 7.4 0.01M PBS or diluent of antibody the antibody is stable for at least two weeks at 2-4 °C.
PubMedPubMed
产品介绍background:
Pokemon, the POK erythroid myeloid ontogenic factor, not only regulates the expression of many genes, but also plays an important role in cell tumorigenesis. To investigate the molecular mechanism regulating expression of the Pokemon gene in humans, its 5'-upstream region was cloned and analyzed. Transient analysis revealed that the Pokemon promoter is constitutive. Deletion analysis and a DNA decoy assay indicated that the NEG-U and NEG-D elements were involved in negative regulation of the Pokemon promoter, whereas the POS-D element was mainly responsible for its strong activity. Electrophoretic mobility shift assays suggested that the NEG-U, NEG-D and POS-D elements were specifically bound by the nuclear extract from A549 cells in vitro. Mutation analysis demonstrated that cooperation of the NEG-U and NEG-D elements led to negative regulation of the Pokemon promoter. Moreover, the NEG-U and NEG-D elements needed to be an appropriate distance apart in the Pokemon promoter in order to cooperate. Taken together, our results elucidate the mechanism underlying the regulation of Pokemon gene transcription, and also define a novel regulatory sequence that may be used to decrease expression of the Pokemon gene in cancer gene therapy.
Function:
Plays a key role in the instruction of early lymphoid progenitors to develop into B lineage by repressing T-cell instructive Notch signals (By similarity). Specifically represses the transcription of the CDKN2A gene. Efficiently abrogates E2F1-dependent CDKN2A transactivation/de-repression. Binds to the consensus sequence 5'-[GA][CA]GACCCCCCCCC-3'.
Subunit:
Interacts with BCL6.
Subcellular Location:
Nucleus.
Tissue Specificity:
Widely expressed. In normal thymus, expressed in medullary epithelial cells and Hassle's corpuscles (at protein level). In tonsil, expressed in squamous epithelium and germinal center lymphocytes (at protein level). Up-regulated in a subset of lymphomas, as well as in a subset of breast, lung, colon, prostate and bladder carcinomas (at protein level).
Similarity:
Contains 1 BTB (POZ) domain.
Contains 4 C2H2-type zinc fingers.
SWISS:
O95365
Gene ID:
51341
Database links:
Entrez Gene: 51341 Human
Entrez Gene: 16969 Mouse
Omim: 605878 Human
SwissProt: O95365 Human
SwissProt: O88939 Mouse
Unigene: 591384 Human
Unigene: 20920 Mouse
Important Note:
This product as supplied is intended for research use only, not for use in human, therapeutic or diagnostic applications.
Pokemon(7APOK Erythroid Myeloid Ontogenic factor)能够控制将正常细胞变成癌细胞所需的途径,Pokemon蛋白是转录因子蛋白家族的一员,并且在人类癌症中发生了突变。另外Pokemon蛋白作为转录因子参与一些细胞基因转录的调节,并在细胞分化过程中发挥着关键、多效性的功能。近来发现,Poke-mon在致癌转化过程中发挥着至关重要的功能,并与肿瘤的发生密切相关。
这种蛋白很可能在实质肿瘤中处于重要地位,还有学者认为:Pokemon在一定类型的B细胞和T细胞淋巴瘤中水平非常高,并发现具有高水平Pokemon蛋白表达对肿瘤恶性程度改变更大。
主要定位于细胞核。
扑克蒙”蛋白又称“波克曼”蛋白。
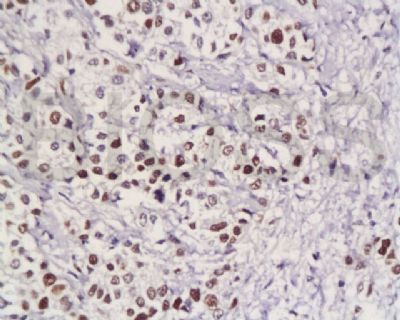
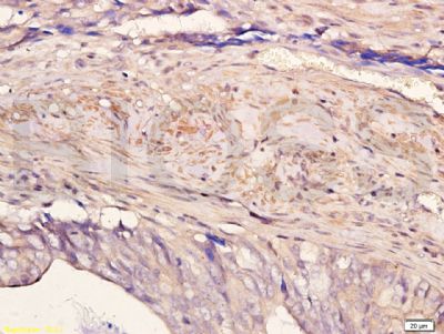
| 产品图片 | ![]() Sample: Hela(Human) Cell Lysate at 30 ug Primary: Anti-Pokemon/ZBTB7A (bs-0891R) at 1/300 dilution Secondary: IRDye800CW Goat Anti-Rabbit IgG at 1/20000 dilution Predicted band size: 63 kD Observed band size: 63 kD ![]() Sample: A431(Human) Cell Lysate at 30 ug Primary: Anti-Pokemon/ZBTB7A (bs-0891R) at 1/300 dilution Secondary: IRDye800CW Goat Anti-Rabbit IgG at 1/20000 dilution Predicted band size: 63 kD Observed band size: 63 kD ![]() Sample: 293T(Human) Cell Lysate at 30 ug Primary: Anti-Pokemon/ZBTB7A (bs-0891R) at 1/300 dilution Secondary: IRDye800CW Goat Anti-Rabbit IgG at 1/20000 dilution Predicted band size: 63 kD Observed band size: 63 kD ![]() Tissue/cell: human gratis carcinoma; 4% Paraformaldehyde-fixed and paraffin-embedded; Antigen retrieval: citrate buffer ( 0.01M, pH 6.0 ), Boiling bathing for 15min; Block endogenous peroxidase by 3% Hydrogen peroxide for 30min; Blocking buffer (normal goat serum,C-0005) at 37℃ for 20 min; Incubation: Anti-Pokemon Polyclonal Antibody, Unconjugated(bs-0891R) 1:200, overnight at 4°C, followed by conjugation to the secondary antibody(SP-0023) and DAB(C-0010) staining ![]() Tissue/cell: human colon carcinoma; 4% Paraformaldehyde-fixed and paraffin-embedded; Antigen retrieval: citrate buffer ( 0.01M, pH 6.0 ), Boiling bathing for 15min; Block endogenous peroxidase by 3% Hydrogen peroxide for 30min; Blocking buffer (normal goat serum,C-0005) at 37℃ for 20 min; Incubation: Anti-Pokemon Polyclonal Antibody, Unconjugated(bs-0891R) 1:200, overnight at 4°C, followed by conjugation to the secondary antibody(SP-0023) and DAB(C-0010) staining |
风险提示:丁香通仅作为第三方平台,为商家信息发布提供平台空间。用户咨询产品时请注意保护个人信息及财产安全,合理判断,谨慎选购商品,商家和用户对交易行为负责。对于医疗器械类产品,请先查证核实企业经营资质和医疗器械产品注册证情况。
技术资料暂无技术资料 索取技术资料
扑克蒙蛋白抗体
¥780 - 2200














