万千商家帮你免费找货
0 人在求购买到急需产品
- 详细信息
- 询价记录
- 技术资料
- 服务名称:
免疫细胞化学实验服务
- 提供商:
晶莱生物
- 规格:
样本

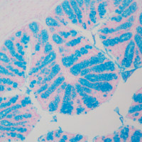
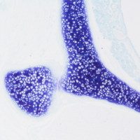
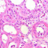
【晶莱生物】免疫细胞化学是将免疫学基本原理与细胞化学技术相结合所建立起来的新技术,根据抗原与抗体特异性结合的特点,检测细胞内某种多肽、蛋白质及膜表面抗原和受体等大分子物质的存在与分布。
一、免疫细胞化学技术的概述
免疫细胞化学(immunocytochemistry, ICC)——是利用抗原与抗体特异性结合的原理,通过化学反应使标记抗体的显色剂 (荧光素、酶、金属离子、同位素) 显色来确定细胞内抗原的成分(主要是多肽和蛋白质),对其进行定位、定性及定量的研究,称为~。
(一) 免疫细胞化学对抗原和抗体的要求
1)具有特异性高和亲和力强的抗体是实验成功的首要条件。
– 对抗体的要求:纯度高、比活性强;
2) 高度特异性抗体的获得,取决于抗原的纯度。
– 对抗原的要求:纯度高,免疫原性强,稳定无变化。
(二) 免疫细胞化学抗原 (antigen, Ag)
1)抗原的概念:凡是在机体内引起体液免疫和(或)细胞免疫反应的物质,称为抗原。抗原具有两个方面的特性:
① 免疫原性:引起机体产生抗体和(或)致敏淋细胞的特性;
② 免疫反应性:抗原能与相应的抗体及致敏淋巴细胞发生特异的结合或反应的特性。
2)根据抗原是否显示免疫原性分为:
① 完全抗原:分子量较大,一般在10kDa以上,并具有较复杂的化学组成。
– 免疫原性最强的是蛋白质抗原,多糖次之;脂类和核酸必需和蛋白质及多糖形成复合物才具有良好的免疫原性。
② 半抗原:又称为不完全抗原,分子量较小。例如:某些短肽、多糖、类脂和药物等。
– 半抗原必需与载体结合,才能获得免疫原性。
免疫细胞化学载体
通常是具有高度免疫原性的大分子物质,具有将免疫原性传递给耦联的半抗原能力。
① 常用的载体有钥孔血蓝蛋白(keyhole limpet hemocyanin,KLH)、牛血清白蛋白(bovine serum albumin, BSA)、卵白蛋白(Ovalbumin,OVA)等。
② 用戊.二.醛或碳化二亚胺作为交联剂通过功能基团-NH2、-COOH等将半抗原结合到载体上。结合比例为5kDa结合5~25个分子的小肽。
(三)抗体 (antibody, Ab)
1、抗体的概念:
① 机体受到抗原刺激后,由浆细胞合成并分泌出一类具有与抗原发生特异性结合的球蛋白,被称为抗体。
② 抗体主要存在于血清内;
③ 抗体都是免疫球蛋白,但免疫球蛋白并不一定都是抗体。
④ 免疫球蛋白根据重链的结构及抗原特异性不同分为五种,既IgG、 IgD、IgE、 IgA、IgM。
2、免疫组化实验中常用的抗体:单克隆抗体和多克隆抗体。
① 单克隆抗体:是一个B淋巴细胞克隆分泌的抗体,是应用细胞融合杂交瘤技术免疫动物制备的。
– 特异性强、抗体产量高。
② 多克隆抗体:是将纯化后的抗原直接免疫动物后,从动物血中所获得的免疫血清,是多个B淋巴细胞克隆所产生的抗体混合物。
– 特异性低,会产生抗体的交叉反应。
– 多克隆抗体广泛应用于石蜡包埋组织切片,可减少假阴性染色机会。
– 抗原与抗体的结合,要求量保持一定比例,当抗原或抗体过量时,是不能聚合成大颗粒。
3、抗体的制备——多克隆抗体的制备
① 动物的选择
② 佐剂(adjuvant)
③ 免疫方法
④ 免疫剂量
⑤ 抗体效价的测定
⑥ 放血或定期抽血
选择什么动物来免疫取决于:
(1) 动物的选择
① 所需抗血清的量
– 小鼠只能提供1.0~1.5ml的血液,而山羊能提供几升。
② 能供免疫用的抗原量
– 小鼠50mg足够,而山羊需要几毫克。
③ 动物的品系:免疫动物与提供抗原的动物之间的种系差异越大越好。
– 例如哺乳动物的抗原可选择非哺乳动物来制备抗体。
– 常用的动物有兔、羊、马、猪等,以兔(新西兰兔,年轻,健壮,体重在2.5kg左右,雄性)为最常用。
晶莱生物服务流程

晶莱生物实验服务流程
收费标准/服务周期/提供结果:
欢迎咨询详谈,我们会根据您的方案及需求制定详细的服务协议。
更多实验技术服务请浏览网站其他内容,或来电咨询!
做实验,找晶莱!您的科研生涯,我们一路相伴!
【平台项目开展范围】慢病毒,腺病毒,RNAi类,分子生物实验,病理实验,免疫学实验,细胞实验,动物实验,蛋白组学实验,芯片类实验,并为广大客户朋友们提供课题设计指导、基金申请指导等服务。
【北京公司】北京经济技术开发区科创十三街12号院德为科技园1号楼5层
【长沙公司】长沙市高新区麓谷大道627号新长海中心A1-1203室
【晶莱生物】已开展了数千个实验外包项目。我们专注于医学课题研究,已从课题申请、方案设计、试剂采购、模型构造、标本检测、数据分析,各个环节积累了数千个成功案例经验,为数千个来自临床的科研工作者解决了大量的科研问题。更多相关实验服务信息请咨询晶莱生物技术人员
风险提示:丁香通仅作为第三方平台,为商家信息发布提供平台空间。用户咨询产品时请注意保护个人信息及财产安全,合理判断,谨慎选购商品,商家和用户对交易行为负责。对于医疗器械类产品,请先查证核实企业经营资质和医疗器械产品注册证情况。
- 作者
- 内容
- 询问日期
技术资料暂无技术资料 索取技术资料
免疫细胞化学ICC
¥50









