相关产品推荐更多 >
万千商家帮你免费找货
0 人在求购买到急需产品
- 详细信息
- 技术资料
- 英文名:
Rat Esophagus: Normal Esophageal Epithelial Cells
- 库存:
大量
- 供应商:
齐氏生物
- 肿瘤类型:
详询
- 细胞类型:
详询
- 品系:
详询
- 组织来源:
详询
- 相关疾病:
详询
- 物种来源:
详询
- 免疫类型:
详询
- 细胞形态:
详询
- 是否是肿瘤细胞:
详询
- 器官来源:
详询
- 运输方式:
详询
- 年限:
详询
- 生长状态:
详询
- 规格:
5×10<sup>5</sup>
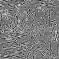
大鼠食管上皮细胞【Rat Esophagus: Normal Esophageal Epithelial Cells】
产品描述:食管被一层线性排列的、无角化、潮湿的复层扁平上皮细胞覆盖。其顶端细胞膜和细胞间连接复合体联合在一起产生有效渗透屏障,防止食管内容物的渗入。特别的是,层屏障使表层细胞的基质外侧细胞膜和深层细胞的全部细胞膜不暴露于食管腔内规律的大幅波动的渗透压之下。从组织学上讲,食管上皮细胞由两层组成,基底层和分化层。仅基底层的细胞可以增殖,然后向食管腔移行。移行过程伴随有分化的发生和分化标记的依序表达。食管上皮培养是研究食管上皮细胞生理和食管癌变机制的非常好的体外模型。齐氏生物科技提供的大鼠食管上皮细胞,均来自新鲜组织。细胞的培养采用公司专利产品大鼠食管上皮细胞培养试剂盒(Rat Esophagus PrimaCell™: Normal Esophageal Epithelial Cells Cat No. 3-7127)来优化目的细胞生长条件,以降低杂细胞(如脂肪细胞、纤维细胞等)的污染,同时保证质量的稳定。在齐氏生物技术部标准的操作流程下,大鼠食管上皮细胞可以保持原代细胞的分化状态,进而可以用于评估体外药物模型系统和调节特定基因的遗传功能。
发货:客户可根据自身科研项目的需要选择不同类型的细胞培养瓶和相应的细胞密度。齐氏生物科技提供的细胞有标准的鉴定流程,保证细胞的纯度在90%以上,且不含有 HIV-1、 HBV、HCV、支原体、细菌、酵母和真菌等。发货的新鲜细胞还包含:1、50ml完全培养基(包含生长因子和血清);2、说明书及注意事项;3、齐氏生物科技售后服务标准;
保存和应用:客户可以根据自己的需求选择新鲜或者冻存的原代细胞,如是新鲜原代细胞,客户收到细胞后应立即将其放入CO2细胞培养箱内静置后2-3h,再进行后续的实验操作。如是冻存细胞,客户收到细胞后应立即将其放入液氮、-80℃冰箱或立即进行复苏。该细胞只可用于科研,不得用于临床应用。
更多产品信息,请咨询 ![]()
![]()
![]()
风险提示:丁香通仅作为第三方平台,为商家信息发布提供平台空间。用户咨询产品时请注意保护个人信息及财产安全,合理判断,谨慎选购商品,商家和用户对交易行为负责。对于医疗器械类产品,请先查证核实企业经营资质和医疗器械产品注册证情况。
技术资料需要更多技术资料 索取更多技术资料
大鼠食管上皮细胞
¥3182










