相关产品推荐更多 >
万千商家帮你免费找货
0 人在求购买到急需产品
- 详细信息
- 文献和实验
- 技术资料
- 英文名:
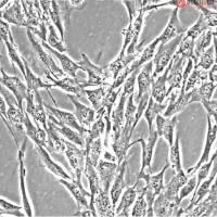
Human Epidermal Melanocytes-light
- 库存:
999
- 供应商:
亿泽丰生物科技(上海)有限公司
- 品系:
原代细胞
- 组织来源:
人表皮组织
- 物种来源:
人
- 器官来源:
皮肤
- 运输方式:
干冰
- 规格:
5 x 10^5 cells/vial
人表皮黑色素细胞-浅色素描述:人黑色素细胞是神经嵴衍生细胞,位于人的某些器官,如皮肤、眼睛、内耳和软脑膜。黑色素细胞不能向这些器官的移动,可以解释先天性皮肤白斑(斑驳病)跟虹膜异色(不同颜色并置)之间的关系以及Waardenburg综合征的先天性耳聋。皮肤黑色素细胞合成并转运黑色素到周围的角质细胞,使皮肤有色素沉积以保护皮肤对抗阳光辐射。随着新的细胞培养技术和改良的培养方法,在成功培养这类细胞在纯种群时,发现了新型的黑色素细胞基因——msgl, 它能编码一种与色素沉着相关的核蛋白。
人表皮黑色素细胞(HEM-l)NO.2200提取于人表皮组织,原代冻存。每管含有细胞数>5×105cells/ml,此细胞通过Fibronectin和NGF-receptor(p75)免疫荧光染色验证,经测试不含有HIV-1、HBV、HCV、支原体、细菌、酵母和真菌。细胞可以达到15倍增。
配套培养基: 黑色素细胞培养基(MelM, Cat. No. 2201)
产品使用说明:仅供科研研究使用
用户发表文献
[1] Gu W J, Ma H J, Zhao G, et al. Additive effect of heat on the UVB-induced tyrosinase activation and melanogenesis via ERK/p38/MITF pathway in human epidermal melanocytes[J]. Archives of dermatological research, 2014, 306(6): 583-590.
[2] Mazar J, Khaitan D, DeBlasio D, et al. Epigenetic regulation of microRNA genes and the role of miR-34b in cell invasion and motility in human melanoma[J]. PloS one, 2011, 6(9): e24922.
风险提示:丁香通仅作为第三方平台,为商家信息发布提供平台空间。用户咨询产品时请注意保护个人信息及财产安全,合理判断,谨慎选购商品,商家和用户对交易行为负责。对于医疗器械类产品,请先查证核实企业经营资质和医疗器械产品注册证情况。
文献和实验1. Adini I, Ghosh K, Adini A, Chi ZL, Yoshimura T, Benny O, Connor KM, Rogers MS, Bazinet L, Birsner AE, Bielenberg DR, D'Amato RJ."Melanocyte-secreted fibromodulin promotes an angiogenic microenvironment." 2014 Jan;124(1):425-36. doi: 10.1172/JCI69404. Epub 2013 Dec 20.
2. Yang J, Bill MA, Young GS, La Perle K, Landesman Y, Shacham S, Kauffman M, Senapedis W, Kashyap T, Saint-Martin JR, Kendra K, Lesinski GB. (2014) "Novel Small Molecule XPO1/CRM1 Inhibitors Induce Nuclear Accumulation of TP53, Phosphorylated MAPK and Apoptosis in Human Melanoma Cells." PloS one. 9: e102983.
3. Li JL, Mazar J, Zhong C, Faulkner GJ, Govindarajan SS, Zhang Z,Dinger ME, Meredith G, Adams C, Zhang S, Mattick JS, Ray A, Perera RJ (2013) 'Genome-wide methylated CpG island profiles of melanoma cells reveal a melanoma coregulation network.'
4. Mazar J, DeYoung K, Khaitan D, Meister E, Almodovar A, Goydos J, Ray A, Perera RJ. (2010) "The regulation of miRNA-211 expression and its role in melanoma cell invasiveness." PLoS One. 5: e13779.
5. Savaraj N, You M, Wu C, Wangpaichitr M, Kuo MT, Feun LG. (2010) "Arginine deprivation, autophagy, apoptosis (AAA) for the treatment of melanoma." Curr Mol Med. 10: 405-12.
6. Doudican N, Rodriguez A, Osman I, Orlow SJ. (2008) "Mebendazole induces apoptosis via Bcl-2 inactivation in chemoresistant melanoma cells." Mol Cancer Res. 6: 1308-15.
7. Palmer MB, Majumder P, Green MR, Wade PA, Boss JM. (2007) "A 3' Enhancer Controls Snail Expression in Melanoma Cells." Cancer Res. 67: 6113-20.
8. May KM, Vogt A, Bachas LG, Anderson KW. (2005) "Vascular endothelial growth factor as a biomarker for the early detection of cancer using a whole cell-based biosensor." Anal Bioanal Chem. 382: 1010-6.
PriCells: 正常人表皮黑色素细胞的培养实验材料:1. 临床活检获取的正常人皮肤材料或新生儿阴茎包皮;2. 不含Ca 2+ 和Mg 2+ 的1×PBS,添加200000IU/L青霉素、200mg/L链霉素,pH7.2;3. 黑素细胞培养液和培养基中各种添加剂的配制:包括以下种类:①胰岛素。贮存液为5mg/ml,即将0.5g的胰岛素溶于1ml 0.01mol/L的HCl液中,双蒸水加至100ml,过滤除菌、分装,-70℃下保存6个月后方可使用。使用时,在500ml培养
11 月 13 日,首都机场出入境检验检疫局检疫人员对一批申报为「塑胶板」(申报货值 50 美元,收货人显示为北京美术学院)的快件进行查验,传说中的塑胶板长这样:此「塑胶板」实际上为 36 瓶胎牛血清、生物试剂等产品。检验检疫部门对发货和收获人的情况进行排查布控,共查获牛血清 93 瓶,其中美国牛血清 21 瓶,新西兰牛血清 1 瓶,墨西哥牛血清 1 瓶,澳大利亚牛血清 70 瓶。检验检疫部门将 4 批涉案牛血清做了相关实验室检测,结果发现牛病毒性腹泻病毒核酸阳性和抗体阳性。牛病毒性腹泻是农业
1、【仪器名称】:进口代谢笼。 2、【仪器型号】:2602动物器具。 3、【生产厂家】:意大利TECNIPLAST公司。 4、【检测适用范围】:完全地分离粪便和尿液,尿液不会被污染。 5、【仪器使用优点、缺点】:独特的漏斗和锥形体设计保证了粪便和尿液的分离收集,尿液不会被污染












