相关产品推荐更多 >
万千商家帮你免费找货
0 人在求购买到急需产品
- 详细信息
- 文献和实验
- 技术资料
- 抗体名:
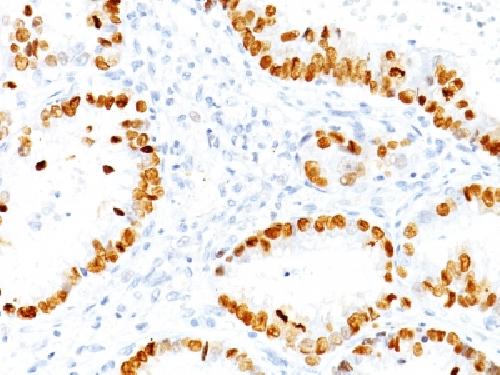
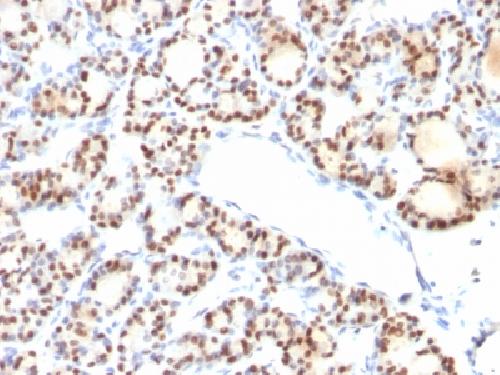
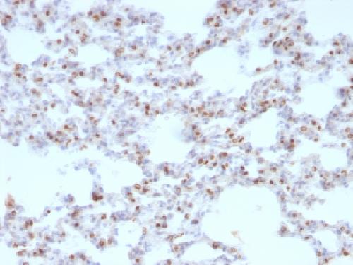
TTF-1 / NKX2.1 (Thyroid & Lung Epithelial Marker) Antibody抗体
- 抗体英文名:
TTF-1 / NKX2.1 (Thyroid & Lung Epithelial Marker) Antibody
- 靶点:
NKX2-1
- 应用范围:
FC, IF, IHC
- 宿主:
Mouse
- 适应物种:
Human, Mouse, Rat
- 保质期:
6-12个月
- 抗原来源:
详询
- 目录编号:
orb388721
- 级别:
科研级
- 库存:
88
- 供应商:
biorbyt
- 标记物:
Unconjugated
- 克隆性:
Monoclonal
- 保存条件:
参考说明书
- 形态:
200ug/ml of Ab purified from Bioreactor Concentrate by Protein A/G. Prepared in 10mM PBS with 0.05% rAlbumin & 0.05% azide. Also available WITHOUT rAlbumin & azide at 1.0mg/ml.
- 亚型:
IgG1
- 免疫原:
Recombinant TTF-1 protein
- 规格:
20 ug
别名:BCH, Benign chorea, BHC, Homeobox protein Nkx2.1, NK2 homeobox 1, NKX2.1, NKX2A, TEBP, Thyroid nuclear factor-1, Thyroid specific enhancer binding protein, Thyroid transcription factor-1 (TTF-1), Tin man, TITF1, TTF-1
免疫原:Recombinant TTF-1 protein
克隆性:NX2.1/690
分子量:40kDa
应用稀释比例:FACS: 0.5-1 μg/million cells, IF/ICC: 0.5-1 μg/ml, IHC-P: 0.5-1 μg/ml
应用注释:TTF-1 / NKX2.1 (Thyroid & Lung Epithelial Marker)
纯化:Protein G
保存说明:Maintain refrigerated at 2-8°C for up to 2 weeks. For long term storage store at -20°C in small aliquots to prevent freeze-thaw cycles.
UniProt ID:P43699
Note:For research use only.



风险提示:丁香通仅作为第三方平台,为商家信息发布提供平台空间。用户咨询产品时请注意保护个人信息及财产安全,合理判断,谨慎选购商品,商家和用户对交易行为负责。对于医疗器械类产品,请先查证核实企业经营资质和医疗器械产品注册证情况。
文献和实验Utilization of Thyroid Transcription Factor-1 Immunostaining in the Diagnosis of Lung Tumors
in the epithelial cells of the thyroid, lung, and diencephalon during early embryogenesis (3 –5 ). After birth, its expression is mostly maintained in the follicular and parafollicular C-cells of the thyroid and in bronchioalveolar cells. In the thyroid, TTF
cells at 3000 X g. Resuspend in 200 mls Solution A. Repeat wash. Pellet cells as above and resuspend in 4 mls Solution A. Reserve 2 mls of the cell suspension. Spheroplast the remaining 2 ml of the cell suspension by addition of beta
抗子宫内膜抗体(endomethal antibody,EMAb)检测
子宫内膜抗体(endomethal antibody,EMAb)是子宫内膜异位病患者受到异位内膜的刺激,或经血逆流等因素导致免疫应答紊乱产生的一种自身抗体,并与子宫内膜中靶抗原结合,在补体参与下,引起子宫内膜免疫病理损伤,影响孕卵着床,也容易发生早期流产。目前检测EMAb的方法有间接免疫荧光法(1FT)、双向免疫扩散法(1D)、间接血凝法(PHA)及ELISA法等。IFF法需刮取子宫内膜制备抗原片,并需一定设备
技术资料暂无技术资料 索取技术资料










