相关产品推荐更多 >
万千商家帮你免费找货
0 人在求购买到急需产品
- 详细信息
- 文献和实验
- 技术资料
- 抗体名:
CD45RB (B-Cell Marker) Antibody抗体
- 抗体英文名:
CD45RB (B-Cell Marker) Antibody
- 靶点:
PTPRC
- 应用范围:
FC, IF, IHC, WB
- 宿主:
Mouse
- 适应物种:
Human
- 保质期:
6-12个月
- 抗原来源:
详询
- 目录编号:
orb389229
- 级别:
科研级
- 库存:
88
- 供应商:
biorbyt
- 标记物:
Unconjugated
- 克隆性:
Monoclonal
- 保存条件:
参考说明书
- 形态:
200ug/ml of Ab purified from Bioreactor Concentrate by Protein A/G. Prepared in 10mM PBS with 0.05% rAlbumin & 0.05% azide. Also available WITHOUT rAlbumin & azide at 1.0mg/ml.
- 亚型:
IgG1
- 免疫原:
Human peripheral blood lymphocytes maintained in T cell growth factor
- 规格:
20 ug
别名:anti CD 45 antibody, anti CD45 antibody, anti CD45 antigen antibody, anti CD45R antibody, anti L CA antibody, anti L-CA antibody, anti LCA antibody, anti Leukocyte common antigen antibody, anti loc antibody, anti Ly-5 antibody, anti LY5 antibody, anti Ly5, homolog of antibody, anti Lyt-4 antibody, anti Protein tyrosine phosphatase receptor type C antibody, anti Protein tyrosine phosphatase receptor type c polypeptide antibody, anti protein tyrosine phosphatase, receptor type, C antibody, anti PTPRC antibody, anti Receptor-type tyrosine-protein phosphatase C antibody, anti SCID due to PTPRC deficiency antibody, anti T200 antibody, anti T200 glycoprotein antibody, anti T200 leukocyte common antigen antibody
免疫原:Human peripheral blood lymphocytes maintained in T cell growth factor
克隆性:PD7/26
分子量:180-220kDa
应用稀释比例:FACS: 0.5-1 μg/million cells, IF/ICC: 0.5-1 μg/ml, IHC-P: 0.25-0.5 μg/ml
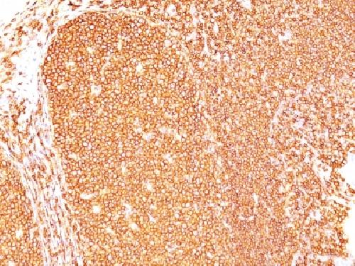
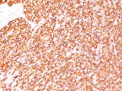
应用注释:CD45RB (B-Cell Marker)
纯化:Protein G
保存说明:Maintain refrigerated at 2-8°C for up to 2 weeks. For long term storage store at -20°C in small aliquots to prevent freeze-thaw cycles.
UniProt ID:P08575
Note:For research use only.


风险提示:丁香通仅作为第三方平台,为商家信息发布提供平台空间。用户咨询产品时请注意保护个人信息及财产安全,合理判断,谨慎选购商品,商家和用户对交易行为负责。对于医疗器械类产品,请先查证核实企业经营资质和医疗器械产品注册证情况。
文献和实验CD45/CD45RA/CD45RB/CD45RC/CD45RO
CD45/CD45RA/CD45RB/CD45RC/CD45RO CD45 常用单克隆抗体或代号: T29/33,BMAC1;(T200,B220) 主要表达细胞: Leu [NL] 分子质量(kDa)和结构: gp180- 240,白细胞共同抗原(LCA) 功 能: PTP酶,调节信号传导 CD45RA 常用单克隆抗体或代号: G1- 15,F8- 11- 13,Leu18,2H4;(限制性LCA) 主要表达细胞: Tsub,B,G,M
帮助确诊心脏粘液瘤,几乎全为(+) 白细胞标记 非何杰金淋巴瘤大致分类 CD20 (L26),CD3 怀疑T 细胞淋巴瘤者加UCHL-1(CD45RO) 怀疑浆细胞瘤者LCA(CD45RB),CD79a, CD138 小B 细胞淋巴瘤者,CD79a, CD43(MT1) LCA (CD45RB) 几乎所有的白细胞(+ ) 有些淋巴
125和CD129暂缺;CD67和CD66b是重复的。 (2)凡CD中带有w的抗原或抗体发CDw108、CDw109尚需继续进行全面鉴定。 (3)有些CD抗原又可进一步划分为不同的成员,一般用小写英文字母表示,但情况有所不同:1)如CD1可分为CD1a、CD1b和CD1c,这三种不同分子是分别由三个不同的、高度同源的基因所编码;2)CD45至少可分为CD45R、CD45RA、CD45RB和CD45RO,它们是同一基因的不同异型(isoform
技术资料暂无技术资料 索取技术资料











