相关产品推荐更多 >
万千商家帮你免费找货
0 人在求购买到急需产品
- 详细信息
- 文献和实验
- 技术资料
- 抗体名:
HAVCR1 Antibody抗体
- 抗体英文名:
HAVCR1 Antibody
- 靶点:
HAVCR1
- 应用范围:
ELISA, IHC, WB
- 宿主:
Rabbit
- 适应物种:
Human, Mouse
- 保质期:
6-12个月
- 抗原来源:
详询
- 目录编号:
orb350868
- 级别:
科研级
- 库存:
88
- 供应商:
biorbyt
- 标记物:
Unconjugated
- 克隆性:
Polyclonal
- 形态:
Liquid
- 亚型:
IgG
- 免疫原:
Recombinant Human Hepatitis A virus cellular receptor 1 protein (21-290AA)
- 规格:
50 ug
产品描述:This HAVCR1 Antibody is an unconjugated polyclonal product. It tagets HAVCR1 using a Recombinant Human Hepatitis A virus cellular receptor 1 protein (21-290AA) as the immunogen. This antibody is suitable for ELISA, IHC, WB. Purification: >95%, Protein G purified.
别名:Anti-HAVCR 1 antibody, anti-HAVCR antibody, anti-HAVcr-1 antibody, anti-Havcr1 antibody, anti-Hepatitis A virus cellular receptor 1 antibody, anti-KIM 1 antibody, anti-KIM-1 antibody, anti-TIM antibody, anti-TIM-1 antibody, anti-TIM1 antibody
免疫原:Recombinant Human Hepatitis A virus cellular receptor 1 protein (21-290AA)
应用稀释比例:WB:1:500-2000, IHC-P:1:20-1:200
防腐剂: 0.03% Proclin 300. Constituents: 50% Glycerol
纯化:>95%, Protein G purified
保存说明:Maintain refrigerated at 2-8°C for up to 2 weeks. For long term storage store at -20°C in small aliquots to prevent freeze-thaw cycles.
Pubmed:39357422
UniProt ID:Q96D42
Note:For research use only.



别名:Anti-HAVCR 1 antibody, anti-HAVCR antibody, anti-HAVcr-1 antibody, anti-Havcr1 antibody, anti-Hepatitis A virus cellular receptor 1 antibody, anti-KIM 1 antibody, anti-KIM-1 antibody, anti-TIM antibody, anti-TIM-1 antibody, anti-TIM1 antibody
免疫原:Recombinant Human Hepatitis A virus cellular receptor 1 protein (21-290AA)
应用稀释比例:WB:1:500-2000, IHC-P:1:20-1:200
防腐剂: 0.03% Proclin 300. Constituents: 50% Glycerol
纯化:>95%, Protein G purified
保存说明:Maintain refrigerated at 2-8°C for up to 2 weeks. For long term storage store at -20°C in small aliquots to prevent freeze-thaw cycles.
Pubmed:39357422
UniProt ID:Q96D42
Note:For research use only.

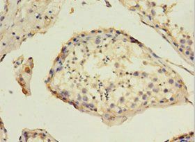
Immunohistochemistry of paraffin-embedded human testis tissue using HAVCR1 antibody

Western blot aanalysis of Mouse brain tissueusing HAVCR1 antibody

Western blot aanalysis of Mouse liver, Mouse brain, Mouse thymususing HAVCR1 antibody
风险提示:丁香通仅作为第三方平台,为商家信息发布提供平台空间。用户咨询产品时请注意保护个人信息及财产安全,合理判断,谨慎选购商品,商家和用户对交易行为负责。对于医疗器械类产品,请先查证核实企业经营资质和医疗器械产品注册证情况。
文献和实验该产品被引用文献
Xue-Xue Zhu 1, Xiao Fu 1, Xin-Yu Meng 1, Jia-Bao Su 2, Guan-Li Zheng 2, An-Jing Xu 1, Guo Chen 1, Yuan Zhang 1, Yao Liu 3, Xiao-Hui Hou 3, Hong-Bo Qiu 1, Qing-Yi Sun 1, Jin-Yi Hu 1, Zhuo-Lin Lv 1, Yao Wang 1, Hai-Bin Jiang 4, Neng Bao 5, Zhi-Jun Han 6, Qing-Bo Lu 7, Hai-Jian Sun Gut microbiome and metabolites mediate the benefits of caloric restriction in mice after acute kidney injury Redox Biol, (2024)
技术资料暂无技术资料 索取技术资料
文献支持
HAVCR1 Antibody抗体,orb350868,biorbyt
¥2990











