万千商家帮你免费找货
0 人在求购买到急需产品
- 详细信息
- 询价记录
- 技术资料
- 库存:
999
- 供应商:
厦门逸漠生物科技有限公司
- 规格:
10T
CellShieldTM PCR支原体检测试剂盒(50rnx)产品描述
Cat NO:IMC-802
支原体是一类缺乏细胞壁的原核微生物,介于细菌和病毒之间,可在无生命培养基中生长繁殖,其结构简单、 个体微小,形态成分枝状或丝状,能通过一般微孔滤膜(0.2-0.45μm) 。 研究表明,至少二十多种支原体能污 染细胞,其中最常见的有:口腔支原体 (M.orale) 、 精氨酸支原体(M.arginini) 、 猪鼻支原体(M.hyorhinis)、
发酵支原体(M.fermentans) 、 人型支原体(M.hominis) 、 唾液支原体(M.salivarium) 、 肺支原体(M.pulmonis)
和梨支原体 (M.pirum) 、 牛支原体 (Mycoplasma bovis)、利阿支原体 (Mycoplasma leachii) 等49种支原体。 培养细胞的支原体污染率在4%-92%不等,其污染来源包括工作环境、操作者本身(一些支原体是人体的正常菌 群)、培养基、血清、细胞交叉污染、实验器材和用来制备细胞的原始组织或器官的污染。确认细胞培养过程中 出现问题的潜在原因是一项困难且耗时的任务,在细胞培养中,任何突然的变化都应该被怀疑,同时良好的试 验规范和定期检测支原体污染也十分必要。支原体检测的方法有很多种,如直接培养、 DNA荧 光 染 色 、ELISA 和 PCR法 等 。
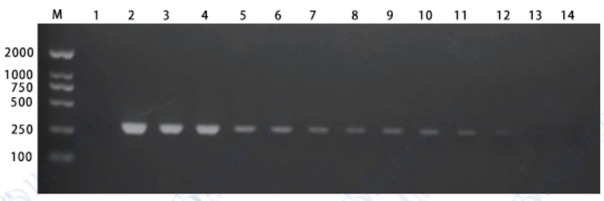
本产品通过PCR方法检测培养细胞等生物材料中的支原体,针对支原体16SrRNA序列保守区域设计特异引物, 直接使用细胞培养液作为模板,特异性扩增支原体DNA, 具有操作简便、快速(2小时内即可出结果)、特异性强、 灵敏度高的特点(结果见图1、图2)。

图1:支原体PCR检测的灵敏度(T公司PCR支原体检测试剂盒)

图2.本公司支原体PCR检测的灵敏度(CellShieldTM PCR支原体检测试剂盒)
1、 阴性对照 2、阳性对照
3、细胞培养液原液 4、1:1稀释细胞培养液
5、1:5稀释细胞培养液 6、1:10稀释细胞培养液
7、1:20稀释细胞培养液 8、1:50稀释细胞培养液)
9、1:100稀释细胞培养液 10、1:200稀释细胞培养液
11、1:400稀释细胞培养液; 12、1:800稀释细胞培养液
13、1:1000稀释细胞培养液; 14、稀释液(阴性对照)
企业质量体系
厦门逸漠生物科技有限公司的产品是在cGMP 标准车间中生产的。
厦门逸漠生物科技有限公司已取得 ISO9001:2021 质量体系认证。
CellShieldTM PCR支原体检测试剂盒(50rnx)产品组成
|
组分 |
货号 |
体积 |
保存条件 |
|
PCR Myco Super Mix(2X) |
IMC-802 |
625 μL |
-20℃,避光 |
|
Myco Primer Mix |
IMC-802A |
50 μL |
-20℃,避光 |
|
Myco Positive Control Template |
IMC-802B |
100 μL |
-20℃,避光 |
|
Myco Free Water |
IMC-802C |
1mL |
-20℃,避光 |
CellShieldTM PCR支原体检测试剂盒(50rnx)使用方法
1. 样品制备
a 、 贴 壁 细 胞
待细胞培养2-3天,生长至汇合度80%左右时,取40μL细胞培养液放入干净的PCR 管中,置于PCR 仪中 95℃热处理10分钟后用作PCR 模 板 。
b 、悬 浮 细 胞
待细胞培养2 - 3天,密度达到106/mL 左右时,2,000xg 离 心 1 分 钟 , 取 4 0 μL 细胞培养液放入干净的 PCR 管中,置于PCR 仪中95℃热处理10分钟后用作PCR 模板。
注:未进行热处理或者热处理后的样品可以放置在 - 20℃稳定保存1个月以上。培养时间特别长(4天以上) 的细胞培养液,建议用 Myco Free Water 10 倍稀释细胞培养液后再检测。
c 、 血 清
用 Myco Free Water 将血清稀释20倍后,取40μL 放 入 干 净 的 PCR 管中,置于 PCR 仪 中 9 5 ℃ 热 处 理 1 0 分 钟 后 用 作 PCR 模 板 。
2.PCR
按以下顺序配制反应混合液,设置阴性对照(Myco Free Water)与阳性对照(Myco Positive Control Template), 严格操作,防止外源支原体污染。
PCR 体系(24μL)
|
Component |
Volume |
|
Template |
2μL |
|
Myco Primer Mix |
1μL |
|
Myco PCR SuperMix(2X) |
12.5μL |
|
Myco Free Water |
8.5μL |
|
Total volume |
24μL |
3.PCR循环:
|
进程 |
温度 |
时间 |
循环 |
|
1 |
37℃ |
2分钟 |
1 |
|
2 |
95℃ |
30秒 |
1 |
|
3 |
95℃ |
30秒 |
40cycles |
|
4 |
60℃ |
30秒 | |
|
5 |
72℃ |
40秒 | |
|
6 |
4℃ |
∞ |
∞ |
4.凝胶电泳:反应结束,取5μLPCR产物,进行2%琼脂糖凝胶电泳,检测PCR结果。
5. 通过与阳性对照、阴性对照检测结果比较,确认样品支原体污染情况,阳性条带大小大约500bp。 注:如果阴性对照出现条带,很有可能是体系污染,建议重新检测确认结果。
推荐使用频率:
|
新细胞进入实验室 |
必检 |
|
液氮保存前 |
必检 |
|
定期常规 |
每月检测一次 |
|
发现污染后 |
每周检测一次 |
|
发现细胞异常 |
随时检测 |
注意事项
1. 试剂在使用前彻底化冻、混匀(混匀时禁止激烈振荡,只需要进行上下倒置多次进行混匀)。
2. 细胞培养物中含有的青霉素和链霉素等抗生素以及血清不会影响本产品的检测结果。
3. 操作时应尽量少说话,因口腔中也含有支原体,可能引起样品污染,而造成假阳性;整个检测过程中, 反应体系的配制、样本处理及加样、 PCR 扩增应分区域进行,以避免交叉污染,反应前应震荡混匀。
4.PCR 反应极其灵敏,为防止假阳性,加样时,最后加阳性对照。
5. 细胞培养物中含有青霉素和链霉素等抗生素不会影响本品的检测结果。如果用户需要进一步提高检测灵 敏度,建议细胞在不含青霉素和链霉素等抗生素中进行培养2-3天后送样检测。
风险提示:丁香通仅作为第三方平台,为商家信息发布提供平台空间。用户咨询产品时请注意保护个人信息及财产安全,合理判断,谨慎选购商品,商家和用户对交易行为负责。对于医疗器械类产品,请先查证核实企业经营资质和医疗器械产品注册证情况。
- 作者
- 内容
- 询问日期











