万千商家帮你免费找货
0 人在求购买到急需产品
- 详细信息
- 技术资料
- 供应商:
一研
- 库存:
42
- 靶点:
说明书
- 级别:
说明书
- 目录编号:
说明书
- 克隆性:
多克隆
- 抗原来源:
Rabbit
- 保质期:
说明书
- 抗体英文名:
APXL
- 抗体名:
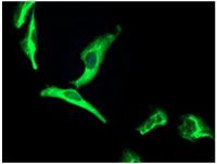
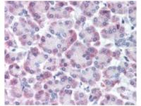
APXL蛋白抗体
- 标记物:
Unconjugated
- 宿主:
说明书
- 适应物种:
说明书
- 免疫原:
KLH conjugated synthetic peptide derived from human APXL
- 亚型:
LgG
- 形态:
液体
- 应用范围:
说明书
- 保存条件:
Shipped at 4℃. Store at -20 °C for one year. Avoid repeated freeze/thaw cycles.
- 浓度:
1mg/ml
- 规格:
100ul
产品属性:
| 产品名称 | APXL蛋白抗体 |
| 浓度 | 1mg/ml |
| 型号 | EY-01K5676 |
英文名称:APXL
英文别名:Apical like protein; Apical like protein APXL protein; apical protein of Xenopus-like; Apical protein Xenopus laevis like; apical protein, Xenopus laevis-like; apical protein-like; apical protein-like (Xenopus laevis); Apical-like protein; APX homolog of Xenopus; C630003H05Rik; DKFZp781J074; FLJ39277; HSAPXL; Liver regeneration-related protein LRRG167; Protein Apxl; Protein Shroom2; Shrm2; SHRM2_HUMAN; SHROOM 2; Shroom family member 2; shroom2.
交叉反应: Human, Mouse, Rat, Chicken, Dog, Pig, Cow, Horse, Sheep
标记: Unconjugated
抗体来源: Rabbit
抗体类型: Polyclonal
免疫原: KLH conjugated synthetic peptide derived from human APXL
蛋白细胞定位: 细胞浆,细胞膜
纯化方法: affinity purified by Protein A
亚型: IgG
性状: Liquid
浓度: 1mg/ml
储存液: 0.01M TBS(pH7.4) with 1% BSA, 0.03% Proclin300 and 50% Glycerol.
保存条件: Shipped at 4℃. Store at -20 °C for one year. Avoid repeated freeze/thaw cycles.
背景资料: APXL is a 1,616 amino acid protein that localizes to a variety of locations within the cell, including the cytoplasm, the cytoskeleton, the cell junction and the apical cell membrane. Containing one ASD1 domain, one ASD2 domain and one PDZ domain, APXL interacts with F-Actin and is thought to mediate endothelial cell morphology during cell spreading, possibly regulating melanosome biogenesis and inducing γ Tubulin redistribution. APXL is expressed in kidney, brain, lung, pancreas and placenta and is overexpressed in melanomas, suggesting a role in tumor transformation and metastasis. The gene encoding APXL maps to human chromosome X, which contains nearly 153 million base pairs and houses over 1,000 genes. In conjunction with chromosome Y, chromosome X is responsible for sex determination. There are a number of conditions related to an abnormal number and combination of sex chromosomes, some of which include Turner's syndrome, color blindness, hemophilia and Duchenne muscular dystrophy.
抗体分子标记技术:
(一)原理
当应用化学氧化法时(NaI)遇强氧化剂,离子被氧化为分子,所生成的自由分子可与某些基团进行卤化反应。蛋白质分子可进行卤化反应的基团主要为酪氨酸残基,某些组氨酸残基也可能进行化。在应用胺T( Chloramine T)法的实验中,所用的氧化剂(1,3,4,6- tetrachloro-3a,6adipheny l-glucoluril)强挥发性的有机溶剂中。该溶剂加入试管后,先让其挥发(即让氧化剂将试管包被),然后把Na125I和蛋白质液加入包被好的试管中,反应完成即将混合液移入他管终止反应。
(二)准备
1.试剂
经亲和层析纯化的多克隆抗体或单克隆抗体;0.5mol/L磷酸钠缓冲液,pH7.5;无载体的Na125I3.7GBq/ml(100mCi/ml)的NaOH液;100g/L三醋酸;70%乙醇;新鲜制备的含2mg/m1络胺T的0.5mol/L磷酸钠缓冲液(pH7.5);胺T反应终止缓冲液;
2.仪器
凝胶过滤柱;¥-记数器;玻璃纤维滤。
(三)操作要点
1.用胺T法进行化,也可在大约pH7.0的缓冲液中进行;
2.如果氧化反应损伤蛋白质,可将抗体与异硫酸荧光素(FITC)偶联)胺T量减少到0.02mg/m,并将偏重亚硫酸液的浓度降到0.024mg/ml;
3. Iodogen-包被的试管可在干燥器中,于室温下保存多年;
4.1251标记的抗体,在制备后六周内均可使用(1251的半衰期为59.6天);
5.要注意保证所用的Na1251是新鲜的,陈旧制剂的比活性低;
6.酪氨酸的碘化偶尔会对抗原的抗体结合位点有干扰,因此降低其结合能力,但这种情况很少见。
抗体制备过程:
1.材料与试剂
a.提取的动物 Ig
b.弗氏完全佐剂和弗氏不完全佐剂
c.青霉素和链霉素
d.实验动物 兔
e.其它材料及试剂
2、选择实验活体。
3、进行动物免疫实验。
4、试取血样进行测试,查看免疫效果。
5、如果免疫成功,杀死实验活体,采集全部血清。
6、纯化出抗体。
7、鉴定抗体。胎牛血清(无菌采制)
TG ELISA Kit 大鼠甲状腺球Multi-class antibodies规格: 48T
Anti- Beta-Amyloid(1-40)/FITC 荧光素标记β淀粉样肽(1-40)抗体IgGMulti-class antibodies规格: 0.2ml
Rhesus antibody Rh FOXO3A 叉头O3A抗体 规格 0.2ml
AmAC-1 ELISA Kit 大鼠巨噬替代激活相关化学1 96T
NCR2 毒性受体NK-p44抗体 0.2ml
ARP4 管生成素样4抗体 0.2ml
Anti- Beta-Amyloid(1-40)/FITC 荧光素标记β淀粉样肽(1-40)抗体IgGMulti-class antibodies规格: 0.2ml
Anti-PLCG 1/PLC gamma 1/FITC 荧光素标记磷酯酶Cγ1抗体IgGMulti-class antibodies规格: 0.2ml
Anti-NF-66/a-Internexin/FITC 荧光素标记α-中连抗体IgGMulti-class antibodies规格: 0.2ml
Rhesus antibody Rh C10orf93 10号染色体开放阅读框93抗体 规格 0.2ml
NR2B (Glutamate receptor) 谷酸受体(抗原) 0.5mg
Nuclear Matrix Protein p84 核基质p84抗体 0.2ml
Rhesus antibody Rh RNF158 磷酸酶1结合/环指158抗体 规格 0.2ml
Anti-NF-66/a-Internexin/FITC 荧光素标记α-中连抗体IgGMulti-class antibodies规格: 0.2ml
Human urease related protein C,UreC ELISA Kit 人尿素酶相关CMulti-class antibodies规格: 48T
Anti-Slit2/Slil3 神经迁移Slit2/3抗体Multi-class antibodies规格: 0.1ml
Rhesus antibody Rh Goat Anti-rabbit IgG/PE-Cy5.5 PE-Cy5.5标记的羊抗兔IgG 规格 0.1ml
AQP-0(Mouse Aquaporin 0) ELISA Kit 小鼠水通道0 96T
Neogenin 神经粘附NGN抗体 0.1ml
Phospho-BMX (Tyr40) 磷酸化非受体性酪酸激酶ETK抗体 0.1ml
Anti-Slit2/Slil3 神经迁移Slit2/3抗体Multi-class antibodies规格: 0.1ml
Cherax quadriatus lipovitellin/vitellin,Lv/Vn ELISA Kit 红螯光壳螯虾卵黄脂磷/卵 96T
Membralin 高度保守基因相关Membralin抗体 0.2ml
Rhesus antibody Rh EGF 表皮生长抗体 规格 0.1ml
NGAL(Mouse neutrophil gelatinase-associated lipocalin) ELISA Kit 小鼠中性粒明胶酶相关脂质运载Multi-class antibodies规格: 48T
ATP6V1B2 ATP6V1B2抗体 0.2ml
Anti-CCL6/C10/FITC 荧光素标记嗜酸粒趋化CCL6抗体IgGMulti-class antibodies规格: 0.2ml
APXL蛋白抗体RNF125/PE-Cy5.5PE-Cy5.5标记的环指125抗体
FMO4/PE-Cy5.5PE-Cy5.5标记的肝黄素单加氧酶4抗体
CDKN2C/p18 INK4c/PE-Cy5.5PE-Cy5.5标记的周期依赖性激酶抑制剂2C抗体
HSP47/PE-Cy5.5PE-Cy5.5标记的热休克-47抗体
PLRG1/PE-Cy5.5PE-Cy5.5标记的多效性调节1抗体
GPR161/PE-Cy5.5PE-Cy5.5标记的G偶联受体GPR161抗体
KCNK3/PE-Cy5.5PE-Cy5.5标记的酸敏感钾离子通道3抗体
EGF/PE-Cy5.5PE-Cy5.5标记的表皮生长抗体
风险提示:丁香通仅作为第三方平台,为商家信息发布提供平台空间。用户咨询产品时请注意保护个人信息及财产安全,合理判断,谨慎选购商品,商家和用户对交易行为负责。对于医疗器械类产品,请先查证核实企业经营资质和医疗器械产品注册证情况。
技术资料暂无技术资料 索取技术资料
APXL蛋白抗体
¥1080 - 3200









