万千商家帮你免费找货
0 人在求购买到急需产品
- 详细信息
- 技术资料
- 供应商:
一研
- 库存:
54
- 靶点:
说明书
- 级别:
说明书
- 目录编号:
说明书
- 克隆性:
多克隆
- 抗原来源:
Rabbit
- 保质期:
说明书
- 抗体英文名:
KLHL32
- 抗体名:
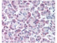
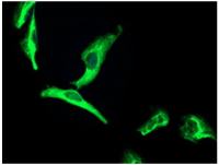
Kelch样蛋白32抗体
- 标记物:
Unconjugated
- 宿主:
说明书
- 适应物种:
说明书
- 免疫原:
KLH conjugated synthetic peptide derived from human KLHL32
- 亚型:
LgG
- 形态:
液体
- 应用范围:
说明书
- 保存条件:
Shipped at 4℃. Store at -20 °C for one year. Avoid repeated freeze/thaw cycles.
- 浓度:
1mg/ml
- 规格:
100ul
产品属性:
| 产品名称 | Kelch样蛋白32抗体 |
| 浓度 | 1mg/ml |
| 型号 | EY-01K5129 |
英文名称:KLHL32
英文别名:BKLHD5; BTB and kelch domain containing 5; BTB and kelch domain containing protein 5; dJ21F7.1; kelch like 32 (Drosophila); kelch like 32; KIAA1900; MGC51280; MGC87753; UG0030H05; KLH32_HUMAN.
交叉反应: Human, Mouse, Rat, Chicken, Dog, Cow, Horse, Rabbit
标记: Unconjugated
抗体来源: Rabbit
抗体类型: Polyclonal
免疫原: KLH conjugated synthetic peptide derived from human KLHL32
蛋白细胞定位: 细胞核,细胞浆
纯化方法: affinity purified by Protein A
亚型: IgG
性状: Liquid
浓度: 1mg/ml
储存液: 0.01M TBS(pH7.4) with 1% BSA, 0.03% Proclin300 and 50% Glycerol.
保存条件: Shipped at 4℃. Store at -20 °C for one year. Avoid repeated freeze/thaw cycles.
抗体分子标记技术:
(一)原理
当应用化学氧化法时(NaI)遇强氧化剂,离子被氧化为分子,所生成的自由分子可与某些基团进行卤化反应。蛋白质分子可进行卤化反应的基团主要为酪氨酸残基,某些组氨酸残基也可能进行化。在应用胺T( Chloramine T)法的实验中,所用的氧化剂(1,3,4,6- tetrachloro-3a,6adipheny l-glucoluril)强挥发性的有机溶剂中。该溶剂加入试管后,先让其挥发(即让氧化剂将试管包被),然后把Na125I和蛋白质液加入包被好的试管中,反应完成即将混合液移入他管终止反应。
(二)准备
1.试剂
经亲和层析纯化的多克隆抗体或单克隆抗体;0.5mol/L磷酸钠缓冲液,pH7.5;无载体的Na125I3.7GBq/ml(100mCi/ml)的NaOH液;100g/L三醋酸;70%乙醇;新鲜制备的含2mg/m1络胺T的0.5mol/L磷酸钠缓冲液(pH7.5);胺T反应终止缓冲液;
2.仪器
凝胶过滤柱;¥-记数器;玻璃纤维滤。
(三)操作要点
1.用胺T法进行化,也可在大约pH7.0的缓冲液中进行;
2.如果氧化反应损伤蛋白质,可将抗体与异硫酸荧光素(FITC)偶联)胺T量减少到0.02mg/m,并将偏重亚硫酸液的浓度降到0.024mg/ml;
3. Iodogen-包被的试管可在干燥器中,于室温下保存多年;
4.1251标记的抗体,在制备后六周内均可使用(1251的半衰期为59.6天);
5.要注意保证所用的Na1251是新鲜的,陈旧制剂的比活性低;
6.酪氨酸的碘化偶尔会对抗原的抗体结合位点有干扰,因此降低其结合能力,但这种情况很少见。
抗体制备过程:
1.材料与试剂
a.提取的动物 Ig
b.弗氏完全佐剂和弗氏不完全佐剂
c.青霉素和链霉素
d.实验动物 兔
e.其它材料及试剂
2、选择实验活体。
3、进行动物免疫实验。
4、试取血样进行测试,查看免疫效果。
5、如果免疫成功,杀死实验活体,采集全部血清。
6、纯化出抗体。
7、鉴定抗体。胎牛血清(无菌采制)
NGF(Mouse Nerve growth factor) ELISA kit 小鼠神经生长Multi-class antibodies规格: 48T
Anti-CD3/RBITC 红色荧光素罗丹明标记CD3抗体IgGMulti-class antibodies规格: 0.2ml
Rhesus antibody Rh EBAG9/RCAS1 相关表面抗原RCAS1抗体 规格 0.2ml
FGF-10(Rat fibroblast growth factor-10,FGF-10 )ELISA Kit 大鼠成纤维生长10 96T
MYL3 肌球轻链3抗体 0.2ml
ARFIP1 ADP核糖基化结合1抗体 0.1ml
Anti-CD3/RBITC 红色荧光素罗丹明标记CD3抗体IgGMulti-class antibodies规格: 0.2ml
5-LO/LOX(Human 5-lipoxygenase) ELISA Kit 人5脂加氧酶Multi-class antibodies规格: 48T
Anti-Nogo-A 轴索过度生长抑制-A抗体Multi-class antibodies规格: 0.1ml
Rhesus antibody Rh IL-1 Alpha 白介素1α/IL-1α抗体 规格 0.1ml
IL-17 ELISA KIT 大鼠白介素17 96T
Phospho-Paxillin(Ser83) 磷酸化桩Paxillin抗体 0.1ml
CXCR1 表面趋化受体1抗体 0.1ml
Anti-Nogo-A 轴索过度生长抑制-A抗体Multi-class antibodies规格: 0.1ml
androgen ElISA Kit 大鼠雄激素Multi-class antibodies规格: 48T
Anti-TIF1 gamma/Trim33 转录中介Tif1γ抗体Multi-class antibodies规格: 0.2ml
Rhesus antibody Rh Goat anti-Bovine IgG whole serum 羊抗IgG抗清 规格 1ml
CC16 ELISA Kit 大鼠克拉拉 96T
NFAT5 活化T核5抗体 0.2ml
BSCL2 先天性2抗体(常染色体显性遗传痉挛性17) 0.2ml
Anti-TIF1 gamma/Trim33 转录中介Tif1γ抗体Multi-class antibodies规格: 0.2ml
COX IgG III 柯萨奇毒 IgG Ⅲ(间接法二步法)
MUM1 突变的黑色素相关抗原1抗体 0.2ml
Rhesus antibody Rh DUSP13 双特异性磷酸酶13抗体 规格 0.2ml
Big ET(Mouse Big Endothelin) ELISA Kit 小鼠大内皮素Multi-class antibodies规格: 48T
ATP6V1G2 氢离子转运ATP合成酶6G抗体 0.1ml
Anti-Anti-CD44v10 /FITC 荧光素标记兔抗人、大、小鼠CD44V10抗体IgGMulti-class antibodies规格: 0.2ml
Kelch样蛋白32抗体肿坏死β(TNF-β)酶联免疫试剂盒Anti-VTN Antibody胶体金标记的抗k链
原钙黏素1(PCDH1)酶联免疫试剂盒 Anti-VTCN1 AntibodyCy3标记的抗k链
轻肽神经丝(NEFL)酶联免疫试剂盒Anti-VTN Antibody(0482)Cy5标记的抗k链
粘7(MUC7)酶联免疫试剂盒Anti-VWF Antibody(0273)Cy5.5标记的抗k链
管生成素受体Tie2(ANG-R-Tie2)酶联免疫试剂盒Anti-VWF Antibody(0086)Cy7标记的抗k链
性白酶抑制(SLPI)酶联免疫试剂盒Anti-WAS Antibody(0483)PE-Cy7标记的抗k链
12羟基二十烷四烯酸(12-HETE)酶联免疫试剂盒 Anti-WDR1 AntibodyAlexa Fluor 555标记的抗k链
肾连(NPNT)检测酶联免疫试剂盒Human TSPAN10 ELISA Kit包装25g马尿泡(标准品)
白介素1受体辅助(IL1RAP)检测酶联免疫试剂盒Human TSPAN2 ELISA Kit包装5g马钱苷;马钱子苷(标准品)
髓触发受体2(TREM2)检测酶联免疫试剂盒Human SLC26A4(Pendrin) ELISA Kit包装100g马钱苷酸(标准品)
泛素羧基端酯酶L1(UCHL1)检测酶联免疫试剂盒Human TSPAN3 ELISA Kit包装25g马钱子(标准品)
HtrA丝肽酶1(HTRA1)检测酶联免疫试剂盒Human PPARGC1A(Peroxisome prolifeRator-activated receptor gamma coactivator 1-alpha) ELISA Kit包装25g蚂蚁(棕褐蚁)(标准品)
肉碱乙酰转移酶(CRAT)检测酶联免疫试剂盒Human TRPV5 ELISA Kit包装5g买麻藤(小叶买麻藤)(标准品)
丝肽酶抑制Kazal型1(SPINK1)检测酶联免疫试剂盒Human TRPV4 ELISA Kit包装25g麦冬(标准品)
钙酶抑制(CAST)检测酶联免疫试剂盒Human TSGA13 ELISA Kit包装5g麦冬苷元-3-O-α-L-吡喃鼠李糖基(1→2)-β-...
风险提示:丁香通仅作为第三方平台,为商家信息发布提供平台空间。用户咨询产品时请注意保护个人信息及财产安全,合理判断,谨慎选购商品,商家和用户对交易行为负责。对于医疗器械类产品,请先查证核实企业经营资质和医疗器械产品注册证情况。
技术资料暂无技术资料 索取技术资料
Kelch样蛋白32抗体
¥1080 - 3200









