万千商家帮你免费找货
0 人在求购买到急需产品
- 详细信息
- 技术资料
- 供应商:
一研
- 库存:
32
- 靶点:
说明书
- 级别:
说明书
- 目录编号:
说明书
- 克隆性:
多克隆
- 抗原来源:
Rabbit
- 保质期:
说明书
- 抗体英文名:
ERCC1
- 抗体名:
DNA切除修复蛋白1抗体
- 标记物:
Unconjugated
- 宿主:
说明书
- 适应物种:
说明书
- 免疫原:
KLH conjugated synthetic peptide derived from human ERCC1
- 亚型:
LgG
- 形态:
液体
- 应用范围:
说明书
- 保存条件:
Shipped at 4℃. Store at -20 °C for one year. Avoid repeated freeze/thaw cycles.
- 浓度:
1mg/ml
- 规格:
100ul
产品属性:
产品介绍:
一、准备好试剂与仪器:
磷酸盐缓冲盐水、荧光标记的抗体溶液、缓冲甘油、搪瓷桶三只、有盖搪瓷盒一只、荧光显微镜、玻片架、滤纸、37℃温箱等。
二、实验步骤
1.滴加0.01mol/L,pH7.4的PBS于待检标本片上,十分钟后弃去,使标本保持一定湿度。
2.滴加适当稀释的荧光标记的抗体溶液,使其完全覆盖标本,置于有盖搪瓷盒内,保温一定时间以三十分钟为参考。
3.取出玻片,置玻片架上,先用0.01mol/L,pH7.4的PBS冲洗后,再按顺序过0.01mol/L,pH7.4的PBS三缸浸泡,每缸三到五分钟,并不停地摇晃振荡。
4.取出玻片,用滤纸吸去多余水分,但不使标本干燥,加一滴缓冲甘油,以盖玻片覆盖。
5.立即用荧光显微镜观察。观察标本的特异性荧光强度。
抗体的生活习性:
(1)结合特异性抗原:抗体与其他免疫球蛋白分子区别,就在于抗体能与相应抗原发生特异性结合,在体内导致生理或病理效应;在体外产生各种直接或间接的可见的抗原抗体结合反应。抗体是靠其分子上的特殊的结合部位与抗原结合的。
(2)激活补体:抗体与相应抗原结合后,借助暴露的补体结合点去激活补体系统、激发补体的溶菌、溶细胞等免疫作用。
(3)结合细胞:不同类别的免疫球蛋白,可结合不同种的细胞,产生不同的疚,参与免疫应答。
(4)可通过胎盘及粘膜:免疫球蛋白G(IgG)能通过胎盘进入胎儿血流中,使胎儿形成自然被动免疫。免疫球蛋白A(IgA)可通过消化道及呼吸道粘膜,是粘膜局部抗感染免疫的主要因素。
(5)具有抗原性:抗体分子是一种蛋白质,也具有刺激机体产生免疫应答的性能。不同的免疫球蛋白分子,各具有不同的抗原性。
(6)抗体对理化因子的抵抗力与一般球蛋白相同:不耐热,60~70℃即被破坏。各种酶及能使蛋白质凝固变性的物质,均能破坏抗体的作用。抗体可被中性盐类沉淀。在上常可用硫酸铵或硫酸钠从免疫血清中沉淀出含有抗体的球蛋白,再经透析法将其纯化。
Anti-PDGF-B/FITC 荧光素标记小板源性生长-B抗体IgGMulti-class antibodies规格: 0.2ml
Rabbit Anti- guinea pig IgG/FITC 荧光素标记兔抗豚鼠IgGMulti-class antibodies规格: 0.3ml
TNF-α膜受体抗体/DR3 死亡受体3抗体 Anti-DR3/TNF-αR/TRAMP 0.1ml
Rabbit Anti-horse IgG/PE-Cy3 PE-Cy3标记的兔抗马IgG 0.1ml
FBXO11 F-box家族FBXO11抗体 0.2ml
Rhesus antibody Rh Phospho-Torc2/Crtc2(Ser171) 磷酸化CREB转录共激活TORC2抗体 规格 0.1ml
Rabbit Anti- guinea pig IgG/FITC 荧光素标记兔抗豚鼠IgGMulti-class antibodies规格: 0.3ml
Anti-TORC1/CRTC1/FITC 荧光素标记环腺苷酸应答元件结合转录共激活TORC1抗体IgGMulti-class antibodies规格: 0.2ml
Defensin Beta1 防御素β1抗原Multi-class antibodies规格: 0.5mg
重组膜粘连-5(人)抗体 Anti-Annexin V 0.1ml
ZBTB43 锌指297B抗体 0.2ml
DMPK 肌强直性激酶抗体 0.2ml
Rhesus antibody Rh phospho-ERK1(Thr202/Tyr204)+ERK2(Thr183/Tyr185) 磷酸化原活化激酶1/2抗体 规格 0.1ml
Defensin Beta1 防御素β1抗原Multi-class antibodies规格: 0.5mg
CD8 CD8抗原Multi-class antibodies规格: 0.5mg
Anti-CBX5 CBX5抗体Multi-class antibodies规格: 0.2ml
Rhesus antibody Rh PCDHB13 原钙粘13抗体 规格 0.2ml
IL1R2 Kit Human 人 IL1R2 / IL1RB / CD121b ELISA配对抗体 ELISA
THRA1 甲状腺激素受体α1抗体 0.2ml
Cyclooxygenase 1 素氧化环化酶1抗体 0.1ml
Anti-CBX5 CBX5抗体Multi-class antibodies规格: 0.2ml
Dog IgM/Alexa Fluor 555 Alexa Fluor 555标记的兔抗犬IgM抗体 0.1ml
FAM150A FAM150A抗体 0.2ml
鼠抗人β亚基人绒毛膜单抗 Anti-β-HCG 0.1ml
Anti-Phospho-PKC gamma (Thr514)/FITC 荧光素标记磷酸化激酶C亚型G抗体IgGMulti-class antibodies规格: 0.2ml
Rhesus antibody Rh phospho-RPS6KB1(Thr 412) 磷酸化核糖体S6激酶抗体 规格 0.1ml
Mouse Anti-Human Mu chain Monoclonal 鼠抗人IgM μ链单克隆抗体(亲和层析纯化)Multi-class antibodies规格: 1mg
DNA切除修复蛋白1抗体TRAIL-R4(Human tumor necrosis factor-related apoptosis-inducing ligand 4) ELISA Kit 人坏死因子相关凋亡诱导配体4规格: 48T
TRAIL-R3(Human tumor necrosis factor-related apoptosis-inducing ligand 3) ELISA Kit 人坏死因子相关凋亡诱导配体3规格: 48T
TRAIL-R1(Human tumor necrosis factor-related apoptosis-inducing ligand 1) ELISA Kit 人坏死因子相关凋亡诱导配体1规格: 48T
TNF- Beta(Human Tumor necrosis factor Beta) ELISA KIT 人坏死因子β规格: 48T
TNF- Alpha(Human Tumor necrosis factor Alpha) ELISA KIT 人坏死因子α规格: 48T
实验原理 :
(1)特异性结合抗原:抗体本身不能直接溶解或杀伤带有特异抗原的靶细胞,通常需要补体或吞噬细胞等共同发挥效应以清除病原微生物或导致病理损伤。然而,抗体可通过与病毒或毒素的特异性结合,直接发挥中和病毒的作用。
(2)活补体:IgM、IgG1、IgG2和IgG3可通过经典途径激活补体,凝聚的IgA、IgG4和IgE可通过替代途径激活补体。
(3)结合细胞:不同类别的免疫球蛋白,可结合不同种的细胞,参与免疫应答。
(4)可通过胎盘及粘膜:免疫球蛋白G(IgG)能通过胎盘进入胎儿血流中,使胎儿形成自然被动免疫。免疫球蛋白A(IgA)可通过消化道及呼吸道粘膜,是粘膜局部抗感染免疫的主要因素。
(5)具有抗原性:抗体分子是一种蛋白质,也具有刺机体产生免疫应答的性能。不同的免疫球蛋白分子,各具有不同的抗原性。
(6)抗体对理化因子的抵抗力与一般球蛋白相同:不耐热,60~70℃即被破坏。各种酶及能使蛋白质凝固变性的物质,均能破坏抗体的作用。抗体可被中性盐类沉淀。在上常可用硫酸铵或硫酸钠从免疫血清中沉淀出含有抗体的球蛋白,再经透析法将其纯化。
| 产品名称 | 浓度 | 型号 |
| DNA切除修复蛋白1抗体 | 1mg/ml | EY-01K2377 |
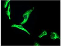
| 产品名称:DNA切除修复蛋白1抗体 英文名称:ERCC1 英文别名:Excision Repair Cross Complementing 1; DNA excision repair protein ERCC-1; COFS4; UV20; DNA excision repair protein ERCC1; ERCC 1; Excision Repair Cross Complementing Rodent Repair Deficiency Complementation Group 1; Excision repair protein; UV 20; UV20;DNA excision repair protein ERCC-1. 交叉反应: Human, Mouse, Rat, Dog, Pig, Cow 标记: Unconjugated 抗体来源: Rabbit 抗体类型: Polyclonal 免疫原: KLH conjugated synthetic peptide derived from human ERCC1 蛋白细胞定位: 细胞核 纯化方法: affinity purified by Protein A 亚型: IgG 性状: Liquid 浓度: 1mg/ml 储存液: 0.01M TBS(pH7.4) with 1% BSA, 0.03% Proclin300 and 50% Glycerol. 保存条件: Shipped at 4℃. Store at -20 °C for one year. Avoid repeated freeze/thaw cycles. 背景资料: The product of this gene functions in the nucleotide excision repair pathway, and is required for the repair of DNA lesions such as those induced by UV light or formed by electrophilic compounds including cisplatin. The encoded protein forms a heterodimer with the XPF endonuclease (also known as ERCC4), and the heterodimeric endonuclease catalyzes the 5' incision in the process of excising the DNA lesion. The heterodimeric endonuclease is also involved in recombinational DNA repair and in the repair of inter-strand crosslinks. Mutations in this gene result in cerebrooculofacioskeletal syndrome, and polymorphisms that alter expression of this gene may play a role in carcinogenesis. Multiple transcript variants encoding different isoforms have been found for this gene. The last exon of this gene overlaps with the CD3e molecule, epsilon associated protein gene on the opposite strand. [provided by RefSeq, Oct 2009] |




一、准备好试剂与仪器:
磷酸盐缓冲盐水、荧光标记的抗体溶液、缓冲甘油、搪瓷桶三只、有盖搪瓷盒一只、荧光显微镜、玻片架、滤纸、37℃温箱等。
二、实验步骤
1.滴加0.01mol/L,pH7.4的PBS于待检标本片上,十分钟后弃去,使标本保持一定湿度。
2.滴加适当稀释的荧光标记的抗体溶液,使其完全覆盖标本,置于有盖搪瓷盒内,保温一定时间以三十分钟为参考。
3.取出玻片,置玻片架上,先用0.01mol/L,pH7.4的PBS冲洗后,再按顺序过0.01mol/L,pH7.4的PBS三缸浸泡,每缸三到五分钟,并不停地摇晃振荡。
4.取出玻片,用滤纸吸去多余水分,但不使标本干燥,加一滴缓冲甘油,以盖玻片覆盖。
5.立即用荧光显微镜观察。观察标本的特异性荧光强度。
抗体的生活习性:
(1)结合特异性抗原:抗体与其他免疫球蛋白分子区别,就在于抗体能与相应抗原发生特异性结合,在体内导致生理或病理效应;在体外产生各种直接或间接的可见的抗原抗体结合反应。抗体是靠其分子上的特殊的结合部位与抗原结合的。
(2)激活补体:抗体与相应抗原结合后,借助暴露的补体结合点去激活补体系统、激发补体的溶菌、溶细胞等免疫作用。
(3)结合细胞:不同类别的免疫球蛋白,可结合不同种的细胞,产生不同的疚,参与免疫应答。
(4)可通过胎盘及粘膜:免疫球蛋白G(IgG)能通过胎盘进入胎儿血流中,使胎儿形成自然被动免疫。免疫球蛋白A(IgA)可通过消化道及呼吸道粘膜,是粘膜局部抗感染免疫的主要因素。
(5)具有抗原性:抗体分子是一种蛋白质,也具有刺激机体产生免疫应答的性能。不同的免疫球蛋白分子,各具有不同的抗原性。
(6)抗体对理化因子的抵抗力与一般球蛋白相同:不耐热,60~70℃即被破坏。各种酶及能使蛋白质凝固变性的物质,均能破坏抗体的作用。抗体可被中性盐类沉淀。在上常可用硫酸铵或硫酸钠从免疫血清中沉淀出含有抗体的球蛋白,再经透析法将其纯化。
Anti-PDGF-B/FITC 荧光素标记小板源性生长-B抗体IgGMulti-class antibodies规格: 0.2ml
Rabbit Anti- guinea pig IgG/FITC 荧光素标记兔抗豚鼠IgGMulti-class antibodies规格: 0.3ml
TNF-α膜受体抗体/DR3 死亡受体3抗体 Anti-DR3/TNF-αR/TRAMP 0.1ml
Rabbit Anti-horse IgG/PE-Cy3 PE-Cy3标记的兔抗马IgG 0.1ml
FBXO11 F-box家族FBXO11抗体 0.2ml
Rhesus antibody Rh Phospho-Torc2/Crtc2(Ser171) 磷酸化CREB转录共激活TORC2抗体 规格 0.1ml
Rabbit Anti- guinea pig IgG/FITC 荧光素标记兔抗豚鼠IgGMulti-class antibodies规格: 0.3ml
Anti-TORC1/CRTC1/FITC 荧光素标记环腺苷酸应答元件结合转录共激活TORC1抗体IgGMulti-class antibodies规格: 0.2ml
Defensin Beta1 防御素β1抗原Multi-class antibodies规格: 0.5mg
重组膜粘连-5(人)抗体 Anti-Annexin V 0.1ml
ZBTB43 锌指297B抗体 0.2ml
DMPK 肌强直性激酶抗体 0.2ml
Rhesus antibody Rh phospho-ERK1(Thr202/Tyr204)+ERK2(Thr183/Tyr185) 磷酸化原活化激酶1/2抗体 规格 0.1ml
Defensin Beta1 防御素β1抗原Multi-class antibodies规格: 0.5mg
CD8 CD8抗原Multi-class antibodies规格: 0.5mg
Anti-CBX5 CBX5抗体Multi-class antibodies规格: 0.2ml
Rhesus antibody Rh PCDHB13 原钙粘13抗体 规格 0.2ml
IL1R2 Kit Human 人 IL1R2 / IL1RB / CD121b ELISA配对抗体 ELISA
THRA1 甲状腺激素受体α1抗体 0.2ml
Cyclooxygenase 1 素氧化环化酶1抗体 0.1ml
Anti-CBX5 CBX5抗体Multi-class antibodies规格: 0.2ml
Dog IgM/Alexa Fluor 555 Alexa Fluor 555标记的兔抗犬IgM抗体 0.1ml
FAM150A FAM150A抗体 0.2ml
鼠抗人β亚基人绒毛膜单抗 Anti-β-HCG 0.1ml
Anti-Phospho-PKC gamma (Thr514)/FITC 荧光素标记磷酸化激酶C亚型G抗体IgGMulti-class antibodies规格: 0.2ml
Rhesus antibody Rh phospho-RPS6KB1(Thr 412) 磷酸化核糖体S6激酶抗体 规格 0.1ml
Mouse Anti-Human Mu chain Monoclonal 鼠抗人IgM μ链单克隆抗体(亲和层析纯化)Multi-class antibodies规格: 1mg
DNA切除修复蛋白1抗体TRAIL-R4(Human tumor necrosis factor-related apoptosis-inducing ligand 4) ELISA Kit 人坏死因子相关凋亡诱导配体4规格: 48T
TRAIL-R3(Human tumor necrosis factor-related apoptosis-inducing ligand 3) ELISA Kit 人坏死因子相关凋亡诱导配体3规格: 48T
TRAIL-R1(Human tumor necrosis factor-related apoptosis-inducing ligand 1) ELISA Kit 人坏死因子相关凋亡诱导配体1规格: 48T
TNF- Beta(Human Tumor necrosis factor Beta) ELISA KIT 人坏死因子β规格: 48T
TNF- Alpha(Human Tumor necrosis factor Alpha) ELISA KIT 人坏死因子α规格: 48T
实验原理 :
(1)特异性结合抗原:抗体本身不能直接溶解或杀伤带有特异抗原的靶细胞,通常需要补体或吞噬细胞等共同发挥效应以清除病原微生物或导致病理损伤。然而,抗体可通过与病毒或毒素的特异性结合,直接发挥中和病毒的作用。
(2)活补体:IgM、IgG1、IgG2和IgG3可通过经典途径激活补体,凝聚的IgA、IgG4和IgE可通过替代途径激活补体。
(3)结合细胞:不同类别的免疫球蛋白,可结合不同种的细胞,参与免疫应答。
(4)可通过胎盘及粘膜:免疫球蛋白G(IgG)能通过胎盘进入胎儿血流中,使胎儿形成自然被动免疫。免疫球蛋白A(IgA)可通过消化道及呼吸道粘膜,是粘膜局部抗感染免疫的主要因素。
(5)具有抗原性:抗体分子是一种蛋白质,也具有刺机体产生免疫应答的性能。不同的免疫球蛋白分子,各具有不同的抗原性。
(6)抗体对理化因子的抵抗力与一般球蛋白相同:不耐热,60~70℃即被破坏。各种酶及能使蛋白质凝固变性的物质,均能破坏抗体的作用。抗体可被中性盐类沉淀。在上常可用硫酸铵或硫酸钠从免疫血清中沉淀出含有抗体的球蛋白,再经透析法将其纯化。
风险提示:丁香通仅作为第三方平台,为商家信息发布提供平台空间。用户咨询产品时请注意保护个人信息及财产安全,合理判断,谨慎选购商品,商家和用户对交易行为负责。对于医疗器械类产品,请先查证核实企业经营资质和医疗器械产品注册证情况。
技术资料暂无技术资料 索取技术资料
DNA切除修复蛋白1抗体
¥1080 - 3200









